- Split View
-
Views
-
CiteCitation
H.-F. Chen, H.-C. Kuo, C.-L. Chien, C.-T. Shun, Y.-L. Yao, P.-L. Ip, C.-Y. Chuang, C.-C. Wang, Y.-S. Yang, H-N. Ho; Derivation, characterization and differentiation of human embryonic stem cells: comparing serum-containing versus serum-free media and evidence of germ cell differentiation, Human Reproduction, Volume 22, Issue 2, 1 February 2007, Pages 567–577, https://doi.org/10.1093/humrep/del412
Download citation file:
© 2018 Oxford University Press
Close -
Share
Abstract
BACKGROUND: This study was designed to establish human embryonic stem cell (hESC) lines, to identify the differences when maintained in serum-containing versus serum-free medium and to test their potential of in vitro differentiation. METHODS: Procedures including immunosurgery were performed on 11 donated human blastocysts to establish hESC lines. The cell lines were characterized and maintained using either serum-free or serum-containing media to compare their morphology, Oct-4 expression, apoptosis and growth speed. Differentiation of these lines was evaluated by the morphology and the expression of genes belonging to the three embryonic germ layers and the germ cell lineage. RESULTS: Three hESC lines were established, and they grew at similar speed in both media (serum-containing or serum-free), but hESC cultured in serum-containing medium yielded significantly higher percentages of morphologically good colonies and cells expressing Oct-4. These cell lines differentiated spontaneously in vitro into cells expressing markers belonging to all three embryonic germ layers and germ cell markers, including c-Kit, STELLA, VASA and growth differentiation factor 9 (GDF9), in directly adherent culture. CONCLUSIONS: Three hESC lines with Taiwanese ancestry have been established, and they retain the in vitro differentiation potential with or without embryoid body (EB) formation. The data support that hESC may be capable of differentiation into germ cells although further confirmation is needed. It is also suggested that strategies such as stepwise adaptation will be needed before implementing a serum-free culture condition for hESC lines that have previously been derived in a medium containing serum.
Introduction
Embryonic stem cells (ESC) are pluripotent cells that are capable of self-renewal and differentiation into all three embryonic germ layers. Recently, human ESC (hESC) lines have been established, and these cell lines potentially will provide a rich source of human cells or tissues for stem cell-based transplantation therapy. Up to now, many hESC lines have been derived worldwide, but only a few were well characterized. In addition, no report concerning the establishment of hESC lines from Taiwanese ancestry has been published. Because each hESC line differs from each other (Heins et al., 2004; Rao and Zandstra, 2005), more cell lines, especially those from different ancestries, will need to be established for future research and clinical purposes. For example, to study an ethnically specific or sensitive disease like hepatitis B in Taiwan, several cell lines obtained from this ethnic group will be extremely helpful.
Derivation and maintenance of hESC lines are usually carried out in Dulbecco’s modified Eagle’s medium (DMEM) (Thomson et al., 1998; Reubinoff et al., 2000) or knockout DMEM (KO-DMEM) (Cowan et al., 2004) with fetal bovine serum (FBS) or serum replacement [SR, including knockout serum replacement (KSR)] as the supplement. In most methods, trace but important chemicals, including insulin–transferrin–selenium (ITS) and basic fibroblast growth factor (bFGF), are also added in varied concentrations. By using either of the combinations above with or without feeder cells from mouse (Thomson et al., 1998; Reubinoff et al., 2000) or human origins (Inzunza et al., 2005), most investigators reported satisfactory maintenance of hESC in an undifferentiated state (Thomson et al., 1998; Reubinoff et al., 2000; Heins et al., 2004; Inzunza et al., 2005). However, it is possible that the efficiencies varied in these different media. Up to now, comparisons between different feeders have been reported (Amit et al., 2003; Hovatta et al., 2003; Richards et al., 2003). However, there is only a rare report dealing with the direct comparison between serum-free and serum-containing media in maintaining the undifferentiated state of hESC, although serum-free culture has been shown to increase cardiomyocyte differentiation (Passier et al., 2005). In addition, hESC cultured in serum-free conditions using SR displayed a differential gene expression signature which correlated with enhanced and prolonged growth in an undifferentiated stage (Skottman et al., 2006). Because the modern trend of maintaining hESC lines includes the use of SR, this study was also designed to examine the difference between a homemade FBS-containing medium and a commercially available medium using KO-DMEM and KSR (VitroHES medium; VitroLife, Sweden). We will detail the derivation of hESC lines with Taiwanese ancestry and compare the differences of their maintenance using these media.
