- Split View
-
Views
-
CiteCitation
Konrad Talbot, Dan-Sung Cho, Wei-Yi Ong, Matthew A. Benson, Li-Ying Han, Hala A. Kazi, Joshua Kamins, Chang-Gyu Hahn, Derek J. Blake, Steven E. Arnold; Dysbindin-1 is a synaptic and microtubular protein that binds brain snapin, Human Molecular Genetics, Volume 15, Issue 20, 15 October 2006, Pages 3041–3054, https://doi.org/10.1093/hmg/ddl246
Download citation file:
© 2018 Oxford University Press
Close -
Share
Abstract
Variations in the gene encoding the novel protein dysbindin-1 (DTNBP1) are among the most commonly reported genetic variations associated with schizophrenia. Recent studies show that those variations are also associated with cognitive functioning in carriers with and without psychiatric diagnoses, suggesting a general role for dysbindin-1 in cognition. Such a role could stem from the protein's known ability to affect neuronal glutamate release. How dysbindin-1 might affect glutamate release nevertheless remains unknown without the discovery of the protein's neuronal binding partners and its subcellular locus of action. We demonstrate here that snapin is a binding partner of dysbindin-1 in vitro and in the brain. Tissue fractionation of whole mouse brains and human hippocampal formations revealed that both dysbindin-1 and snapin are concentrated in tissue enriched in synaptic vesicle membranes and less commonly in postsynaptic densities. It is not detected in presynaptic tissue fractions lacking synaptic vesicles. Consistent with that finding, immunoelectron microscopy showed that dysbindin-1 is located in (i) synaptic vesicles of axospinous terminals in the dentate gyrus inner molecular layer and CA1 stratum radiatum and in (ii) postsynaptic densities and microtubules of dentate hilus neurons and CA1 pyramidal cells. The labeled synapses are often asymmetric with thick postsynaptic densities suggestive of glutamatergic synapses, which are likely to be derived from dentate mossy cells and CA3 pyramidal cells. The function of dysbindin-1 in presynaptic, postsynaptic and microtubule locations may all be related to known functions of snapin.
INTRODUCTION
The molecule commonly known as dysbindin is a 351–352 amino acid protein discovered by Benson et al . ( 1 ) in a yeast two-hybrid screen for proteins interacting with dystrobrevins. The latter are components of the dystrophin-associated protein complex ( 2 ) located at muscle membranes ( 2 , 3 ) and certain postsynaptic membranes in the brain ( 4–7 ). Since two proteins orthologous to dysbindin have been identified (Benson and Blake, in preparation), we refer to the first dysbindin species discovered as dysbindin-1. Also known as dystrobrevin binding protein 1 (DTNBP1), dysbindin-1 attracted wide interest in 2002, when the gene encoding it at chromosomal locus 6p22.3 became the first reported susceptibility locus for schizophrenia discovered by positional cloning ( 8 , 9 ). In 12 of 17 populations reported around the world, significant associations have been found between schizophrenia and genetic variation in intronic and/or promoter regions of the dysbindin-1 gene ( 8–11 ).
Although the specific DTNBP1 variant(s) increasing risk for schizophrenia remain unknown ( 9 , 12 ), a recent allelic expression analysis ( 13 ) suggests that diverse high-risk haplotypes tag one or more unidentified cis -acting variants altering dysbindin-1 gene expression. Schizophrenia cases do, in fact, display reduced gene ( 14 ) and protein ( 15 ) expression of dysbindin-1 in brain areas commonly affected by the disorder, namely the prefrontal cortex and the hippocampal formation (HF). Consequently, altered dysbindin-1 expression could play a role in the pathophysiology of schizophrenia.
Altered dysbindin-1 expression may contribute to cognitive impairments prominent in schizophrenia, including deficits in attention, memory and executive function ( 16 , 17 ). The high-risk DTNBP1 haplotype found in Irish high-density schizophrenia families ( 8 , 18 ) is associated with high levels of a newly defined negative symptom factor reflecting cognitive impairments ( 19 ). Childhood-onset schizophrenia is associated with at least one SNP in DTNBP1, and neighboring SNPs in those cases are associated with poor premorbid functioning ( 20 ). In a US schizophrenia population, multiple high-risk SNPs in DTNBP1 are likewise associated with lower scores on the revised Wechsler Adult Intelligence Scale and with decreased efficiency of prefrontal cortical activation during a working memory task ( 21 ). Such cognitive impairments also occur in individuals without psychiatric illness who carry high-risk haplotypes in DTNBP1. Reduced general cognitive ability has been reported in a normal US population carrying one of the high-risk haplotypes ( 22 ). Poor prefrontal and hippocampal-evoked responses in a NoGo cognitive task has been reported in a normal German population carrying another high-risk haplotype ( 23 ).
Dysbindin-1 may thus influence cognition in both normal and pathological states. Two observations considered together suggest how this may occur. In primary cultures of normal neurons, siRNA-induced reduction of dysbindin-1 lowers basal and stimulus-induced glutamate release, whereas over-expression of dysbindin in such cells elevates both types of glutamate release ( 24 ). In schizophrenia, dysbindin-1 reductions occur in terminal fields of glutamatergic neurons in the HF ( 15 ). Dysbindin-1 could, then, regulate glutamatergic transmission, which influences memory processes under normal circumstances ( 25 , 26 ) and is dysregulated in schizophrenia along with GABAergic transmission ( 27–29 ).
It is nevertheless difficult to hypothesize specific mechanisms by which dysbindin-1 regulates presynaptic glutamate release due to the paucity of information on the protein. We know neither its subcellular locus of action nor its neuronal binding partners. Among its binding partners established in non-neural tissue ( 1 , 30–32 ), only snapin is known to have a pre-synaptic function ( 33 , 34 ). In the present paper, we demonstrate that dysbindin-1 binds snapin in the brain, is concentrated along with snapin in pre- and post-synaptic tissue fractions, and is localized at ultrastructural sites associated with snapin functions.
RESULTS
Four antibodies against dysbindin-1 were used. All yielded qualitatively similar immunoblotting and immunohistochemical results. These antibodies were M10FLA raised against the full-length mouse protein, PA3111A against the mouse C-terminus, NTm10A against the mouse N-terminus, and Hdysb746 against the human C-terminus (Figs 1–4 ). As reported previously for PA3111A ( 15 ), preadsorption of the antibodies with excess antigen essentially eliminated immunohistochemical reactivity (Fig. 2 D) except in some cell nuclei. Antibody preadsorption likewise greatly diminished or eliminated bands at molecular weights of the full-length and short-length isoforms of dysbindin-1 [i.e. the 50 kDa isoform 1a and the 40 kDa isoform 1b ( 15 )]. The identity of those bands in mice, macaques and humans was confirmed by positive and negative controls included in each western blot. The positive control was the recombinant full-length mouse dysbindin (M10FL) that ran close to the 50 kDa band of tissue extracts. The negative control was a mouse brain extract from homozygous sandy mice that have a deletion mutation in the DTNBP1 gene resulting in the loss of dysbindin-1 protein ( 35 ). Neither the 50 kDa nor the 40 kDa variants of dysbindin-1 were detectable in those extracts. Since the 50 kDa variant is the major and more consistently detected variant in the brain, our western blotting focused on the full-length dysbindin-1 (i.e. dysbindin-1a).
Co-immunoprecipitation of dysbindin-1 and snapin. COS-7 cells were transiently transfected with expression constructs for both myc-dysbindin-1 and myc-snapin ( A and C ) or for myc-dysbindin-1 alone ( B ). Expression of the myc-tagged proteins was visualized with the c-myc antibody 9E10. ( A ) The snapin-pep antibody (Ab+ lane) immunoprecipitated myc-snapin and co-immunoprecipitated myc-dysbindin-1 in cells transfected with expression constructs for both proteins. A control experiment performed in the absence of the snapin antibody (Ab− lane) revealed that the immunoprecipitation (IP) is antibody specific. ( B ) In cells transfected only with the myc-dysbindin-1 expression construct, myc-dysbindin-1 was not immunoprecipitated by the snapin-pep antibody, confirming that it does not bind dysbindin-1 non-specifically. ( C ) The dysbindin-1 antibody PA3111A immunoprecipitates myc-dysbindin-1 and co-immunoprecipitates myc-snapin in the doubly transfected cells. ( D ) An endogenous protein complex was immunoprecipitated from whole CD1 mouse brains using the snapin-pep antibody. The antibody co-immunoprecipitated dysbindin-1a as detected with biotinylated-PA3111A. In the absence of the snapin antibody, no dysbindin-1a was detected in the immunoprecipitate despite high levels of the protein in whole mouse brain extracts revealed by western blotting (WB).
