- Split View
-
Views
-
CiteCitation
Tim Hui-Ming Huang, Martin R. Perry, Douglas E. Laux; Methylation Profiling of CpG Islands in Human Breast Cancer Cells, Human Molecular Genetics, Volume 8, Issue 3, 1 March 1999, Pages 459–470, https://doi.org/10.1093/hmg/8.3.459
Download citation file:
© 2018 Oxford University Press
Close -
Share
Abstract
CpG island hypermethylation is known to be associated with gene silencing in cancer. This epigenetic event is generally accepted as a stochastic process in tumor cells resulting from aberrant DNA methyltransferase (DNA-MTase) activities. Specific patterns of CpG island methylation could result from clonal selection of cells having growth advantages due to silencing of associated tumor suppressor genes. Alternatively, methylation patterns may be determined by other, as yet unidentified factors. To explore further the underlying mechanisms, we developed a novel array-based method, called differential methylation hybridization (DMH), which allows a genome-wide screening of hypermethylated CpG islands in tumor cells. DMH was used to determine the methylation status of <276 CpG island loci in a group of breast cancer cell lines. Between 5 and 14% of these loci were hypermethylated extensively in these cells relative to a normal control. Pattern analysis of 30 positive loci by Southern hybridization indicated that CpG islands might differ in their susceptibility to hypermethylation. Loci exhibiting preexisting methylation in normal controls were more susceptible to de novo methylation in these cancer cells than loci without this condition. In addition, these cell lines exhibited different intrinsic abilities to methylate CpG islands not directly associated with methyl-transferase activities. Our study provides evidence that, aside from random DNA-MTase action, additional cellular factors exist that govern aberrant methylation in breast cancer cells.
Introduction
In mammals, DNA methylation usually occurs at cytosines located 5′ of guanines, known as CpG dinucleotides. DNA(cytosine-5)-methyltransferase (DNA-MTase) catalyzes this reaction by adding a methyl group from S-adenosyl-L-methionine to the fifth carbon position of the cytosines (1). The DNMT1 gene has been shown previously to be responsible for the DNA-MTase activity in humans (2). More recently, other genes encoding methylating enzymes have been implicated in mice and humans (3–5). While DNA-MTase favors hemimethylated substrates for its normal maintenance activity in the cell, the enzyme also exhibits an ability to methylate CpG sites de novo (6). Most cytosines within CpG dinucleotides are methylated in the human genome, but some remain unmethylated in specific GC-rich areas, called CpG islands (7). These 1–2 kb long DNA sequences are located in the promoter and first exon regions of ∼60% of all genes (8).
DNA methylation is known to play a role in regulating gene expression during cell development. This epigenetic event frequently is associated with transcriptional silencing of imprinted genes, some repetitive elements and genes on the inactive X chromosome (9,10). In neoplastic cells, it has been observed that the normally unmethylated CpG islands can become aberrantly methylated, or hypermethylated (11,12). If hypermethylation occurs in CpG islands of genes related to growth-inhibitory activities, it may lead to associated transcriptional silencing and promote neoplastic cell proliferation. In addition to classic genetic mutations, CpG island hypermethylation is an alternative mechanism for inactivation of tumor suppressor genes (12).
The molecular mechanisms underlying CpG island hypermethylation in cancer recently have been explored. A substantial body of evidence indicates that increased DNA-MTase levels can contribute to tumorigenesis by promoting de novo methylation of CpG island sequences (13,14). Recent data have shown that dysregulation of a cell cycle regulator, p21, that normally modulates DNA-MTase action, may also promote de novo methylation (15). Studies have suggested that local cis-acting signals and trans-acting factors capable of preventing specific CpG islands from de novo methylation can be disrupted in tumor cells (16–18). Presently, there is no direct evidence that disturbances of such local factors might impose de novo methylation of specific CpG islands. Rather, de novo methylation is commonly thought to be a generalized phenomenon associated with a stochastic process in tumor cells possessing aberrant DNA-MTase activities (11,19). This random methylation process can occur at CpG sites located within the regulatory regions of tumor suppressor genes. The progressive silencing of their transcripts may provide tumor cells with a growth advantage, and the specific hypermethylated sites observed in particular cancer types could be the end results of clonal selection during tumor development.
Traditionally, methylation analysis has been carried out by Southern hybridization, which assesses a few methylation-sensitive restriction sites within CpG islands of known genes.
Further development of sensitive assays, such as bisulfite DNA sequencing (20) and methylation-specific PCR (21), has allowed a detailed analysis of multiple CpG sites across a CpG island of interest. These reductionistic approaches have yielded important information regarding the local methylation control of individual genes. As a further step toward a more comprehensive understanding of the underlying mechanisms, it is necessary to conduct a genome-wide analysis of de novo methylation in cancer. Such an analysis can lead to the identification of previously uncharacterized CpG islands associated with gene silencing and shed light on other, as yet unidentified factors governing aberrant methylation. With this in mind, we developed a DNA array-based method, called differential methylation hybridization (DMH), to identify hypermethylated sequences in tumor cells by simultaneously screening many CpG island loci derived from a genomic library, CGI (22). The method was applied to determine the methylation status of >276 CpG island loci in a group of breast cancer cell lines known to have increased DNA-MTase activities. This analysis, for the first time, presents a bird's-eye view of CpG island hypermethylation in the breast tumor genome and provides new evidence that, aside from the aberrant DNA-MTase action, additional elements participate in this epigenetic process.