The differentiation of ESC to germ cells is an integral part of developmental biology, in which the regulation of differentiation is not entirely known. Because derivation of germ cells from hESC is potentially advantageous in treating diseases such as infertility, recurrent abortion and for the purpose of acting as a cytoplasmic donor for therapeutic nuclear transfer, it is justified to identify the potential of hESC for germ cell differentiation. Recently, there have been several independent groups which generated germ cells in vitro from mouse ESC (Hubner et al., 2003; Toyooka et al., 2003; Geijsen et al., 2004; Lacham-Kaplan et al., 2006). A recent report also provided preliminary evidences that hESC may differentiate into embryoid body (EB) in vitro, which results in the formation of cells expressing germ cell markers (Clark et al., 2004). These reports need to be reproduced, and it is also informative to identify whether this differentiation character exists in other hESC lines. This study will also investigate this issue.
Materials and methods
Culture medium and feeder cells
Three culture media were used for hESC line derivation (medium 1) and maintenance (media 2 and 3): (i) medium 1: DMEM (high glucose 4500 mg/l, without pyruvate) supplemented with 0.1 mM 2-mercaptoethanol, 2 mM glutamine and 20% FBS (Hyclone defined), 1% non-essential amino acid, 1% ITS (Gibco), 100 U/ml penicillin, 50 mg/ml streptomycin and 2000 IU/ml human leukaemia inhibitory factor (hLIF; Chemicon, Temecula, CA, USA); (ii) medium 2 (ES-M medium): the same as medium 1, except that 10 ng/ml bFGF (R&D Systems Inc.) is supplemented and hLIF is omitted and (iii) medium 3 (VitroHES medium): VitroHES medium (VitroLife; basic components include KO-DMEM and KSR) plus 5 ng/ml bFGF. For in vitro differentiation of established hESC lines, medium 1 without hLIF was used.
Mitomycin C-treated (Sigma) (10 µg/ml, treated for 2.5 h) low-passage (<6 passages) primary murine embryonic fibroblasts (PMEF, ICR-strain mice) were used as feeder cells to support the inner cell mass (ICM) and hESC growth. PMEF cells were cultured in T75 culture flask (BD Falcon) until they reached confluence, when they were either split in 1:3 ratio or treated with mitomycin C for plating in culture dishes. For derivation of hESC lines, 175 000 PMEF cells (∼60 000 cells/cm2) were placed in each organ culture dish (BD Falcon) 1 day before use. For maintenance of hESC lines, ∼83 000 PMEF cells (a half of the original, 30 000 cells/cm2) were used for each organ culture dish. Fresh culture medium was replaced the next morning at least 1 h before use for culturing ICM or hESC.
Derivation of hESC lines
Frozen human embryos were donated from patients previously undergoing IVF. Detailed consultation was done, and informed consents were obtained before the use of these embryos. This study followed the guidelines for the use of human embryos published by the Department of Health of Taiwan in 2002. The Ethical Committee of the National Taiwan University Hospital had also reviewed and approved this study in 2002. After the above processes, donated human embryos were thawed and cultured until the blastocyst stage in the IVF laboratory of National Taiwan University Hospital, when the blastocysts were sent to the stem cell laboratory.