Co-immunoprecipitation of dysbindin-1 and snapin. COS-7 cells were transiently transfected with expression constructs for both myc-dysbindin-1 and myc-snapin ( A and C ) or for myc-dysbindin-1 alone ( B ). Expression of the myc-tagged proteins was visualized with the c-myc antibody 9E10. ( A ) The snapin-pep antibody (Ab+ lane) immunoprecipitated myc-snapin and co-immunoprecipitated myc-dysbindin-1 in cells transfected with expression constructs for both proteins. A control experiment performed in the absence of the snapin antibody (Ab− lane) revealed that the immunoprecipitation (IP) is antibody specific. ( B ) In cells transfected only with the myc-dysbindin-1 expression construct, myc-dysbindin-1 was not immunoprecipitated by the snapin-pep antibody, confirming that it does not bind dysbindin-1 non-specifically. ( C ) The dysbindin-1 antibody PA3111A immunoprecipitates myc-dysbindin-1 and co-immunoprecipitates myc-snapin in the doubly transfected cells. ( D ) An endogenous protein complex was immunoprecipitated from whole CD1 mouse brains using the snapin-pep antibody. The antibody co-immunoprecipitated dysbindin-1a as detected with biotinylated-PA3111A. In the absence of the snapin antibody, no dysbindin-1a was detected in the immunoprecipitate despite high levels of the protein in whole mouse brain extracts revealed by western blotting (WB).
Dysbindin-1 distribution in DBA/2J mouse brain. ( A – C ) Immunohistochemical mapping of neuropil rich in dysbindin-1 visualized with antibody PA3111A. C–P, caudate-putamen complex; Ctx, cerebral cortex; GP, globus pallidus; LS, lateral septum; SN, substantia nigra; Sub, subiculum; VP, ventral pallidum. ( D ) Absence of immunoreactivity after preadsorption of PA3111A with excess of recombinant mouse full-length dysbindin. Scale bar for A–D=1 mm. ( E ) Western blotting of whole brain tissue fractions showing subcellular distribution of dysbindin-1a (with PA3111A in upper panel and NTm10A in lower panel), snapin α and β (with snapin-FPA), the pre-synaptic markers rab 3 and synaptophysin, the postsynaptic markers NMDAR1 and PSD-95, and actin loading control. Abbreviations for tissue fractions: T, total post-nuclear protein; C, cytosol; S, synaptosome; V, synaptic vesicle membrane; PrS, pre-synaptic membrane; and PSD, postsynaptic density.
Dysbindin-1 distribution in DBA/2J mouse brain. ( A – C ) Immunohistochemical mapping of neuropil rich in dysbindin-1 visualized with antibody PA3111A. C–P, caudate-putamen complex; Ctx, cerebral cortex; GP, globus pallidus; LS, lateral septum; SN, substantia nigra; Sub, subiculum; VP, ventral pallidum. ( D ) Absence of immunoreactivity after preadsorption of PA3111A with excess of recombinant mouse full-length dysbindin. Scale bar for A–D=1 mm. ( E ) Western blotting of whole brain tissue fractions showing subcellular distribution of dysbindin-1a (with PA3111A in upper panel and NTm10A in lower panel), snapin α and β (with snapin-FPA), the pre-synaptic markers rab 3 and synaptophysin, the postsynaptic markers NMDAR1 and PSD-95, and actin loading control. Abbreviations for tissue fractions: T, total post-nuclear protein; C, cytosol; S, synaptosome; V, synaptic vesicle membrane; PrS, pre-synaptic membrane; and PSD, postsynaptic density.
Dysbindin-1 and snapin distribution in human HF. ( A ) Dysbindin-1 immunoreactive neuropil in a 67-year-old female (PMI=5.5 h) visualized at low magnification with antibody PA3111A. Red arrow head points to dense neuropil band filling the DGiml. ( B ) Higher magnification view of dysbindin-1 immunoreactivity in human DG with the same antibody. G, H and OML are granule cell layer, hilus and outer molecular layer of the DG, respectively. ( C ) Snapin immunoreactive neuropil in a 76-year-old female (PMI=10 h) visualized with snapin-FLA. ( D ) Western blots of human HF tissue from a 73-year-old female (PMI=8 h) showing subcellular distribution of dysbindin-1a (with antibody Hdys746), snapin α and β (with snapin-FPA), pre- and post-synaptic markers, and actin loading control. CA1 and CA3, cornu ammonis fields of the hippocampus proper; Sub, subiculum. For other abbreviations, see Fig. 2 . Scale bar in A and C=2 mm and in B=50 µm.
Dysbindin-1 and snapin distribution in human HF. ( A ) Dysbindin-1 immunoreactive neuropil in a 67-year-old female (PMI=5.5 h) visualized at low magnification with antibody PA3111A. Red arrow head points to dense neuropil band filling the DGiml. ( B ) Higher magnification view of dysbindin-1 immunoreactivity in human DG with the same antibody. G, H and OML are granule cell layer, hilus and outer molecular layer of the DG, respectively. ( C ) Snapin immunoreactive neuropil in a 76-year-old female (PMI=10 h) visualized with snapin-FLA. ( D ) Western blots of human HF tissue from a 73-year-old female (PMI=8 h) showing subcellular distribution of dysbindin-1a (with antibody Hdys746), snapin α and β (with snapin-FPA), pre- and post-synaptic markers, and actin loading control. CA1 and CA3, cornu ammonis fields of the hippocampus proper; Sub, subiculum. For other abbreviations, see Fig. 2 . Scale bar in A and C=2 mm and in B=50 µm.
Light microscopic localization of dysbindin-1 in HF of DBA/2J mice ( A – C ) and macaque monkeys ( D – F ). Antigen was localized in mice with the anti-mouse antibody M10FLA and in macaques with the anti-human antibody Hdys746. The neuropil immunoreactivity in DGiml is almost exclusively diffuse, whereas that in CA1 is a mixture of diffuse and dendritic immunoreactivity. The latter is indicated by arrows. Immunoreactivity in nuclei of the macaque CA1 pyramidal cells, which are less aggregated than in mice, was not blocked by pre-adsorption test and is thus non-specific. MML, middle molecular layer of the DG; P and R, strata pyramidal and radiatum of CA1, respectively. For other abbreviations, see Figs 2 and 3 . Scale bar in A=300 µm; those in B and C=50 µm; that in D=1 mm; E and F=100 µm.
Light microscopic localization of dysbindin-1 in HF of DBA/2J mice ( A – C ) and macaque monkeys ( D – F ). Antigen was localized in mice with the anti-mouse antibody M10FLA and in macaques with the anti-human antibody Hdys746. The neuropil immunoreactivity in DGiml is almost exclusively diffuse, whereas that in CA1 is a mixture of diffuse and dendritic immunoreactivity. The latter is indicated by arrows. Immunoreactivity in nuclei of the macaque CA1 pyramidal cells, which are less aggregated than in mice, was not blocked by pre-adsorption test and is thus non-specific. MML, middle molecular layer of the DG; P and R, strata pyramidal and radiatum of CA1, respectively. For other abbreviations, see Figs 2 and 3 . Scale bar in A=300 µm; those in B and C=50 µm; that in D=1 mm; E and F=100 µm.