Results
Expression of the DNMT1 and p21WAF1 genes in breast cancer cells
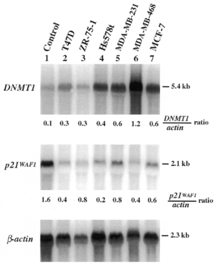
Human cancer cells have increased DNA-MTase activities known to promote CpG island hypermethylation during tumor progression (13,14,23). Since DNMT1 is primarily responsible for DNA-MTase synthesis, we determined its mRNA levels in breast cancer cell lines T47D, ZR-75-1, Hs578t, MDA-MB-231, MDA-MB-468 and MCF-7. Northern analysis showed 3- to 12-fold higher levels of the 5.4 kb DNMT1 mRNA in these cell lines compared with a normal control sample (Fig. 1, upper panel). These results are consistent with a previous study that showed both increases of DNMT1 mRNA levels and the resulting elevation of DNA-MTase enzyme activities in the same cell lines (24).
Chuang et al. (15) recently have shown that the p21 protein negatively regulates targeting of DNA-MTase to the replication-associated protein proliferating cell nuclear antigen (PCNA). They proposed that the presence of p21 prevents DNA-MTase access to replicating DNA, thereby impeding hypermethylation in normal cells, while loss or decreased expression of p21 in tumor cells may facilitate aberrant methylation. We, therefore, determined the expression of the gene encoding p21 in these breast cancer cells. The expected 2.1 kb p21WAF1 transcript was detected in the cells lines with levels 2- to 8-fold lower than the normal control sample (Fig. 1, middle panel). This result, together with the DNMT1 finding, suggests that these breast cancer cell lines possess an increased capacity to methylate their genomes aberrantly.
Profiling methylation patterns in breast cancer cells by DMH
We developed DMH to determine the extent of CpG island sequences undergoing de novo methylation in the six cancer cell lines described above (Fig. 2). Genomic DNA from these cells was first treated with the four-base frequent cutter MseI. This endonuclease restricts genomic DNA into small fragments (100–200 bp average), but its recognition sequence, TTAA, rarely occurs within GC-rich regions, leaving most CpG islands intact. Moreover, the restricted fragments were expected to match the MseI-digested inserts originally used in the construction of the CGI genomic library (22). DNA from normal breast tissue was digested similarly. The cleaved ends of the GC-rich fragments were ligated to linkers. Repetitive sequences such as the AluI and KpnI families were removed from the digests using a Cot-1 subtractive hybridization approach (25). Half of the subtracted DNA was treated further with methylation-sensitive endonuclease BstUI, whose recognition sequence, CGCG, occurs frequently within CpG islands but rarely in bulk DNA. This endonuclease was selected for the methylation analysis because >80% of the CGI inserts contain BstUI sites (22). Both BstUI-digested and undigested control DNAs were used as templates for linker-PCR. Genomic fragments containing unmethylated BstUI sites were cut and could not be amplified in the treated samples, whereas the same fragments were amplified in the undigested, control samples. Some fragments containing methylated BstUI sites in the cells were protected from the digestion and were amplified by linker-PCR. The PCR products designated as ‘MseI-pre-treated amplicons’ or ‘MseI-BstUI-pre-treated amplicons’ were used as probes for screening hypermethylated sequences. CpG island clones were pre-selected from the CGI library to contain multiple BstUI sites (Fig. 3), and their amplified insert DNA (0.2–1.5 kb) was gridded on high-density arrays.
Northern hybridization analysis of DNMT1 and p21WAF1 gene expression in breast cancer cell lines. Total RNA (20 µg) isolated from normal fibroblast (lane 1) and breast cancer cell lines, T47D (lane 2), ZR-75-1 (lane 3), Hs578t (lane 4), MDA-MB-231 (lane 5), MDA-MB-468 (lane 6) and MCF-7 (lane 7), was subjected to northern analysis. The membrane was probed with DNMT1 (top panel), p21WAF1 (middle panel) and β-actin (bottom panel), respectively. The predicted sizes (kb) of the indicated transcripts were calculated using the RNA MW I ladder (Boehringer Mannheim) as a standard. Band intensities were quantified with ImageQuant Software (Molecular Dynamics) and the relative levels of DNMT1 and p21WAF1 mRNAs were normalized with the expression level of β-actin in each sample lane.
Northern hybridization analysis of DNMT1 and p21WAF1 gene expression in breast cancer cell lines. Total RNA (20 µg) isolated from normal fibroblast (lane 1) and breast cancer cell lines, T47D (lane 2), ZR-75-1 (lane 3), Hs578t (lane 4), MDA-MB-231 (lane 5), MDA-MB-468 (lane 6) and MCF-7 (lane 7), was subjected to northern analysis. The membrane was probed with DNMT1 (top panel), p21WAF1 (middle panel) and β-actin (bottom panel), respectively. The predicted sizes (kb) of the indicated transcripts were calculated using the RNA MW I ladder (Boehringer Mannheim) as a standard. Band intensities were quantified with ImageQuant Software (Molecular Dynamics) and the relative levels of DNMT1 and p21WAF1 mRNAs were normalized with the expression level of β-actin in each sample lane.
Schematic flowchart for differential methylation hybridization. A detailed description of each step is given in Materials and Methods. The diagram illustrates the preparation of amplicons used as hybridization probes and selection of CpG island genomic clones gridded on high-density arrays.
Schematic flowchart for differential methylation hybridization. A detailed description of each step is given in Materials and Methods. The diagram illustrates the preparation of amplicons used as hybridization probes and selection of CpG island genomic clones gridded on high-density arrays.
BstUI analysis of CpG island clones. An insert from each clone was amplified by colony PCR and digested with BstUI. The digested (+) and undigested (-) insert DNA samples were separated on 1.5% agarose gels and stained with ethidium bromide. Based on the sizes of the digested fragments, clones containing ≥2 BstUI sites were selected further for analysis by DMH (see further description in the text). Molecular weight markers (100 bp ladder; Promega, Madison, WI) are shown on the left.