Derivation of hESC lines was carried out following the principles described previously (Thomson et al., 1998; Amit et al., 2000; Reubinoff et al., 2000; Rao and Zandstra, 2005) but with some modifications. Briefly, 2-pronuclear-stage or 4- to 8-cell-stage human embryos were thawed and cultured using sequential media (MediCult Blastocyst Medium; MediCult, Denmark) until presumed days 5–6 after insemination or intracytoplasmic sperm injection, when expanded blastocysts were graded and selected using a published grading system (Gardner et al., 2000). Blastocysts with good morphology were first subjected to 0.5% proteinase (Sigma) for 1–4 min to remove the zona pellucida. After incubation for 30 min in medium 1, the blastocyst was subjected to immunosurgery according to previous protocols (Thomson et al., 1998; Reubinoff et al., 2000). Immune serum was obtained from rabbits immunized with BeWo cells (a human choriocarcinoma cell line) or purchased commercially (rabbit anti-human whole serum; Sigma). Briefly, the blastocyst was exposed to 1:3–1:20 dilution of rabbit anti-human antiserum for 30 min, washed three times in medium 1 and exposed to guinea pig complement (1:8–1:50 dilution; Sigma) for 10–15 min. And then, the blastocyst was pipetted several times in medium 1 to remove the dead trophectoderm cells, and the ICM was plated onto feeder cells in an organ culture dish. The culture dish was left uninterrupted in a humidified incubator at 37°C in 5.5% CO2 for ∼48 h, when first medium change was performed. Viable ICM usually adhered to the feeder layer in <48 h. Subsequently, the medium was changed, and the cells were observed on a daily basis. After 7–12 days, expanded undifferentiating-looking ICM cells were mechanically separated from the differentiated cell outgrowth using a 30-gauge insulin needle under stereomicroscope, treated with 10 mg/ml dispase (Sigma), collected with a yellow tip attached to a pipettor and replaced on a fresh PMEF feeder layer. After another 7–14 days, the resulting hESC-like colonies were transferred in cut pieces into fresh feeder layers with medium 2 (ES-M medium). The culture medium was changed, and the morphology and size of the colonies were observed and recorded daily. A best hESC colony was characterized by normal growth speed, thick and multi-layered, well-defined margins (either circular or angular but sharp), homogeneous cell populations and high percentage of transferable (splittable) area. Under phase contrast microscope, the morphology of the hESC colonies was scored as good (normal growth rate and 3/4 or more of the colony was transferable at day 7), fair (normal growth rate and 1/4–3/4 of the colony was transferable at day 7) and poor (<1/4 of the colony was transferable). Initially, a score of ‘excellent’ (normal growth rate and a 90–100% transferable area) was also used, but it was later omitted for practical reasons. However, the 4-grade (excellent, good, fair and poor) scoring system was resumed recently in this laboratory. The hESC colonies were transferred routinely at a 7-day interval when they usually reached a size of 1.5–2.5 mm in mean diameter. In addition to the mechanical transfer method, enzymatic methods using either trypsin or collagenase type IV (Gibco) were used for hESC expansion according to protocols described in previous reports (Cowan et al., 2004; Oh et al., 2005). Early passages of hESC were also cryopreserved and thawed periodically to test the capability of these cell lines to grow after freezing and thawing. For this purpose, vitrification method using ethylene glycol (20%), dimethylsulphoxide (20%) and 1 M sucrose as cryoprotectants was used according to a previous report (Reubinoff et al., 2001).
Comparison of growth rate and morphology in ES-M versus VitroHES media
During subsequent transfer, hESC colony pieces were randomly put into culture dishes using either ES-M medium or VitroHES medium. The type of medium was not changed in each group in subsequent passages. From each group (ES-M or VitroHES), all colonies in randomly selected dishes were evaluated for daily growth rate and the morphological changes and scored in detail by two researchers. During the examination, two researchers worked together, and the observer avoided knowing the type of medium used in a specific dish. In addition to the morphological criteria described above, the colony size was obtained by measuring the largest diameters in two perpendicular directions of the colony, obtaining the mean value and calculating the area. The growth rate of the colony was calculated by the increase of colony size in each 24-h interval from day 2 through day 7 (day 0 is the day of passage, and day 7 is the day of next passage). The thickness of each colony was subjectively evaluated by adjusting the fine adjustment knob on the microscope to identify the upper and lower margins of the colony. The relative thickness was then measured by the level of this adjustment, and the thickness was scored by using a 2-grade scoring system (thick or thin).