Association of dysbindin-1 with snapin in vitro and in brain tissue
To confirm the direct interaction of dysbindin-1 and snapin reported by Starcevic and Dell'Angelica ( 31 ) in a yeast two-hybrid system, a peptide antibody (snapin-pep) was raised against the final 14 amino acids of the snapin amino acid sequence. The antibody was used to immunoprecipitate a RIPA protein complex from COS-7 cells transiently transfected with myc-tagged snapin and/or myc-tagged dysbindin-1 expression constructs. The snapin antibody immunoprecipitated myc-snapin and co-immunoprecipitated myc-dysbindin-1 from the doubly transfected COS-7 cells (Fig. 1 A). In the absence of myc-snapin transfection, myc-dysbindin-1 was not co-immunoprecipitated (Fig. 1 B), demonstrating that the snapin antibody specifically immunoprecipitated snapin and was not cross-reacting with dysbindin-1. An immunoprecipitation experiment performed in the ‘reverse’ direction, using the previously characterized dysbindin antibody PA3111A ( 15 ) showed that snapin was co-immunoprecipitated by that antibody (Fig. 1 C). A snapin-containing complex was then purified from RIPA protein extracts of whole CD1 mouse brains by immunoprecipitation with the snapin-pep antibody. That antibody co-immunoprecipitated dysbindin-1 from the mice brains (Fig. 1 D). These data indicate that a direct interaction of dysbindin-1 and snapin occurs in vitro and in brain tissue. Further confirmation by co-localization of the proteins was not attempted, because neither our snapin antibodies nor those commercially available gave a consistently strong immunohistochemical signal in the tissue of primary interest (i.e. synaptic fields).
Dysbindin-1 distribution in mouse brain neuropil and tissue fractions
Consistent with previous reports ( 1 , 15 ), immunohistochemistry with all four dysbindin-1 antibodies showed that the protein was present in neuronal cell bodies of most brain regions in the mouse (e.g. Fig. 2 A–C). In several regions, dysbindin-1 was also concentrated in neuropil (i.e. in areas of overlapping dendritic and axonal processes, including axon terminals). Such neuropil was conspicuous in the HF, lateral septum, basal ganglia and substantia nigra (Fig. 2 A–C, as well as in the deep cerebellar deep nuclei and inferior olive (data not shown).
Synaptic localization of dysbindin-1 was suggested by the diffuse and finely granular character of the neuropil immunoreactivity (Figs 2 A–C, 3 A–B and 4 ). To test that hypothesis, we adapted the methods of Phillips et al . ( 36 , 37 ) to fractionate whole mouse brains into six components: total, post-nuclear extract (T), cytosol (C), synaptsomes (S, including both pre- and post-synaptic proteins), synaptic vesicle membranes (V), pre-synaptic proteins after removal of synaptic vesicles (PrS) and post-synaptic density (PSD) proteins. The relative purity of the synaptic fractions was confirmed by selective concentration of Rab3 and synaptophysin in the S, V and PrS fractions and by selective concentration of NMDA receptor zeta 1 subunit (NMDAR1) and PSD95 in the S and PSD fractions (Fig. 2 E). In both C57BL/6J and DBA/2J mice, full-length dysbindin-1 was highly concentrated in the synaptic fractions (S, V and PSD) with a clear maximum in the V fraction as demonstrated with both C-terminus and N-terminus antibodies (upper and lower panels of boxed area in Fig. 2 E). A lesser, but substantial concentration was seen in the PSD fraction. No dysbindin-1 was detected in the PrS fraction.
Snapin was more widely distributed in fractions of mouse brain tissue, but was likewise concentrated in synaptic fractions with a maximum in the V fraction and a minimum in the PSD fraction (Fig. 2 E). In the S, V and PSD fractions, snapin ran as a doublet with bands at about 15 and 18 kDa corresponding to snapin α and β of Chen et al . ( 38 ), respectively. Snapin α (15 kDa) appeared to be the major form in the S and V fractions, but that was not consistently the case for snapin in the PSD fraction.
Dysbindin-1 distribution in human HF neuropil and tissue fractions
As in the mouse, dysbindin-1 in humans was highly concentrated in neuropil of the HF. Such neuropil, like that of snapin, was especially dense in the inner molecular layer of the dentate gyrus (DGiml) and in strata oriens and radiatum of all hippocampal subfields (CA1–CA3, Fig. 3 A–C). As in whole mouse brains, dysbindin-1 in the human HF was largely synaptic. It was concentrated in the S and especially the V fractions with a lesser amount in the PSD fraction (Fig. 3 D). The amount seen in the PSD varied across cases from low to moderate levels, the former of which is shown in Fig. 3 D. No dysbindin-1a was detected in the PrS fraction (Fig. 3 D). Snapin α and β were also concentrated in the S and V fractions with a lesser concentration in the PSD (Fig. 3 D). The relative amount of snapin detected in the PSD fraction was higher than that seen in whole mouse brains (Fig. 2 E), which probably reflects the much higher concentration of snapin in the HF than in most other areas included in whole brain analyses indicated immunohistochemically (not illustrated). Little or no snapin was detected in the PrS fraction of the human HF.
Light microscopic localization of neuropil dysbindin-1 in mouse and macaque HF
Although the fractionation data indicate that dysbindin-1 is enriched at synaptic sites in the human HF, they cannot reveal the protein's ultrastructural location. Since ultrastructural integrity is compromised by post-mortem changes in human autopsy tissue, we decided to localize dysbindin-1 using electron microscopy (EM) in mice and non-human primates. For orientation purposes, we first conducted a light microscopic immunohistochemical study of the HF in the mouse and macaque. The distribution of dysbindin-1 neuropil of both species (Fig. 4 ) proved very similar to that seen in humans (Fig. 3 A and B). In the dentate gyrus (DG), a very prominent band of diffuse dysbindin-1 neuropil filled the DGiml (Fig. 4 B and E). The same band appeared in humans, where it was more obviously penetrated by dendrites from dysbindin-rich polymorph neurons at the core or hilus of the DG (Fig. 3 B). No consistent immunoreactivity was seen in dentate granule cells or in the terminal fields of their mossy fiber output to the DG hilus and CA3 stratum lucidum. In the hippocampus of all the species studied, dysbindin-1 was highly expressed in pyramidal cells of CA2 and CA3 (e.g. Fig. 4 A), as well as in neuropil of stratum oriens and stratum radiatum (Figs. 2–4 ). The neuropil immunoreactivity decreased markedly at the border with the subiculum (Figs 2 C, 3 A, 4 D). In CA1, pyramidal cells also expressed dysbindin-1, but at a lower level in their cell bodies with higher levels of the protein in their apical dendrites stretching into stratum radiatum (Fig. 4 C and F). That was more obvious in mice (Fig. 4 C) than macaques (Fig. 4 F), where non-specific nuclear immunoreactivity can be mistaken for specific immunoreactivity in the perikaryon. As can be seen in Fig. 4 F, only low levels of the protein are evident in macaque CA1 pyramids outside their cell nuclei. In macaques and humans, moderate to high levels of dysbindin-1 occurred in neuropil among CA1 pyramidal neurons (Fig. 3 A and 4 D and F), which are less aggregated than in mice.
Ultrastructural localization of neuropil dysbindin-1 in mouse and macaque HF
Three HF areas were of special interest for EM analysis, namely the DGiml, the DG hilus and CA1, because they are among the areas displaying reduced dysbindin-1 levels in schizophrenia ( 15 ). Two methods were used to enhance EM visualization of the DAB reaction product in those areas: nickel or silver–gold treatment. The former gave a stronger, but more diffuse localization of the immunohistochemical reaction product (Figs 5 A, 8 A). Silver–gold treatment gave more discrete localization in the form of variably sized particles. Most of our illustrations thus derive from tissue prepared with silver–gold treatment (Figs 5–9 ).
Presynaptic localization of dysbindin-1 in DGiml of macaque monkeys ( A ) and DBA/2J mice ( B and C ). ImmunoEM labeling with PA3111A was visualized with DAB reaction product enhanced with nickel in A and with silver–gold treatment in B and C. Virtually all labeling in DGiml was closely associated with synaptic vesicles (SV) in axon terminals (AT) on spines (Sp) with unlabeled PSDs. M, mitochondrion. Scale bars=200 nm.
Presynaptic localization of dysbindin-1 in DGiml of macaque monkeys ( A ) and DBA/2J mice ( B and C ). ImmunoEM labeling with PA3111A was visualized with DAB reaction product enhanced with nickel in A and with silver–gold treatment in B and C. Virtually all labeling in DGiml was closely associated with synaptic vesicles (SV) in axon terminals (AT) on spines (Sp) with unlabeled PSDs. M, mitochondrion. Scale bars=200 nm.