BstUI analysis of CpG island clones. An insert from each clone was amplified by colony PCR and digested with BstUI. The digested (+) and undigested (-) insert DNA samples were separated on 1.5% agarose gels and stained with ethidium bromide. Based on the sizes of the digested fragments, clones containing ≥2 BstUI sites were selected further for analysis by DMH (see further description in the text). Molecular weight markers (100 bp ladder; Promega, Madison, WI) are shown on the left.
Figure 4 shows the representative results of276 CpG island loci analyzed by DMH. Various degrees of hybridization signals observed could be attributed to different sizes of amplified products. MseI-pre-treated amplicons were expected to hybridize the matching MseI-restricted CpG island sequences on the membranes; the hybridization signals, however, were detected in ∼86% of these island loci (Fig. 4A, B and C). The unhybridized loci could be derived from the Y chromosome due to the fact that this CGI library originally was constructed using male DNA (22), whereas the amplicons were prepared from female cells. Other possibilities include individual MseI polymorphisms or failure to amplify specific GC-rich DNA in the preparation.
Excluding the unhybridized loci (Fig. 4A) and the 14 Cot-1-positive loci (Fig. 4D), the MseI-BstUI-pre-treated amplicons derived from a normal breast tissue sample detected positive hybridization signals in 9.7% (23 of 237 loci) of the tested CpG island sequences (Fig. 4A′). The positive signals represent methylated BstUI sites located within these CpG island loci, some of which could be derived from the transcriptionally inactivated X chromosome (10) or ‘imprinted genes’ (9). This low percentage is consistent with the notion that the majority of CpG islands are unmethylated in normal cells (7). A few prominent hybridization signals were observed on the filter hybridized with MseI-pre-treated amplicons (Fig. 4A); the intensity of these signals, however, was decreased on the filter hybridized with MseI-BstUI-pre-treated amplicons (Fig. 4A′). This may be attributed to the presence of some abundant sequences (e.g. ribosomal DNA or Cot-1-related sequences) known to be methylated in the normal genome (11,26).
An increased number of hybridization signals was detected in the CpG island arrays hybridized with the MseI-BstUI amplicons derived from the six breast cancer cell lines. Representative results are shown for cell lines ZR-75–1 and Hs578t (Fig. 4B, B′, C and C′). Methylated BstUI sites were observed in 15.0% of these tested loci in Hs578t, 15.6% in T47D, 18.0% in MDA-MB-468, 19.4% in ZR-75–1, 22.7% in MDA-MB-231 and 23.6% in MCF-7 cells, respectively. Although hypermethylation was extensive relative to the normal breast sample, the overall levels varied among these cell lines. Methylation pattern analysis led to the identification of hypermethylated CpG island loci present in these cell lines relative to the normal control; some loci appeared to be methylated in all six cell lines, whereas others were methylated sporadically in only a few cell lines (Fig. 5).
Representative results of differential methylation hybridization. PCR products of CpG island clones were dotted onto membranes in duplicate and hybridized first with 32P-labeled MseI-pre-treated amplicons as shown here for a normal breast sample (control), ZR-75–1 and Hs578t breast cancer cell lines (A, B and C.) The same membranes were hybridized later with 32P-labeled MseI-BstUI-pre-treated amplicons (A′, B′ and C′). Probes were prepared as described in the text. (D) The membrane was hybridized with a repetitive DNA probe, human Cot-1 DNA (Gibco BRL). Three positive control DNA samples were dotted in quadruplicate on the four corners of each array to serve as orientation marks and for comparison of hybridization signal intensities.
Representative results of differential methylation hybridization. PCR products of CpG island clones were dotted onto membranes in duplicate and hybridized first with 32P-labeled MseI-pre-treated amplicons as shown here for a normal breast sample (control), ZR-75–1 and Hs578t breast cancer cell lines (A, B and C.) The same membranes were hybridized later with 32P-labeled MseI-BstUI-pre-treated amplicons (A′, B′ and C′). Probes were prepared as described in the text. (D) The membrane was hybridized with a repetitive DNA probe, human Cot-1 DNA (Gibco BRL). Three positive control DNA samples were dotted in quadruplicate on the four corners of each array to serve as orientation marks and for comparison of hybridization signal intensities.
Characterization of hypermethylated CpG island loci by nucleotide sequencing
Thirty four positive CpG island loci selected from the 276 CpG island array and from other DMH screenings were characterized further by nucleotide sequencing. Inserts of these CGI clones were sequenced and internal BstUI sites were verified. The sequence data were used to search for known sequences in the GenBank database. Thirty of these loci are listed in Table 1. (Four other loci not listed here were false-positive findings; their hypermethylation status in breast cancer cells was not confirmed by subsequent Southern analysis.) Nine of the 30 clones contained sequences identical to the known expressed sequences of HPK1, DCIS1, potassium channel protein, PAX2, PAX7, GALNR2, EST03867, ESTAA827755 and EST88248. Six clones matched existing CpG island sequence tags.