For the purpose of a more objective comparison between the growth rates of hESC cultured in both media, the hESC colonies were periodically harvested mechanically on days 4 through 7 after passage, trypsinized into single cell suspension and counted using a hematocytometer after trypan blue stain. The average cell number in one colony was calculated. In addition, the apoptosis status and the expression of Oct-4 in hESC cultured in both media were compared using flow cytometric analysis. Briefly, hESC colonies grown in both media were treated with 0.5 mM EDTA (Sigma) in phosphate-buffered saline (PBS) and dissociated into single cells for subsequent analysis. Then single cells were incubated with antibody against Oct-4 (Santa Cruz) for 30 min at 4°C after blocking with heat-inactivated rabbit serum for 15 min at 4°C. After three brief washes in staining buffer [2% heat-inactivated rabbit serum in Ca2+ Mg2+-free PBS (Sigma)], the cell samples were incubated with secondary antibody Alexa Fluors 488 for 40 min at 25°C. As a negative control, cells were stained with the appropriate isotype-matched control. Non-viable cells were identified by staining the re-suspended cells in staining buffer containing 1 µg/ml of propidium iodide (PI) (Sigma). Flow cytometric analysis was performed using a FACSCalibur Flow Cytometer (Becton Dickinson). Acquired data were analysed using CELLQuest software (Becton Dickinson). In addition, detection of cells undergoing apoptosis was performed with the Annexin V-FITC Apoptosis Kit I (Becton Dickinson) according to the manufacturer’s protocol. In brief, hESCs harvested from both media were treated with 0.5 mM EDTA (Sigma) in PBS and dissociated into single cells for subsequent analysis. Cells were then washed twice with cold PBS and then re-suspended in 1× binding buffer (10 mM HEPES/NaOH, 140 mM NaCl and 2.5 mM CaCl2) at a concentration of 1 × 106 cells/ml. Cells, 1 × 105, were then transferred into 5-ml tube and incubated with 5 µl of annexin V-FITC and 5 µl of PI for 15 min at room temperature in the dark. After adding 400 µl of 1× binding buffer to each tube, cells were subjected to flow cytometric analysis immediately as described previously.
Characterization and differentiation of hESC lines
The hESC lines were characterized by immunocytochemical methods using fluorescence-labelled antibodies against markers of undifferentiated hESC. These include SSEA-3, SSEA-4, SSEA-1, TRA-1-60, TRA-1-81 and Oct-4 (ES Cell Characterization Kit; Chemicon). Initially, hESCs were cultured on chamber slides (Nunc, Denmark) or sterile cover glasses (Assistent, Germany) in culture dishes with feeder cells. At designated time points (days 3–7 after passage), the hESC colonies on chamber slides or cover glasses were processed according to the immunofluorescence staining protocol provided by the manufacturer (Chemicon). Briefly, the hESCs were fixed with 4% paraformaldehyde and then went through many procedures, including permeabilization (0.1% Triton X-100), blocking (4% normal goat serum), treatment with primary antibody (1:10–1:50 dilution) for 1 h at room temperature, three times of wash, treatment with fluorescent-labelled secondary antibody for 1 h at room temperature, three times of wash, covered with a coverslip and mounted with antifade mounting solution. Alkaline phosphatase (AP) staining was checked using the same kit (ES Cell Characterization Kit; Chemicon).