Postsynaptic and microtubule (MT) localization of dysbindin-1 at the core of the dentate hilus in the DBA/2J mouse. Immunolabeling with PA3111A was visualized with silver–gold treatment of DAB reaction product. The location of labeled PSDs is indicated by solid arrowheads. ( A ) A large, non-varicose dendrite (D) cut length-wise with heavy labeling of MTs and perhaps the outer membrane of mitochondria (M). A higher magnification view of the MT labeling in the boxed area is shown in the inset at the upper right. The hollow arrowhead points to a labeled dendrite cut transversely and shown at higher magnification in B ; note the selective labeling of MTs. ( C ) Another transversely cut dendrite with labeled MTs and PSDs opposite a labeled and an unlabeled axon terminal (AT1 and AT2, respectively). This dendrite may belong to an interneuron. ( D ) A large spine (Sp) with labeled MTs and PSD opposite an unlabeled AT. M, mitochondrion; SA, spine apparatus. Scale bar in A and B=500 nm; in C and D=200 nm.
Postsynaptic and microtubule (MT) localization of dysbindin-1 at the core of the dentate hilus in the DBA/2J mouse. Immunolabeling with PA3111A was visualized with silver–gold treatment of DAB reaction product. The location of labeled PSDs is indicated by solid arrowheads. ( A ) A large, non-varicose dendrite (D) cut length-wise with heavy labeling of MTs and perhaps the outer membrane of mitochondria (M). A higher magnification view of the MT labeling in the boxed area is shown in the inset at the upper right. The hollow arrowhead points to a labeled dendrite cut transversely and shown at higher magnification in B ; note the selective labeling of MTs. ( C ) Another transversely cut dendrite with labeled MTs and PSDs opposite a labeled and an unlabeled axon terminal (AT1 and AT2, respectively). This dendrite may belong to an interneuron. ( D ) A large spine (Sp) with labeled MTs and PSD opposite an unlabeled AT. M, mitochondrion; SA, spine apparatus. Scale bar in A and B=500 nm; in C and D=200 nm.
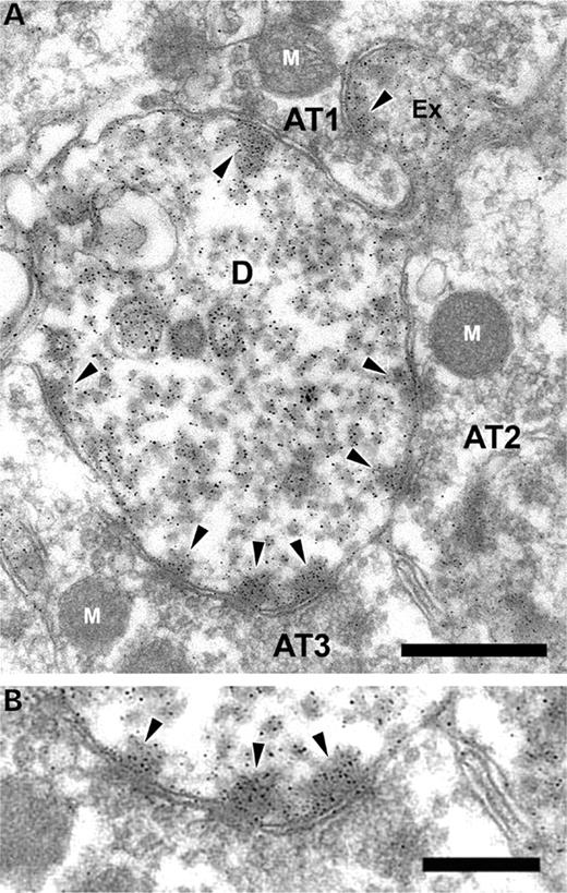
Postsynaptic localization of dysbindin-1 in dentate mossy neurons of the DBA/2J mouse. Immunolabeling with PA3111A was visualized with silver–gold treatment of DAB reaction product. ( A ) A dendrite with labeled microtubules giving rise to a thorny excrescence (Ex) postsynaptic to a large mossy terminal (AT1) characteristic of dentate mossy cells. Labeled PSDs identified by arrowheads are seen on the excrescence, as well as on the shaft of the dendrite opposite unlabeled axon terminals (AT). AT1 and AT2 may be part of a single terminal. ( B ) Higher magnification view of PSDs seen in the adjoining panel. Scale bar in A=500 nm; B=250 nm.
Postsynaptic localization of dysbindin-1 in dentate mossy neurons of the DBA/2J mouse. Immunolabeling with PA3111A was visualized with silver–gold treatment of DAB reaction product. ( A ) A dendrite with labeled microtubules giving rise to a thorny excrescence (Ex) postsynaptic to a large mossy terminal (AT1) characteristic of dentate mossy cells. Labeled PSDs identified by arrowheads are seen on the excrescence, as well as on the shaft of the dendrite opposite unlabeled axon terminals (AT). AT1 and AT2 may be part of a single terminal. ( B ) Higher magnification view of PSDs seen in the adjoining panel. Scale bar in A=500 nm; B=250 nm.
Pre- and post-synaptic localization of dysbindin-1 in CA1 stratum radiatum of macaque monkeys ( A ) and DBA/2J mice ( B – E ). Immunolabeling with PA3111A was visualized with DAB reaction product treated with nickel in A and with silver–gold in B–E. Labeled clusters of synaptic vesicles (SV) in axon terminals (AT) on spines (Sp) with unlabeled PSDs are seen in A and B. Microtubules (MT) in the apical dendrite (D) of a pyramidal neuron are prominently labeled in C, the boxed area of which contains a labeled spine shown at higher magnification in D. The empty arrowhead in C points to a potential AT forming a symmetric synapse on the shaft of a pyramidal cell apical dendrite. Another spine with labeled PSD is seen in E. Scale bars in A, B, D and E=100 nm; that in C=500 nm.
Pre- and post-synaptic localization of dysbindin-1 in CA1 stratum radiatum of macaque monkeys ( A ) and DBA/2J mice ( B – E ). Immunolabeling with PA3111A was visualized with DAB reaction product treated with nickel in A and with silver–gold in B–E. Labeled clusters of synaptic vesicles (SV) in axon terminals (AT) on spines (Sp) with unlabeled PSDs are seen in A and B. Microtubules (MT) in the apical dendrite (D) of a pyramidal neuron are prominently labeled in C, the boxed area of which contains a labeled spine shown at higher magnification in D. The empty arrowhead in C points to a potential AT forming a symmetric synapse on the shaft of a pyramidal cell apical dendrite. Another spine with labeled PSD is seen in E. Scale bars in A, B, D and E=100 nm; that in C=500 nm.
Microtubule localization of dysbindin-1 in CA1 stratum radiatum of DBA/2J mice. Immunolabeling with PA3111A was visualized with silver-gold treatment of DAB reaction product. ( A ) Detailed view of MT labeling in a longitudinally sectioned apical dendrite (D) of a CA1 pyramidal cell. Note that nearly all the fine and coarse labeling in the core of the dendrite lies on or immediately adjacent to the MTs, which is especially clear along the MTs identified by arrowheads. ( B ) Labeling of MTs in transversely cut axons (Ax) near CA2. The myelinated axons are indicated by arrows, while likely unmyelinated axons are indicated by hollow arrowheads. The boxed area is shown at higher magnification in C , which shows more clearly the association of label with microtubules in a myelinated axon. The structure to the left of that axon marked with a hollow arrowhead is probably an unmyelinated axon. Scale bar in A and C=100 nm; in B=500 nm.
Microtubule localization of dysbindin-1 in CA1 stratum radiatum of DBA/2J mice. Immunolabeling with PA3111A was visualized with silver-gold treatment of DAB reaction product. ( A ) Detailed view of MT labeling in a longitudinally sectioned apical dendrite (D) of a CA1 pyramidal cell. Note that nearly all the fine and coarse labeling in the core of the dendrite lies on or immediately adjacent to the MTs, which is especially clear along the MTs identified by arrowheads. ( B ) Labeling of MTs in transversely cut axons (Ax) near CA2. The myelinated axons are indicated by arrows, while likely unmyelinated axons are indicated by hollow arrowheads. The boxed area is shown at higher magnification in C , which shows more clearly the association of label with microtubules in a myelinated axon. The structure to the left of that axon marked with a hollow arrowhead is probably an unmyelinated axon. Scale bar in A and C=100 nm; in B=500 nm.