A list of positive CGI clones isolated by differential methylation hybridization
A list of positive CGI clones isolated by differential methylation hybridization
Profiling methylation patterns of CpG island loci in breast cancer cells by Southern hybridization
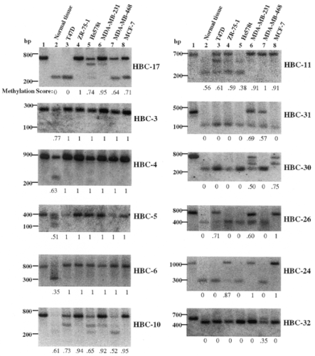
The methylation status of CpG island loci detected in the cancer cell lines was confirmed independently by Southern analysis (Fig. 6). As indicated earlier, these cloned CpG island sequences were flanked by MseI sites and contained multiple internal methylation-sensitive BstUI sites. Hybridization probes were generated from the cloned inserts by PCR. Amplified products were designed to be ∼200–300 bp in length and contain no BstUI sites. For example, the probe for HBC (‘hypermethylation in breast cancer’)-17 detected a 750 bp fragment in the MseI-digested, control DNA lane (Fig. 6, top left panel, lane 1). The same or similar sized fragments were detected in the MseI-BstUI double-digested DNA samples of ZR-75–1, Hs578t, MDA-MB-231, MDA-MB-468 and MCF-7 (lanes 4–8). The presence of this fragment was a result of all the BstUI sites within HBC-17 being insensitive to restriction and, therefore, methylated in these cells. A 300 bp fragment was present in the T47D DNA sample (lane 3). This band was shown in the digested normal, control DNA (lane 2), suggesting that all the tested sites were unmethylated in the cells and digested by BstUI to give a 300 bp fragment. The unmethylated fragment was also present in MDA-MB-468 and MCF-7 cells (lanes 7 and 8). Partially methylated fragments (400 and 600 bp) were identified in Hs578t or MDA-MB-231 cells, which can be attributed to a portion of the tested BstUI sites being methylated in HBC-17. Because it was not possible to measure the degrees of methylation at each tested site based on this Southern analysis, a semi-quantitative approach was developed for these samples. A precise measurement of methylation frequencies in these samples may require using bisulfite sequencing, which is beyond the scope of the present study. First, the percentage of complete methylation was calculated as the densitometric intensity of the 750 bp fragment relative to the combined intensities of all fragments from each lane. The percentage of incomplete methylation (i.e. the 400 and 600 bp fragments) and unmethylation (i.e. the 300 bp fragment) was calculated similarly. Each fraction further was assigned a value, with complete methylation being 1, incomplete methylation 0.5 and unmethylation 0. The methylation score for each sample was the sum total of the percentage of complete methylation multiplied by 1 plus the percentage of incomplete methylation multiplied by 0.5. The scores derived using this method were in agreement with the results based on a visual comparison of band intensities for each sample lane. This approach was applied for the rest of the CpG island loci. Additional examples of Southern hybridization and the resulting methylation scores are shown in Figure 6. To ensure a complete methylation-sensitive restriction of the cell line DNA samples, membranes were rehybridized with a negative control probe, 7–120, whose corresponding BstUI sites were known to be unmethylated in the cell line DNA as well as in a few normal breast DNA samples (data not shown).
Methylation scores of the 30 CpG island loci analyzed in the breast cancer cell lines and one normal control sample are summarized in Figure 7. These cell lines are arranged from left to right according to their increased methylation abilities (i.e. the percentage of hypermethylated loci), and the CpG island loci are listed from top to bottom according to their increased methylation scores derived from these cell lines. Methylation pattern analysis indicated that CpG islands might differ in their susceptibility to hypermethylation in these breast cancer cells. In loci HBC-3 to-15, various degrees of methylation at the tested BstUI sites were seen in the normal control sample. This pre-existing methylation condition was also observed in additional normal breast samples tested (data not shown). Hypermethylation of these loci appeared to be present and extensive in all the six cell lines examined. In contrast, hypermethylation in other loci (HBC-16 to-32) not displaying detectable pre-existing methylation in the normal control appeared to be less frequent in these cell lines. In some cases (e.g. HBC-23 to-32), hypermethylation was observed only in a few cell lines. This observation suggests that a trend exists in which CpG island loci associated with the pre-existing condition are inclined to de novo methylation in cancer cells. Pattern analysis also revealed that the overall methylation frequencies were varied among these cell lines. Methylation (methylation score >0.1) was observed in 57% of these 30 loci in Hs578t, 67% in T47D, 77% in ZR-75–1, 80% in MDA-MB-468, 90% in MDA-MB-231 and 93% in MCF-7 cells, respectively. These differences were more obvious by comparing methylation patterns among the loci (HBC-16 to-32) not exhibiting the detectable pre-existing condition. In the two extreme cases, for example, only four of these 17 loci showed detectable methylation in Hs578t cells, whereas 15 of these loci had extensive methylation in MCF-7 cells. The results suggest that these cell lines differ in their intrinsic abilities to methylate CpG island sequences.
Identification of hypermethylated CpG island loci by differential methylation hybridization. PCR products of CpG island clones were dotted onto membranes in duplicate and probed with the MseI-BstUI-pre-treated amplicons for the normal control and breast cancer cell lines as indicated. Probes were prepared as described in the text. Clones shown on the right (also marked by <) containing hypermethylated BstUI sites were identified on the autoradiogram showing greater hybridization signal intensities of dots hybridized with probes prepared from the breast cancer cell lines than the same dots probed with the normal breast control.
Identification of hypermethylated CpG island loci by differential methylation hybridization. PCR products of CpG island clones were dotted onto membranes in duplicate and probed with the MseI-BstUI-pre-treated amplicons for the normal control and breast cancer cell lines as indicated. Probes were prepared as described in the text. Clones shown on the right (also marked by <) containing hypermethylated BstUI sites were identified on the autoradiogram showing greater hybridization signal intensities of dots hybridized with probes prepared from the breast cancer cell lines than the same dots probed with the normal breast control.