For in vitro differentiation, early-passage (passages 7–20) hESC colony pieces were cultured directly on gelatin-treated chamber slides (Nunc) or 35-mm culture dishes (Falcon) in medium 1 without LIF, bFGF or feeder cells for 7–35 days. The differentiation of these cells was recorded, and media were changed every 2 days. At presumptive points (cultures on the 7th, 14th, 21st, 28th and 35th day), the cells or structures were fixed in 4% paraformaldehyde (cells on chamber slides) or removed and fixed with formalin and paraffin embedded (cells from 35-mm culture dishes) for subsequent characterization procedures described below. For comparison, some of the hESC clumps were also cultured in suspension for 5 days using low attachment plates to observe their ability in producing EB. The resultant solid or cystic EB was then plated on gelatin-treated chamber slides or 35-mm culture dishes for further differentiation and subsequently treated similarly with those cells grown directly in adherent culture. After fixation, the differentiated hESCs were examined by immunocytochemistry using fluorescence-labelled antibodies for markers belonging to three embryonic germ layers. These include nestin, desmin and α-fetal protein (AFP) (Chemicon). Markers for germ cell lineage were also checked using antibodies against c-Kit (a pre-meiotic germ cell marker frequently expressed in migratory germ cells; Chemicon) and VASA (a specific marker for post-migratory germ cells after they reside in gonadal ridge; R&D Systems Inc.). In vivo differentiation potential of these hESC lines was checked by injecting clumps of undifferentiated hESC (∼50 000 cells) s.c. into the back of severe combined immunodeficient (SCID) mice. Tumour formation was observed weekly until it reached a size of ∼2 cm. The tumour was either fixed with formalin and paraffin embedded or OCT embedded and sent for pathological examination.
The karyotypes of these cell lines were examined at passage 10. At day 7 after passage, hESCs were treated with 0.1 µg/ml colcemid (Gibco) for 4 h. After washing, the cells were treated with either 0.25% trypsin for 3–5 min or collagenase type IV for 8 min, pipetted and harvested. Cells were then fixed and mounted on glass slides. The metaphases were analysed using the standard G-banding technique in a qualified cytogenetic laboratory.
RT–PCR
At pre-set points of time, undifferentiated hESCs or differentiated hESCs cultured in 35-mm culture dishes were removed mechanically and treated with RLT lysis buffer (Qiagen). Total RNA was isolated from the hESC using a RNAeasy extraction kit (Qiagen). To eliminate contaminating genomic DNA, 1 µg of total RNA was treated with DNase I (1 unit, Invitrogen) for 15 min at 25°C, and then DNase I was inactivated with 25 mM EDTA (pH 8.0; Invitrogen) at 65°C for 10 min. RT and first strand cDNA synthesis were carried out using SuperScript III One-Step RT–PCR kit (Invitrogen) according to the manufacturer’s instructions. The first strand cDNA was further amplified by PCR using individual primer pairs for specific marker genes. The sequence, annealing temperature and product size of each pair of primers are listed in Table I. All PCR samples were analysed by electrophoresis on 2% agarose gel, containing 0.5 µg/ml ethidium bromide (Sigma).