The labeled axon terminals were commonly part of asymmetric synapses with fairly thick PSDs (Figs 5 and 8 A and B). Where the nature of the postsynaptic targets was evident, labeled terminals were found to synapse on dendritic spines (Figs 5 , 8 A and B) with one exception noted below (Fig. 6 C).
Postsynaptic labeling was limited to PSDs (Figs 6 C and D, 7 and 8 C–E) and microtubules (Figs 6 A and B, 7 A, 8 C and 9 ), proteins of which are components of the PSD fractions studied ( 37 ). Although variable amounts of dysbindin-1 were detected in PSD fractions of the human HF, the presence of labeled spines in macaques confirms that post-synaptic dysbindin-1 does occur in the primate HF.
The EM results were highly consistent with the light microscopic and fractionation data. As suggested at the light microscopic level, far more of the HF surface area was covered by immunoreactivity in neuropil than in cell bodies. None of the labeling was glial. When found in neuronal cell bodies, it was localized mainly on membranes of the endoplasmic reticulum and the Golgi complex. In neuropil, it was predominantly presynaptic with less frequent postsynaptic labeling restricted to certain locations specified below.
Presynaptic labeling was concentrated on or near synaptic vesicle membranes within and/or outside the active zone (Figs 5 , 6 C and 8 A and B). In the nickel-DAB material, immunoreactivity appeared to coat the exterior of the synaptic vesicles (Figs 5 A and 8 A). Occasionally, outer mitochondrial membranes were sparsely labeled (Figs 5 B and 6 A). Little, if any, label was seen near the presynaptic plasma membrane or in presynaptic cytosol distant from synaptic vesicle clusters, consistent with the absence of a dysbindin-1 signal in PrS factions of the mouse brain and human HF.
Virtually all DGiml labeling was axonal or presynaptic (Fig. 5 ), the only exception being rare microtubule labeling in dendrites probably arising from dysbindin-1-rich neurons in the DG hilus described earlier ( 15 ). In the DG hilus itself, however, labeling was found mainly in dendrites of the polymorph cells (Figs 6 and 7 ), including mossy cells (Fig. 7 ). Nearly all such hilar labeling was in PSDs and on microtubules of dendritic shafts and spines (Figs 6 and 7 ). Rare labeling was observed in asymmetric axon terminals on dendritic shafts with labeled PSDs (AT1 in Fig. 6 C); other labeled PSDs on those dendrites faced unlabeled terminals (AT2 in Fig. 6 C).
In CA1 stratum radiatum, a mixture of pre- and post-synaptic labeling was found. Labeled axon terminals were observed on unlabeled spines (Fig. 8 A and B), the origin of which could sometimes be traced to apical dendrites of pyramidal cells. Those dendrites were conspicuous for microtubule labeling (Figs 8 C and 9 A). Such labeling extended close to labeled portions of the dendritic plasma membrane and to labeled PSDs in spines emerging from those membranes (Fig. 8 C and D). The axon terminals ending on those spines were not labeled, nor were terminals on other PSD-labeled spines in CA1 stratum radiatum (Fig. 8 E). The labeled terminals may originate from transversely cut axons with labeled microtubules seen close to CA2 near stratum lacunosum-moleculare (Fig. 9 B and C). Their location suggested that the axons were Schaffer collaterals of CA3 pyramidal cells. Additional tissue elements labeled in CA1 were of uncertain identity. They included ovoid profiles directly contacting the shafts of pyramidal cell apical dendrites at sites lacking clear PSDs (Fig. 8 C), which may be symmetric synapses of interneurons.
DISCUSSION
The current study provides the first direct evidence that dysbindin-1 binds snapin in the brain and that it is located, like snapin, at synaptic sites. Both tissue fractionation and immunoEM showed that dysbindin-1 is closely associated with synaptic vesicles presynaptically and with PSDs postsynaptically. Dysbindin-1 terminals were commonly part of asymmetric synapses on spines with relatively thick PSDs suggestive of glutamatergic terminals, consistent with the congruent distribution of dysbindin-1 neuropil and vesicular glutamate transporter-1 in the human HF reported earlier ( 15 ). Not all glutamatergic terminals were labeled, however. Contrary to an earlier report ( 1 ), dysbindin-1 was not detected in mossy fiber terminals of dentate granule cells. It was instead found in two other glutamatergic projections within the HF, specifically a feedback pathway from dentate mossy cells and CA3c cells to DG granule cells and a feed-forward pathway from CA3 to CA1 pyramidal cells ( 39 ).
The feedback pathway likely to contain dysbindin-1 terminates in DGiml (Fig. 10 A). Most of it derives from DG mossy cells and CA3c pyramidal cells, which are major sources of input to DGiml at septal and/or temporal levels of the HF ( 40–43 ). CA3c pyramidal neurons are intensely immunoreactive for dysbindin-1, as are many of the large polymorph neurons in the DG hilus. Among the polymorph neurons enriched in dysbindin-1 are mossy cells, as indicated by several findings considered together. First, though not evident at the light microscopic level, the current study found that dysbindin-1 in the DG hilus is present in dendritic excrescences postsynaptic to exceptionally large axon terminals. Such dendritic excrescences are a type of spine characteristic of DG mossy cells ( 44 , 45 ). Second, many dysbindin-1 cells in the DG hilus have dendrites extending without spines far into the DG molecular layer ( 15 ), which is another morphological feature of mossy cells ( 44 , 46 ). Third, as shown here, the major target of mossy cell axons (i.e. DGiml) is enriched in axon terminals containing dysbindin-1. Mossy cell axons, which are glutamatergic ( 43 , 47 ), terminate almost exclusively on dendritic spines of granule cells, not the smooth dendritic stalks of distal mossy cell dendrites penetrating the granule cell layer ( 41 , 43 ). The present findings thus suggest that dysbindin-1 reductions reported in DGiml of schizophrenia cases ( 15 ) occur in axospinous terminals of DG mossy cells.
Likely localization of dysbindin-1 in two intrinsic circuits of the HF based on the current findings. Red indicates tissue elements containing or likely to contain the protein; black indicates those lacking the protein. ( A ) A feedback circuit from dentate mossy cells to dentate granule cells. The primary target of mossy cell axons are granule cell spines in the DGiml. Since dysbindin-1 is highly expressed in presumptive mossy cells and in numerous axospinous terminals in DGiml, the protein is likely to be in the mossy cell terminals in DGiml. ( B ) A feed-forward circuit from CA3 to CA1. CA3 pyramidal cell axons collateralize to innervate CA1, CA3, and the lateral septum (LS) bilaterally. The axon branches to the ipsilateral CA1 are known as Schaffer collaterals (SC); those to the contralateral hippocampus are known as commissural collaterals (Com). Since dysbindin-1 is highly expressed in CA3 pyramidal cells and is present in axospinous terminals of CA1, the protein is likely to be in axon collaterals of CA3 pyramidal cells, perhaps including those to the LS. For further explanation, see Discussion.
Likely localization of dysbindin-1 in two intrinsic circuits of the HF based on the current findings. Red indicates tissue elements containing or likely to contain the protein; black indicates those lacking the protein. ( A ) A feedback circuit from dentate mossy cells to dentate granule cells. The primary target of mossy cell axons are granule cell spines in the DGiml. Since dysbindin-1 is highly expressed in presumptive mossy cells and in numerous axospinous terminals in DGiml, the protein is likely to be in the mossy cell terminals in DGiml. ( B ) A feed-forward circuit from CA3 to CA1. CA3 pyramidal cell axons collateralize to innervate CA1, CA3, and the lateral septum (LS) bilaterally. The axon branches to the ipsilateral CA1 are known as Schaffer collaterals (SC); those to the contralateral hippocampus are known as commissural collaterals (Com). Since dysbindin-1 is highly expressed in CA3 pyramidal cells and is present in axospinous terminals of CA1, the protein is likely to be in axon collaterals of CA3 pyramidal cells, perhaps including those to the LS. For further explanation, see Discussion.