Methylation analysis of primary breast tumors by Southern hybridization
Antiquera et al. (7) have indicated previously that CpG islands associated with non-essential genes might become methylated over time in immortalized cells that have been in culture for many years. We, therefore, determined whether our in vitro findings could represent bona fide de novo methylation in primary breast tumors. Due to limited clinical materials, we were able to validate the methylation status of nine CpG island loci (HBC-6,-8,-9,-12,-15,-18,-20,-22 and-23) in primary breast tumors by Southern hybridization. As shown in Figure 8 (upper panel), HBC-18 was hypermethylated in the tumor DNA samples of patients 47, 135, 119, 129, 15, 31 and 65 relative to their paired normal breast tissue. Incomplete methylation of HBC-18 loci was detected in tumors of patients 11 and 137. In Figure 8 (lower panel), pre-xisting methylation of HBC-9 was observed in the normal breast tissue of these patients, consistent with the previous observation (Fig. 7). Hypermethylation of HBC-9 was observed in the tumor lanes of patients 47, 139, 145 and 65, showing increased band intensity of the 440 bp fragment relative to that of the same band in normal lanes. On preliminary observation, de novo methylation of two loci, HBC-16 and-26, was not present in two primary breast tumors (data not shown). More patient studies are ongoing to clarify further whether the methylated loci observed in the cell lines can be attributed to culture conditions.
Discussion
Unique features of DMH in the methylation analysis of breast cancer cells
In this study, we developed DMH enabling a comprehensive survey of the methylation status of many CpG island sequences in breast cancer cells. DMH adds to a growing number of scanning methods for searching hypermethylated genomic sequences in cancer (27–30). This approach has at least three unique features. First, a high-density, DNA array-based screening strategy was applied in DMH. This array-based technology has been used in differential screenings of thousands of cDNA sequences up-or down-regulated in complex biological systems (31,32). We adapted the concept and used a modified method to identify hypermethylated sequences in breast cancer cells by screening many PCR-amplified genomic fragments gridded on high-density arrays. Second, all the genomic fragments screened by DMH contained multiple methylation-sensitive BstUI sites. This allowed a more precise measurement of the frequencies and extent of methylation of the tested CpG island loci in the breast tumor genome. Aberrant methylation findings were confirmed independently by conventional Southern analysis. DMH is useful for a genome-wide screening of methylation in cancer and can be converted into a high-throughput analysis by implementing the aforementioned microarray technologies. Third, the genomic fragments were derived from a library specifically constructed to contain highly enriched CpG island sequences (22). As indicated earlier, many cloned fragments identified by DMH matched known expressed sequences. Therefore, DMH may lead to the identification of novel tumor suppressor genes down-regulated via methylation in cancer.
Representative results of methylation analysis by Southern hybridization. Genomic DNA (10 µg) from a normal breast tissue sample (lane 2) and breast cancer cell lines, T47D (lane 3), ZR-75–1 (lane 4), Hs578t (lane 5), MDA-MB-231 (lane 6), MDA-MB-468 (lane 7) and MCF-7 (lane 8), was treated consecutively with MseI and methylation-sensitive BstUI, and subjected to Southern hybridization. Lane 1, control DNA digested with Mse I only. The digests were hybridized with genomic fragments (200–300 bp) derived from CpG island clones shown on the right. Molecular weight markers (100 bp ladder; Promega) are shown on the left. The percentage methylation was calculated as the intensity of the methylation band relative to the combined intensities of all bands. The percentage of incomplete methylation was calculated similarly. The methylation score shown at the bottom of each lane was the sum total of the percentage of complete methylation multiplied by 1 plus the percentage of incomplete methylation multiplied by 0.5 (see detailed description in the text).
Representative results of methylation analysis by Southern hybridization. Genomic DNA (10 µg) from a normal breast tissue sample (lane 2) and breast cancer cell lines, T47D (lane 3), ZR-75–1 (lane 4), Hs578t (lane 5), MDA-MB-231 (lane 6), MDA-MB-468 (lane 7) and MCF-7 (lane 8), was treated consecutively with MseI and methylation-sensitive BstUI, and subjected to Southern hybridization. Lane 1, control DNA digested with Mse I only. The digests were hybridized with genomic fragments (200–300 bp) derived from CpG island clones shown on the right. Molecular weight markers (100 bp ladder; Promega) are shown on the left. The percentage methylation was calculated as the intensity of the methylation band relative to the combined intensities of all bands. The percentage of incomplete methylation was calculated similarly. The methylation score shown at the bottom of each lane was the sum total of the percentage of complete methylation multiplied by 1 plus the percentage of incomplete methylation multiplied by 0.5 (see detailed description in the text).
The arrays from one DMH experiment produced a visual profile of 276 CpG island loci and enabled us to compare methylation patterns among six breast cancer cell lines. Our DMH data indicated that the overall methylation levels varied among these breast cancer cell lines, ranging from 5 to 14% relative to a normal breast control. The levels of methylation might be more extensive since we could not account for any possible partial methylation condition in these cells. The methyla-tion status of a group of 30 CpG island loci identified by DMH was analyzed further by Southern hybridization. Pattern analysis of the results, as discussed in the following sections, revealed two characteristics associated with aberrant methylation in the breast cancer cell lines studied.