PCR primers used for human embryonic stem cell (hESC) characterization before and after differentiation
| Gene | Sense (5′-3′) | Antisense (5′-3′) | Annealing temperature (°C) | Product size (bp) |
|---|---|---|---|---|
| Nanog | AGTCCCAAAGGCAAACAACCCACTTC | TGCTGGAGGCTGAGGTATTTCTGTCTC | 55 | 164 |
| Oct-3/4 | CTTGCTGCAGAAGTGGGTGGAGGAA | CTGCAGTGTGGGTTTCGGGCA | 55 | 171 |
| TERT | AGCTATGCCCGGACCTCCAT | GCCTGCAGCAGGAGGATCTT | 55 | 185 |
| Dppa5 | ATGGGAACTCTCCCGGCACG | TCACTTCATCCAAGGGCCTA | 60 | 353 |
| Rex-1(a) | GCGTACGCAAATTAAAGTCCAGA | CAGCATCCTAAACAGCTCGCAGAAT | 55 | 306 |
| FoxD3 | CACCAGCAGCCCCTGACATT | GTGATGAGCGCGATGTACGA | 55 | 230 |
| SOX2 | CCCCCGGCGGCAATAGCA | TCGGCGCCGGGGAGATACAT | 55 | 448 |
| β-Actin | CACCTTCTACAATGAGCTGCG | TGCTTGCTGATCCACATCTGC | 55 | 838 |
| VASA | TCCAGCAGCCTTCTTACTCG | TCTTCACAAGCTCCCAATCC | 60 | 164 |
| STELLA | GTTACTGGGCGGAGTTCGTA | TGAAGTGGCTTGGTGTCTTG | 55 | 174 |
| GDF9 | TAGTCAGCTGAAGTGGGACA | ACGACAGGTGCACTTTGTAG | 55 | 278 |
| AFP | AAATACATCCAGGAGAGCCA | CTGAGCTTGGCACAGATCCT | 55 | 415 |
| GATA4 | CTACAGGGGCACTTAACCCA | AGAGCTGAATCGCTCAGAGC | 60 | 157 |
| Insulin | AGCCTTTGTGAACCAACACC | GCTGGTAGAGGGAGCAGATG | 60 | 245 |
| HNF-4A | CCCAGCCCCCTAAGAGAGCAC | GGATGAAGGTGAAGGTGAAGG | 55 | 245 |
| Hand1 | TGCCTGAGAAAGAGAACCAG | ATGGCAGGATGAACAAACAC | 55 | 273 |
| CTnI | TCCTCCAACTACCGCGCTTA | CTTCATCCACCTTGTCCACA | 55 | 262 |
| GATA6 | CCTCACTCCACTCGTGTCTGC | GTCCTGGCTTCTGGAAGTGG | 55 | 225 |
| HBZ | GACGCGGTGAAGAGCATCGA | GCTCAGCGGTACTTCTCGGT | 55 | 227 |
| Sox1 | TGTAATCACTTTAACGAATGAGTGG | AGTTTAATGAGAACCGAATTCAGC | 60 | 133 |
| MAP2 | GCATGAGCTCTTGGCAGG | CCAATTGAACCCATGTAAAGCC | 55 | 192 |
| GFAP | AGGGCTGACACGTCCAC | GCCTTAGAGGGGAGAGGAG | 60 | 132 |
| Gene | Sense (5′-3′) | Antisense (5′-3′) | Annealing temperature (°C) | Product size (bp) |
|---|---|---|---|---|
| Nanog | AGTCCCAAAGGCAAACAACCCACTTC | TGCTGGAGGCTGAGGTATTTCTGTCTC | 55 | 164 |
| Oct-3/4 | CTTGCTGCAGAAGTGGGTGGAGGAA | CTGCAGTGTGGGTTTCGGGCA | 55 | 171 |
| TERT | AGCTATGCCCGGACCTCCAT | GCCTGCAGCAGGAGGATCTT | 55 | 185 |
| Dppa5 | ATGGGAACTCTCCCGGCACG | TCACTTCATCCAAGGGCCTA | 60 | 353 |
| Rex-1(a) | GCGTACGCAAATTAAAGTCCAGA | CAGCATCCTAAACAGCTCGCAGAAT | 55 | 306 |
| FoxD3 | CACCAGCAGCCCCTGACATT | GTGATGAGCGCGATGTACGA | 55 | 230 |
| SOX2 | CCCCCGGCGGCAATAGCA | TCGGCGCCGGGGAGATACAT | 55 | 448 |