We cannot exclude the possibility that some non-mossy polymorph cells in the DG hilus are immunoreactive for dysbindin-1. Such cells are GABAergic neurons that generally innervate the DG granule and/or molecular layer ( 48 , 49 ). Their dendritic shafts receive sparse input from mossy cells ( 41 , 43 ). Our finding of rare dysbindin-1 axon terminals on labeled dendritic shafts in the DG hilus may reflect mossy cell output to GABAergic interneurons expressing dysbindin-1. The alternative possibility that such terminals are contacting dendrites of other mossy cells is unlikely, because the few such contacts reported occur on dendritic spines ( 43 ).
The HF feed-forward pathway likely to contain dysbindin-1 is formed by axon collaterals of CA3 pyramidal cells innervating CA1 (Fig. 10 B). As reported previously ( 15 ), dysbindin-1 is highly expressed in CA3 pyramidal cells, which are glutamatergic ( 50 ). Collaterals of CA3 pyramidal cell axons (i.e. Schaffer collaterals ipsilaterally and commissural collaterals contralaterally) establish asymmetric synapses with spines of CA1 pyramidal cells ( 51 ). CA3 axon collaterals are the predominant source of asymmetric axospinous terminals in CA1 stratum radiatum ( 52 ). Consequently, Schaffer and/or commissural collaterals of CA3 efferents would account for dysbindin-1 found presynaptically in asymmetric, axospinous synapses in CA1 stratum radiatum. That is consistent with the additional finding that the field of diffuse dysbindin-1 neuropil in CA1 stratum radiatum ends at the border of CA1 with the subiculum, where virtually all CA3 collaterals also end ( 53 ). Transport in those collaterals may also account for the dysbindin-1 observed in myelinated and unmyelinated axons coursing sagitally through CA1 stratum radiatum near the border with CA2. Additional collaterals of CA3 pyramidal cells innervate the lateral septum ( 54 ), which may account for neuropil there enriched in dysbindin-1.
As noted earlier, cell culture work showed that dysbindin-1 can regulate neuronal glutamate release ( 24 ). The current findings thus suggest that dysbindin-1 influences glutamate release at terminals of dentate mossy cells and CA3 pyramidal cells. Our findings also suggest that such influence is exerted either directly or indirectly at synaptic vesicle membranes, where dysbindin-1 was selectively localized in presynaptic tissue according to both tissue fractionation and immunoEM data. Snapin was similarly, though not as selectively, localized presynaptically as reported earlier ( 38 , 55 ). The two binding partners may consequently act together at the surface of synaptic vesicles to regulate glutamate release. Judging from work with snapin knock-out mice ( 34 ), it is possible that dysbindin-1 plays a role in stabilizing release-ready vesicles. Under conditions phosphorylating snapin, it may specifically increase glutamate release probability ( 56 ). It may thereby influence induction of long-term potentiation noted after titanic stimulation of both dentate mossy fibers ( 47 ) and Schaffer collaterals of CA3 pyramidal cells ( 57 ).
Dysbindin-1′s localization in PSDs on dentate hilus and CA1 pyramidal cells suggests another function related to snapin. We found both proteins in PSD tissue fractions of mouse whole brains and the human HF. Snapin binds adenylyl cyclase type VI (ACVI) and prevents suppression of that enzyme by PKC ( 58 ). ImmunoEM using an antibody recognizing ACVI shows heavy labeling of PSDs ( 59 ). Adenylate cyclases activate PKA, which prevents the AKT-dependent, anti-apoptotic effects of insulin-related growth factor-1 under conditions of cellular stress ( 60 ). These observations may help explain Numakawa et al .'s ( 24 ) finding that altered dysbindin-1 expression in cultured neurons reduces AKT-dependent cell survival rates under conditions of serum deprivation.
Transport of dysbindin-1 from cell bodies to PSDs and axon terminals may account for the protein's presence along microtubules in certain dendrites and axons. But such localization may also reflect an additional, snapin-related role. Snapin competes with tubulin for binding of the novel protein cypin, which affects microtubule assembly and ultimately the number and branching of dendrites in development ( 38 ). Altered dysbindin-snapin interactions may thus affect microtubule assembly, which could contribute to frequently observed reductions in the size and form of cerebrocortical dendritic fields in schizophrenia ( 61–63 ).
Dysbindin-1 and snapin are components of Biogenesis of Lysosome-related Organelles Complex-1 (BLOC-1), a complex identified in liver with at least eight component proteins ( 31 ). It is conceivable, then, that neuronal functions of dysbindin-1 are mediated not by interaction with snapin alone, but with BLOC-1 as a whole. At present, however, the existence of BLOC-1 as an integral eight-member complex has not been established in the brain, although a second component of the complex (i.e. pallidin) has been found to bind dysbindin-1 in brain tissue ( 32 ). Other binding partners of dysbindin-1 established in non-neural tissues (mysospryn and dystrobrevins) are unlikely to mediate its functions in glutamatergic neurons. Myospryn is not expressed in the brain ( 30 ), and the neuronal form of dystrobrevins (i.e. β-dystrobrevin) is undetectable in dysbindin-1 neuropil of the HF ( 15 ). Moreover, the dystrophin glycoprotein complex with which dystrobrevins are associated have only been found postsynaptically ( 6 ) at cholinergic ( 64 ) and GABAergic ( 5 ) synapses.
Regardless of the binding partners involved, the association of dysbindin-1 with synaptic vesicles, PSDs and microtubules of apparent glutamatergic neurons in the HF indicates that alteration in dysbindin-1 expression could affect the structure and function of that and other brain regions rich in the protein. Observed reductions in dysbindin-1 gene ( 14 ) and protein ( 15 ) expression in schizophrenia may thus contribute to both neurodevelopmental and cognitive abnormalities in that disorder. Future studies need to explore the potential diversity of roles played by dysbindin-1 in brain development, glutamatergic neurotransmission and neuroplasticity underlying cognition.
MATERIALS AND METHODS
Animals and subjects
Mice, macaques and humans were studied. The mice were 3- to 7-months-old male CD1 animals ( n =4) from Harlan UK Ltd. (Oxon, UK), C57BL/6J ( n =12), DBA/2J ( n =23) animals purchased from Jackson Laboratories (Bar Harbor, ME, USA), and homozygous sandy animals ( n =8) supplied by Richard T. Swank (Roswell Park Cancer Institute, Buffalo, NY, USA). Animals were housed in groups of five and had free access to food and water in a light- and temperature-controlled environment at accredited animal care facilities of the University of Pennsylvania or the University of Oxford. The macaques were three adult male and two adult female Macaca fascicularis monkeys weighing 3.5–4.0 kg provided by the Primary Production Department of the National University of Singapore. The monkeys were treated in accordance with guidelines of the University Animal Care and Use Committee at the National University of Singapore. Acquisition and use of human brain tissue conformed to protocols approved by the Institutional Review Board at the University of Pennsylvania. The human subjects were males ( n =11) and females ( n =19) who came to autopsy at the University of Pennsylvania with next-of-kin consent. Their ages were 47–93 years (mean=79.3 years). Post-mortem intervals (PMIs) ranged from 3.5 to 26 h (mean=12.1 h). Agonal state was assessed by the pH of the brain tissue, which ranged from 6.00 to 7.00 (mean=6.37). The human subjects had no history of dementia, neurological conditions or psychiatric disorders. Gross and microscopic neuropathological examination revealed no degenerative processes in the human brain tissue (i.e. no infarcts, gross cell loss, or gliosis and no abnormal accumulations of amyloid plaques, neurofibrillary tangles or Lewy bodies).
Tissue collection
Mice and monkeys were deeply anesthetized by intraperitoneal injection of 30–40 mg/kg sodium pentobarbital. For biochemical analyses, the brains were quickly removed without fixation. For immunohistochemical analyses, the animals were perfused transcardially with saline or Ringer's solution followed by 4% neutral-buffered formaldehyde for light microscopy or 3% paraformaldehyde+0.1% glutaraldehyde in 15% picric acid and 0.1 m phosphate-buffered saline (PBS, pH 7.4) for EM. Human brain tissue was obtained in coronal tissue slabs from intermediate rostrocaudal levels of the HF (hippocampus+DG+subiculum). Tissue from one hemisphere was fresh frozen at −80°C. Tissue from the other hemisphere was fixed in 4% neutral-buffered formaldehyde, ethanol (70% in 150 m m NaCl) or Bouin's fixative. Fixation was 12–18 h for EM and 24–48 h for light microscopy.