Differential susceptibility of CpG island loci to de novo methylation
Comparisons of methylation patterns among the cell lines and a normal control showed that the 30 CpG island loci might differ in their propensity for de novo methylation. We suggest that this inherent condition was influenced at least in part by a pre-existing methylation condition in local genomic sequences. As described earlier, loci HBC-3 to-15 seemed to be more susceptible to de novo methylation as compared with other loci (Fig. 7). Normal breast samples had detectable methylation in this group of CpG islands; methylation of these loci appeared to be extensive to complete in the cancer cell lines examined. In contrast, other loci without this pre-existing condition were less inclined to de novo methylation in breast cancer cells. This observation has led us to conclude that pre-existing methylation within a CpG island locus may promote subsequent de novo methylation in cancer cells. Definite proof of this condition may require a transfection study by introducing foreign DNA sequences containing some methylated sites into these cell lines and then determining whether the levels of methylation increase over time in the sequences. A lesser possibility is that the net methylation gains in loci showing the pre-existing condition could be due to deletion of one unmethylated allele, yielding a proportional increase in methylation of the other methylated allele. Future studies demonstrating retention of two alleles of markers close to these CpG island loci in these cancer cells should rule out the possibility. Nevertheless, our observation is supported by several previous in vitro findings, showing that the activity of DNA-MTase could be influenced positively by a partial pre-methylation condition (33–35). These studies found that single-or double-stranded synthetic polymers were poor substrates of the eukaryotic DNA-MTase, yet were methylated efficiently by the enzyme following the introduction of a small number of 5-methylcytosines by a prokaryotic methylase. Carotti et al. (35) showed that the presence of 5-methylcytosines in double-stranded DNA substrates, of either natural or synthetic origin, stimulated in vitro methylation of neighboring CpG dinucleotides by DNA-MTase. The extent of stimulation depended on both the number and the distributions of the 5-methylcytosine residues, which could not be spaced too closely to exert the effect. This phenomenon has also been observed in human fibroblast cells transfected with a DNA-MTase cDNA (13). CpG island loci that were subject to de novo methylation in the transfected clones overexpressing DNA-MTase had low but detectable levels of methylation in the parental lines. In contrast, CpG island loci found to be resistant to methylation in these transfected clones were devoid of methylation in the parental line.
Methylation pattern analysis of 30 CpG island loci in breast cancer cell lines. Gray scales shown on the right represent methylation scores of the 30 CpG island loci analyzed by Southern analysis (see examples in Fig. 6). The breast cancer cell lines indicated were arranged from left to right according to their increased methylation abilities (i.e. the percentage of hypermethylated loci). The normal control is shown on the far left. Thirty CpG island loci (HBC-3 to-32) are listed from top to bottom according to their increased methylation scores derived from these cell lines.
Methylation pattern analysis of 30 CpG island loci in breast cancer cell lines. Gray scales shown on the right represent methylation scores of the 30 CpG island loci analyzed by Southern analysis (see examples in Fig. 6). The breast cancer cell lines indicated were arranged from left to right according to their increased methylation abilities (i.e. the percentage of hypermethylated loci). The normal control is shown on the far left. Thirty CpG island loci (HBC-3 to-32) are listed from top to bottom according to their increased methylation scores derived from these cell lines.
The previously described methylation-spreading phenomenon can be applied to account for the extensive methylation in CpG island loci with the pre-existing condition (18). It has been suggested that during tumorigenesis, pre-existing methylated repetitive elements may act as de novo methylation centers (i.e. cis-acting signals) from which methylation spreads into adjacent CpG island sequences (18). Based on our observations, we suggest that methylation spread actually occurs from within a CpG island sequence in tumor cells. The existing 5-methyl-cytosine residues in the sequence may stimulate the de novo methylation function of DNA-MTase. Although DNA-MTase prefers hemimethylated substrates for its maintenance activity in normal cells, the enzyme may have a second regulatory domain ‘sensing’ the presence of 5-methylcytosines within CpG island sequences, allowing for de novo methylation (35). The ‘sensing’ function could become more operative due to aberrantly high DNA-MTase levels in tumor cells. This may in turn lead to de novo methylation of cytosines located near sequences already containing methylated CpG dinucleotides. The newly methylated sites may acquire the ability to stimulate the subsequent methylation of adjacent sequences via DNA-MTase. This ‘domino’ effect of methylation could progress with time to include the entire CpG island region, leading to the associated transcriptional silencing.
Methylation analysis of HBC-18 and-9 by Southern blot hybridization. Genomic DNA (10 µg) of breast tumor and the matching normal tissue was treated consecutively with MseI and methylation-sensitive BstUI and subjected to Southern hybridization using the cloned genomic fragments as probes. These CpG island clones (HBC-18 and-9) contained sequences identical to the 5′ end of PAX2 (paired box-containing gene 2) and the promoter and exon 1 of HPK1 (hematopoietic progenitor kinase gene 1), respectively. C, control DNA digested with MseI only; T, breast tumor; N, normal breast tissue. Patient numbers are shown at the top of the lanes. Molecular weight markers (100 bp ladder; Promega) are shown on the right.
Methylation analysis of HBC-18 and-9 by Southern blot hybridization. Genomic DNA (10 µg) of breast tumor and the matching normal tissue was treated consecutively with MseI and methylation-sensitive BstUI and subjected to Southern hybridization using the cloned genomic fragments as probes. These CpG island clones (HBC-18 and-9) contained sequences identical to the 5′ end of PAX2 (paired box-containing gene 2) and the promoter and exon 1 of HPK1 (hematopoietic progenitor kinase gene 1), respectively. C, control DNA digested with MseI only; T, breast tumor; N, normal breast tissue. Patient numbers are shown at the top of the lanes. Molecular weight markers (100 bp ladder; Promega) are shown on the right.
Differential methylation abilities in breast cancer cell lines
The second characteristic of our findings was that these breast cancer cell lines exhibited differential methylation potentials. Again, when we took into consideration the two extreme cases, Hs578t and MCF-7 cells, the former showed a lack of ability to methylate the CpG island group (HBC-16 to-32) without the pre-existing condition described above, whereas the latter was proficient in methylating these CpG island loci. We argue that the observed differences among these cell lines could not be due solely to the aberrant DNA-MTase action. The degrees of methylation appeared not to be correlated with the increased levels of DNMT1 expression or with the decreased levels of p21WAF1 expression observed in these cells (Fig 1 and Fig 7). Currently, we have not ruled out mutations of the DNMT1 gene in the cell lines, which could result in changes of its substrate specificity without altering the expression levels. We suggest that additional cellular factors may govern CpG island hypermethyla-tion. One possibility may be an as yet unidentified or uncharacter-ized gene encoding a de novo methylase (4,5). Another possibility is that the various degrees of de novo methylation observed in these cancer cells might simply result from fixation of a hypermethylator phenotype that affords a greater proliferation potential. Finally, it is tempting to speculate that the differential methylation abilities could be related to deficiencies in DNA repair in these cell lines. Evidence is accruing to suggest a link between mismatch repair defects and an increased methylation capacity in colon cancer cells (36,37). Moreover, Holliday and Ho (38) showed that Chinese hamster cell strains exhibiting low 5-methyl-dCMP deaminase activities had higher frequencies of methylation-associated gene silencing. De novo methylation could occur in these mutant cell strains due to the inability to convert 5-methyl-dCMP to dTMP, resulting in the eventual conversion of 5-methyl-dCMP to 5-methyl-dCTP and its erroneous incorporation into DNA. Our future studies will explore these possibilities.
In summary, we have proven that DMH is useful for studying methylation alterations in cancer and should have a wide-ranging application for surveying changes of methylation patterns during cell differentiation and development. Our data provide evidence that, aside from the aberrant DNA-MTase action, additional factors may exist that govern de novo methylation in these breast cancer cell lines. These results offer an alternative explanation for the underlying mechanisms in direct contrast to the random nature of the de novo DNA methylase activities previously proposed in transformed cells (11).
Materials and Methods
Cell culture and tissue sample preparations
The T47D, ZR-75–1, Hs578t and MDA-MB-468 breast cancer cell lines were acquired from the American Type Culture Collection (Rockville, MD). The MDA-MB-231 and MCF-7 cell lines were obtained from Dr Wade V. Welshons at the University of Missouri School of Veterinary Medicine (Columbia, MO). T47D and ZR-75–1 were maintained in RPMI 1640 media with 10% fetal bovine serum (FBS), while the remaining cell lines were maintained in Earle's modified Eagle's medium with 10% FBS. Breast tumor and adjacent, non-neoplastic tissue (used as a normal control) were obtained from patients undergoing mastectomies at the Ellis Fischel Cancer Center (Columbia, MO). The patient study has been approved by the institutional review board of the University of Missouri-Columbia School of Medicine. Total RNA and genomic DNA from samples were isolated using the RNeasy Total RNA kit (Qiagen, Valencia, CA) and QIAamp Tissue kit, respectively.
Northern hybridization
Twenty micrograms of total RNA from breast cancer cell lines and a normal control fibroblast sample were electrophoresed on a 1.4% agarose gel in the presence of 2.2 mM formaldehyde and transferred to a nylon membrane. cDNA probes were prepared from cells known to express DNMT1 and p21WAF1 by RT-PCR. A 192 bp product was generated for DNMT1 using primers 5′-ATC TAG CTG CCA AAC GGA G (sense strand) and 5′-CAC TGA ATG CAC TTG GGA GG (antisense strand). A 206 bp product was generated for p21WAF1 using primers 5′-AAC TAG GCG GTT GAA TGA GAG GTT (sense strand) and 5′-GTG ACA GCG ATG GGA AGG AG 2antisense strand). The resulting PCR products were isolated and 32P labeled using the Multiprime DNA labeling system (Amersham, Arlington Heights, IL). The northern membrane was hybridized with radiolabeled DNMT1 and p21WAF1 cDNA probes, respectively. Hybridization was performed in 8 ml of Hybrisol I (Oncor, Gaithersburg, MD) at 42°C overnight. Washing was performed once for 20 min in 0.1% SDS-0.5× SSC (1×SSC is 0.15 M NaCl plus 0.015 M sodium citrate, pH 7.0) and twice for 20 min each in 0.1% SDS-0.2×SSC at 65°C. The same membrane was also hybridized with a 32P-labeled β-actin cDNA (1.1 kb) probe to determine the amount of RNA loaded. The hybridized membrane was subjected to phosphorimage analysis with a Molecular Dynamics (Sunnyvale, CA) PhosphorImager, and band intensities were quantified with ImageQuant Software (Molecular Dynamics). The levels of DNMT1 and p21WAF1 mRNAs were normalized with the level of β-actin mRNA in the respective sample lanes.