Tissue fractionation
Fresh mouse and fresh frozen human brain tissues were fractionated to separate pre- and post-synaptic portions of synaptosomes using a method adapted from Phillips et al . ( 36 , 37 ). Fractionation was performed on the HF dissected from six human cases (ages: 47–92 years, PMI: 5–12 h) and on pooled samples of two to four whole mouse brains: twice on C57BL/6 mice and thrice on DBA/2J and sdy mice. The tissue was homogenized in a Teflon-glass tube with an A solution (5 ml/g of tissue) consisting of 0.32 m sucrose, 1 m m NaHCO3, 1 m m MgCl 2 , 0.5 m m CaCl 2 supplemented with a protease-inhibitor mix from Hoffmann-La Roche (1697498, Nutley, NJ, USA) and the phosphatase inhibitor mix I and II from Sigma (P-2850 and P-5726, St. Louis, MO, USA). After 15 min of 1400 g centrifugation at 4°C to clear cell debris and nuclei, the supernatants were pooled as total extract (T) and centrifuged for 10 min at 13 800 g . The supernatant served as the cytosolic fraction (C). The pellet was resuspended in a B solution (i.e. the A solution without MgCl 2 or CaCl 2 ) using 1 ml/5 g starting tissue layered on top of a sucrose gradient containing 3 ml of 0.85, 1.0 and 1.2 m sucrose solutions each with 1.0 m m NaHCO 3 . These gradients were run for 2 h at 82 500 g in a Beckman SW40Ti centrifuge. The band between 1.0 and 1.2 m sucrose was recovered and diluted 1 : 10 with solution B. It was centrifuged at 32 800 g in the Beckman 50.4Ti apparatus for 20 min at 4°C. The resulting pellet was resuspended with ice-cold 0.1 m m CaCl 2 . An aliquot was saved as the total synaptosome fraction (S). The rest was centrifuged at 15 000 g in the Beckman 50.4Ti centrifuge for 30 min at 4°C. The supernatant was mixed with 10 volumes of cold acetone (−20°C), precipitated overnight at 4°C, centrifuged, and resuspended in solution B to obtain the vesicle membrane fraction (V). The pellet containing the pre- and post-synaptic plasma membranes was extracted by resuspending it in 20 m m Tris solution (pH 6.0) with 1% TX-100, incubating on ice for 30 min, centrifuging as above and then resuspending the pellet in 20 m m Tris solution (pH 8.0) with 1% TX-100 as above. The supernatants from the two TX-100 extractions were combined and acetone precipitated as above to yield the presynaptic protein fraction [PrS=presynaptic particulate fraction of Phillips et al . ( 37 ) minus synaptic vesicles]. The pellet from the second TX-100 extraction at pH 8.0 was resuspended in solution B and used as the PSD fraction. All fractions were solubilized in 0.5% digitonin, 0.2% sodium cholate and 0.5% NP-40 (final concentrations) for 30 min at 4°C. Protein concentrations were estimated by a Lowry assay (Dc Protein Assay, BioRad, Hercules, CA, USA) using BSA as standard.
Antibodies
Four rabbit polyclonal dysbindin-1 antibodies generated and affinity purified by Blake and Benson were used, specifically PA3111A raised against the mouse C-terminus (amino acids 198–352) as previously reported ( 1 , 15 ) and three others (M10FLA, NTm10A and Hdys764) generated as described subsequently. Our snapin antibodies (snapin-FLA and snapin-pep) were also rabbit polyclonals made and affinity purified by Blake and Benson. All immunizations of rabbits using the fusion proteins and peptides were performed by either Sigma-Genosys (Suffolk, UK) or Eurogentec (Hampshire, UK).
M10FLA was produced from a PCR template encoding all 352 amino acids of murine dysbindin-1. The complete dysbindin-1 ORF was PCR-amplified from the M10 cDNA clone ( 1 ) using primers M10FLFP19 (5′-CATATGCTGGA GACCCTGCGC) and M101310R (5′-ATCTCGAGCCATAA GCTTTATTGTGAGC) and ligated in-frame into the NdeI/XhoI sites of the pET-19 vector (Novagen, Nottingham, UK). This construct was transformed into E . coli BL21 (DE3) cells (Stratagene, La Jolla, CA, USA); the fusion protein was expressed as per the manufacturer's guidelines. The M10FL-His tag fusion protein was purified under denaturing conditions using TALON resin (Clontech, Mountain View, CA, USA). Affinity purification of M10FL antibodies from immunized rabbit serum was performed using the M10FL-His tag fusion protein and Sulfolink coupling gel (Pierce Biotechnology, Rockford, IL, USA) as per the manufacturer's instructions.
NTm10A was derived from a PCR template encoding amino acids 1–189 of murine dysbindin-1. The N-terminal DNA sequence was amplified from the M10 cDNA clone ( 1 ) using the primers M10CCF (5′-GAGGGGACGCGAT GCTGG) and M10+CCR (5′-CTGTTAGTGCTCCATTTCCAGGG) and ligated into pGem-T Easy (Promega, Southampton, UK). The insert was excised using EcoRI and ligated in-frame into the pET-32 vector (Novagen). This construct was transformed into E . coli BL21 cells (Stratagene); the fusion protein was expressed as per the manufacturer's guidelines. Affinity purification of NTM10 antibodies from immunized rabbit serum was performed using a M10FL-His tag fusion protein affinity column produced as described earlier.
Hdys764 was derived from a PCR template encoding amino acids 198–351 of human dysbindin-1. The C-terminal DNA sequence was amplified from a human liver cDNA library (Invitrogen, Carlsbad, CA, USA) using primers H764F (5′-ATGAATTCTTTTTTGAGGAAGCCTTCCAG) and H1274R (5′-ATCTCGAGGCCAAAACTGGATTCCAGTGTG). The PCR product was ligated in-frame into pET-32 (Novagen). The fusion protein was expressed in E . Coli BL21 (DE3) cells (Stratagene) as per the manufacturer's guidelines. Hdys764-thioredoxin fusion protein was purified under denaturing conditions using TALON resin (Clontech). Thioredoxin antibodies from the immunized rabbit serum were removed by repeatedly passing the serum over a thioredoxin-affinity column for 1 h. After depletion of the thioredoxin antibodies, Hdys764 antibodies were purified using the Hdys764-thioredoxin fusion protein and Sulfolink coupling gel (Pierce Biotechnology) as per the manufacturer's instructions.
Snapin-FPA was raised against the complete murine snapin amino acid sequence. The entire snapin ORF was PCR-amplified using as a template the DS3A cDNA clone (Benson and Blake, unpublished) with the primers SnapinFLF (5′-CATATGGCCGCAGCTGGTTCCG-3′) and SnapinFLR (5′-CTCGAGTATACTCAGGTCACGGGCCC-3′). The PCR product was ligated into the vector pQE UA-30 (Qiagen, West Sussex, UK). This construct was transformed into E . coli XL1-Blue (Stratagene); the fusion protein was expressed as per the manufacturer's guidelines. The Snapin-His tag fusion protein was purified under soluble conditions using TALON resin (Clontech). Affinity purification of Snapin-FPA antibodies was performed using the Snapin-His tag fusion protein and Sulfolink coupling gel (Pierce) as per the manufacturer's instructions.
Snapin-pep, was raised against a peptide encoding the final 14 amino acids of the murine snapin amino acid sequence (MLDSGVYPPGSPSK, Sigma-Genosys). Affinity purification of Snapin-pep antibodies was performed using the immunizing peptide and Sulfolink coupling gel (Pierce) as per the manufacturer's instructions.