Amplicon generation
Approximately 2 µg of genomic DNA from breast cancer cell lines or normal breast tissue were restricted to completion with 10 U of MseI per µg of DNA following the conditions recommended by the supplier (New England Biolabs, Beverly, MA). The digests were purified and mixed with 0.5 nmol of unphos-phorylated linkers H-24 and H-12 in a DNA ligase buffer (New England Biolabs). The oligonucleotide sequences were H-24, 5′-AGG CAA CTG TGC TAT CCG AGG GAT, and H-12, 5′-TAA TCC CTC GGA (39). Oligonucleotides were annealed by cooling the mixture gradually from 50 to 25°C and then ligated to the cleaved ends of the DNA fragments by incubation with 400 U of T4 DNA ligase (New England Biolabs) at 16°C. Repetitive DNA sequences were depleted from the ligated DNA using a subtraction hybridization protocol described by Craig et al. (25). Briefly, human Cot-1 DNA (20 µg; Gibco BRL, Gaithersburg, MD) containing enriched repetitive sequences was biotin labeled using the Nick Translation kit (Gibco BRL) and added to the treated genomic DNA. The DNA mixture was purified and dried under vacuum. The dried mixture was redissolved in 10 µl of 6×SSC and 0.1% SDS, denatured by boiling for 10 min, and hybridized at 65°C overnight. One hundred µl (1 mg) of streptavidin-magnetic particles were added to the hybridization mixture and incubated at room temperature for 30 min. Streptavidin-magnetic particles were prepared according to the manufacturer's instructions (Boehringer Mannheim, Indianapolis, IN). Tubes were applied to a magnetic particle separator (Boehringer Mannheim) and the supernatant was aspirated. This supernatant was incubated again at room temperature for 30 min with freshly prepared streptavidin-magnetic particle solution. After the incubation, the second supernatant was removed and DNA was purified using a QIAquick kit (Qiagen). Half of the resulting DNA was digested with the methylation-sensitive endonuclease BstUI (New England Biolabs) following the conditions recommended by the supplier. PCR reactions were performed with the pre-treated DNAs (MseI or MseI-BstUI) (500 ng) in a 100 µl volume, containing 0.4 µM T-24 primer, 2 U of Deep Vent (exo-) DNA polymerase (New England Biolabs), 5% (v/v) dimethyl sulfoxide and 200 µM dNTPs in a buffer provided by the supplier. The tubes were incubated for 3 min at 72°C to fill in 5′-protruding ends of ligated linkers and subjected to 15 cycles of amplification consisting of 1 min denaturation at 95°C and 3 min annealing and extension at 72°C in a PTC-100 thermocycler (MJ Research, Watertown, MA). The final extension was lengthened to 10 min. The use of low amplification cycles is essential to prevent overabundance of leftover repetitive sequences generated by PCR. The amplified products, designated as ‘MseI-pre-treated amplicons’ or ‘MseI-BstUI-pre-treated amplicons’, were purified using the QIAquick kit, and 50 ng of the DNA were 32P labeled using the random primer labeling system described earlier.
Differential methylation hybridization
Approximately 3000 clones derived from the CGI genomic library were pre-screened with 32P-labeled Cot-1 DNA. Clones negative or weakly positive for the Cot-1 hybridization signals were picked and placed into 96-well PCR microplates. A fraction of each colony was transferred to a well of separate 96-well culture chambers for later use. The insert from each clone was amplified in a total volume of 20 µl per tube following the conditions described earlier. Thirty cycles of amplification were performed, with denaturing for 1 min at 94°C, annealing for 1 min at 55°C and extension for 3 min at 72°C. The primers used for amplification were HGMP 3558, 5′-CGG CCG CCT GCA GGT CTG ACC TTA A, and HGMP 3559, 5′-AAC GCG TTG GGA GCT CTC CCT TAA (22). After PCR, 1 µl of the amplified products was digested with the methylation-sensitive BstUI, and the digests were size fractionated on 1% agarose gels. Inserts (0.2–1.5 kb) of the tested CGI clones containing multiple BstUI sites (based on the digestion patterns) were selected for further analysis. The remaining DNA was denatured at 95°C for 5 min, 2 µl of tracking dye (bromophenol blue) was added to each tube and the DNA was transferred to nylon membranes using a 96-pin MULTI-PRINT replicator (V&P Scientific, San Diego, CA). Each PCR sample was dotted in duplicate, and the position of each dot in the array was marked by the tracking dye. Each pin transfers an ∼0.4 µl hanging drop (∼40 ng of DNA) onto a membrane. An alignment device (LIBRARY COPIER; V&P Scientific) was used in conjunction with the replicator to convert three 96-well PCR samples in duplicate into one recipient of 276 dots on a 10 × 12 cm nylon membrane. Additionally, three positive controls were dotted in quadruplicate on the corners (the top and bottom three rows of the first and last columns) of the array to serve as orientation marks and for normalization of hybridization signal intensities of dotted genomic fragments. Membranes were first hybridized with 32P-labeled MseI-pre-treated amplicons overnight at 65°C in 10 ml of High Efficiency Hybridization solution (Molecular Research, Cincinnati, OH). Washing was performed once for 20 min in 0.1% SDS-0.5×SSC and twice for 20 min each in 0.1% SDS-0.2×SSC at 65–75°C. Autoradiography and analysis were completed using the Molecular Dynamics PhosphorImager and the ImageQuant Software as described earlier. Probes were stripped completely, and the same membranes were rehybridized with 32P-labeled MseI-BstUI-pre-treated amplicons. Each hybridization experiment was performed twice independently using duplicate membranes.
DNA sequencing
Plasmid DNA was prepared from positive CGI clones and sequenced using the DyeDeoxy Terminator Cycle Sequencing kit and the automated ABI PRISM 377 sequencer. The nucleotide sequence data were compared with GenBank using the BLAST program (40).
Methylation analysis by Southern hybridization
Genomic DNA (10 µg) from breast cancer cell lines or breast specimens was digested to completion with MseI or MseI-BstUI. The restriction products were separated on 1.0% agarose gels and transferred to nylon membranes. Portions of CGI clone inserts were PCR amplified as probes for Southern hybridization. Amplified products were designed to be ∼200–300 bp in length and contain no BstUI sites. Hybridization was conducted in 8–10 ml of High Efficiency Hybridization solution overnight at 65–70°C. Post-hybridization washing was carried out as described above. Southern blots were subjected to phosphorimage analysis, and band intensities were quantified with the Image-Quant software.
Acknowledgements
The authors wish to thank Drs Dennis B. Lubahn and James K. Schwarz for their helpful comments in the preparation of this manuscript and colleagues from the UK Genome Mapping Project Centre for providing the CGI genomic library. The authors also thank Dr Charles W. Caldwell for his help in computer graphic work. This work was supported by National Cancer Institute grant CA-69065 (T.H.-M.H.) and by US Army Medical Research Command grant DAMD17–98–1–8214 (T.H.-M.H.).