The other antibodies used were from commercial sources: a goat polyclonal antibody to NMDAR1 (Santa Cruz 9058, Santa Cruz, CA, USA) and mouse monoclonal antibodies to actin (Sigma A-1978, St. Louis, MO, USA), c-myc protein (9E10: Covance BIOT-150L, Berkeley, CA, USA), PSD protein 95 (PSD95, Upstate Cell Signaling 05–494, Lake Placid, NY, USA), Rab3 (BD Biosciences 610379, Franklin Lakes, NJ, USA) and synaptophysin (Dako USA Sy38, Carpinteria, CA, USA).
Immunoprecipitation
Protein complexes from COS-7 cells transfected to express myc-tagged dysbindin-1 and/or myc-tagged snapin were immunoprecipitated as described by Benson et al . ( 1 ). using 4 µg of dysbindin antibody PA3111A or 4 µg of the snapin-pep antibody. For immunoprecipitation of protein complexes from the brain, ∼2 g of whole brain tissue from CD1 mice were homogenized in RIPA buffer [150 m m NaCl, 50 m m Tris pH 8.0, 1% Triton X-100, 0.5% sodium deoxycholate, 2.5 m m EDTA plus protease inhibitors (Sigma P8340)]. After 30 min on ice, the tissue extract was clarified by centrifugation at 141 000 g . Protein complexes from the clarified extract were immunoprecipitated with 4 µg of the snapin-pep antibody and immunoblotted with the c-myc mouse monoclonal antibody 9E10 (Covance BIOT-150L) or biotinylated PA3111A as described earlier ( 1 , 30 ).
Western blotting of mouse and human tissue fractions
Ten µg of each tissue fraction isolated as described earlier (T, C, S, V, PrS and PSD) were loaded on Invitrogen gels: 8% Tris/glycine for dysbindin-1, 12% Tris/glycine for snapin and 4–12% NuPage Bis-Tris for all other antigens. The samples were then electrophoresed and transferred to an Immobilon polyvinylidene fluoride (PVDF) membrane (Millipore, Billerica, MA, USA). The membranes were probed overnight at 4°C in PBS containing 0.3% Tween-20 and 3% non-fat dry milk with primary antibodies for (i) actin with Sigma A-1978 (1:5000); (ii) dysbindin-1 with PA3111A (1:250), NTm10A (1:250) or Hdysb746 (1:250); (iii) NMDAR1 with Santa Cruz Biotechnology sc-9058 (1:1000); (iv) PSD95 with Upstate Cell Signaling 05–494 (1:4000); (v) Rab3 with BD Biosciences 610379 (1:2000); (vi) snapin with snapin-FPA (1:200); or (vii) synaptophysin with Dako Sy38 (1:10 000). Horseradish peroxidase-conjugated secondary antibodies of the appropriate species (1:500 for dysbindin and snapin, 1:1000 for NMDAR1, and 1:2000 for all other antigens) were applied to the membranes for 1 h at room temperature. Bands were visualized using a chemiluminescence detection system (LighteningPlus, PerkinElmer, Boston, MA, USA). To test whether the ∼50 kDa band observed in blots probed with dysbindin-1 antibodies represented the predicted full-length antigen, the blots were run with additional lanes loaded with positive and negative controls: recombinant full-length mouse dysbindin supplied by Blake and Benson and samples of sdy mouse brains lacking dysbindin-1 due to a deletion mutation ( 35 ). For the same purpose, peptide blocking experiments were run in which the dysbindin-1 antibodies were incubated at room temperature for 2 h with twice the concentration of antigen (recombinant full-length mouse dysbindin-1, M10FL) before application to the PDVF membrane.
Western blotting of monkey tissue
To verify that the dysbindin-1 antibody PA3111A recognizes the same proteins in the HF of macaques as in the mice and humans, the HF from fresh coronal slabs of two macaques (one male, one female) was removed under deep anesthesia as specified earlier. The tissues were homogenized separately in 10 volumes of ice-cold buffer [0.32 m sucrose, 4 m m Tris-Cl (pH 7.4), 1 m m EDTA, and 0.25 m m DTT] and centrifuged at 1000 g for 15 min. 50 µg of supernatant protein were electrophoresed on a 10% SDS-PAGE gel and transferred to a PVDF membrane. Non-specific binding sites on the membrane were blocked by incubation with 5% non-fat milk for 1 h. The PVDF membrane was then incubated overnight in Tris-buffered saline (TBS) with PA3111A (1:100 with or without pre-adsorption of the antibody with excess antigen). After washing with 0.1% Tween-20 in TBS, each membrane was incubated with horseradish peroxidase-conjugated goat anti-rabbit IgG (Amersham, Chalfont, UK) for 1 h at room temperature. The blots were developed with the Supersignal West Pico chemiluminescent substrate (Pierce Biotechnology, Rockford, IL). Peptide blocking experiments were conducted as described for western blotting of mouse and human brain extracts.
Light microscopic immunohistochemistry
Tissues from 12 male DBA/2J mice, four Macaca fascicularis monkeys (two female, two male), and 30 humans (11 male, 19 female) were fixed as described earlier, embedded in paraffin, and cut coronally at 6 µm on a rotary microtome for mounting on APES-coated slides ( 65 ). Using the protocol of Talbot et al . ( 15 ), dewaxed sections were subjected to heat-induced epitope retrieval with 1 m m EDTA (pH 8.0), incubated with dysbindin-1 antibodies Hdysb746, M10FLA, NTm10A or PA3111A (1:300–1:500 with or without pre-adsorption of the antibody with excess antigen) followed by incubation with secondary anti-rabbit antibodies conjugated to biotin (Vector Laboratories, Burlingame, CA, USA), exposed to an avidin–biotin–peroxidase complex made with a Vectastain Elite ABC kit (Vector Laboratories), and reacted with DAB followed by silver–gold intensification of the final reaction product. After clearing in xylenes, tissue sections were coverslipped under Cytoseal 60 (Richard-Allan Scientific, Kalamazoo, MI, USA). The same procedure was used to map the distribution of snapin in the brains of four DBA/2J mice and of four normal humans with snapin-FPA (1:100).
Electron microscopic immunohistochemistry (ImmunoEM)
HF tissue from five male DBA/2J mice and four Macaca fascicularis monkeys (two female, two male) fixed as specified earlier was processed for immunoEM using a protocol adapted from Ribeiro-Da-Silva et al . ( 66 ). Coronal tissue sections cut at 50 µm on a vibratome were collected in 1% sodium borohydride, transferred to 50% ethanol in PBS for 30 min to facilitate antibody penetration ( 67 ), blocked in 2% horse serum for 1 h at room temperature, and incubated free-floating with the dysbindin-1 antibody PA3111A (1:500 with or without pre-adsorption of the antibody with excess antigen) for 18–24 h at 4°C. After further blocking with 2% horse serum, the sections were incubated in an anti-rabbit secondary antibody conjugated to biotin (1:200, Vector Laboratories) for 1–2 h, transferred to a Vector Elite ABC for 2 h, and reacted for 5–6 min in 0.02% DAB in 0.1 m Tris buffer (TB, pH 7.6) with 0.006% H 2 O 2 (plus 0.2% nickel ammonium sulfate for monkey sections). The mouse sections were then processed for silver–gold treatment of the DAB reaction product according to the method of Teclemariam-Mesbah et al . ( 68 ). Mouse and macaque sections were post-fixed in 1% osmium tetroxide in cold TB, dehydrated and embedded in Epon resin, after which all but the regions of interest were trimmed away. The remaining tissue was re-embedded in Araldite for 70 nm sectioning on a Leica Ultracut FCS microtome. Some sections were mounted on slides, dehydrated and lightly counterstained with methyl green for light microscopic viewing, while others were mounted on formvar-coated copper grids. The grid-mounted sections were counterstained with 2% uranyl acetate in 50% ethanol. They were viewed in a Jeol 1010EX electron microscope equipped with a Hamamatsu CCD camera aided by AMT 12-HR software.
ACKNOWLEDGEMENTS
This study was supported by grants from the National Institutes of Health (SEA MH72880, MH64045), the National University of Singapore (W-YO) and the Wellcome Trust (D.J.B.). D.J.B. is a Wellcome Trust Senior Fellow in Basic Biomedical Science. We thank R.T. Swank for generously supplying the sandy mice used in this study.
Conflict of Interest statement . None declared.