| β-Actin | CACCTTCTACAATGAGCTGCG | TGCTTGCTGATCCACATCTGC | 55 | 838 |
| VASA | TCCAGCAGCCTTCTTACTCG | TCTTCACAAGCTCCCAATCC | 60 | 164 |
| STELLA | GTTACTGGGCGGAGTTCGTA | TGAAGTGGCTTGGTGTCTTG | 55 | 174 |
| GDF9 | TAGTCAGCTGAAGTGGGACA | ACGACAGGTGCACTTTGTAG | 55 | 278 |
| AFP | AAATACATCCAGGAGAGCCA | CTGAGCTTGGCACAGATCCT | 55 | 415 |
| GATA4 | CTACAGGGGCACTTAACCCA | AGAGCTGAATCGCTCAGAGC | 60 | 157 |
| Insulin | AGCCTTTGTGAACCAACACC | GCTGGTAGAGGGAGCAGATG | 60 | 245 |
| HNF-4A | CCCAGCCCCCTAAGAGAGCAC | GGATGAAGGTGAAGGTGAAGG | 55 | 245 |
| Hand1 | TGCCTGAGAAAGAGAACCAG | ATGGCAGGATGAACAAACAC | 55 | 273 |
| CTnI | TCCTCCAACTACCGCGCTTA | CTTCATCCACCTTGTCCACA | 55 | 262 |
| GATA6 | CCTCACTCCACTCGTGTCTGC | GTCCTGGCTTCTGGAAGTGG | 55 | 225 |
| HBZ | GACGCGGTGAAGAGCATCGA | GCTCAGCGGTACTTCTCGGT | 55 | 227 |
| Sox1 | TGTAATCACTTTAACGAATGAGTGG | AGTTTAATGAGAACCGAATTCAGC | 60 | 133 |
| MAP2 | GCATGAGCTCTTGGCAGG | CCAATTGAACCCATGTAAAGCC | 55 | 192 |
| GFAP | AGGGCTGACACGTCCAC | GCCTTAGAGGGGAGAGGAG | 60 | 132 |
PCR primers used for human embryonic stem cell (hESC) characterization before and after differentiation
| Gene | Sense (5′-3′) | Antisense (5′-3′) | Annealing temperature (°C) | Product size (bp) |
|---|---|---|---|---|
| Nanog | AGTCCCAAAGGCAAACAACCCACTTC | TGCTGGAGGCTGAGGTATTTCTGTCTC | 55 | 164 |
| Oct-3/4 | CTTGCTGCAGAAGTGGGTGGAGGAA | CTGCAGTGTGGGTTTCGGGCA | 55 | 171 |
| TERT | AGCTATGCCCGGACCTCCAT | GCCTGCAGCAGGAGGATCTT | 55 | 185 |
| Dppa5 | ATGGGAACTCTCCCGGCACG | TCACTTCATCCAAGGGCCTA | 60 | 353 |
| Rex-1(a) | GCGTACGCAAATTAAAGTCCAGA | CAGCATCCTAAACAGCTCGCAGAAT | 55 | 306 |
| FoxD3 | CACCAGCAGCCCCTGACATT | GTGATGAGCGCGATGTACGA | 55 | 230 |
| SOX2 | CCCCCGGCGGCAATAGCA | TCGGCGCCGGGGAGATACAT | 55 | 448 |
| β-Actin | CACCTTCTACAATGAGCTGCG | TGCTTGCTGATCCACATCTGC | 55 | 838 |
| VASA | TCCAGCAGCCTTCTTACTCG | TCTTCACAAGCTCCCAATCC | 60 | 164 |
| STELLA | GTTACTGGGCGGAGTTCGTA | TGAAGTGGCTTGGTGTCTTG | 55 | 174 |
| GDF9 | TAGTCAGCTGAAGTGGGACA | ACGACAGGTGCACTTTGTAG | 55 | 278 |
| AFP | AAATACATCCAGGAGAGCCA | CTGAGCTTGGCACAGATCCT | 55 | 415 |
| GATA4 | CTACAGGGGCACTTAACCCA | AGAGCTGAATCGCTCAGAGC | 60 | 157 |
| Insulin | AGCCTTTGTGAACCAACACC | GCTGGTAGAGGGAGCAGATG | 60 | 245 |
| HNF-4A | CCCAGCCCCCTAAGAGAGCAC | GGATGAAGGTGAAGGTGAAGG | 55 | 245 |
| Hand1 | TGCCTGAGAAAGAGAACCAG | ATGGCAGGATGAACAAACAC | 55 | 273 |
| CTnI | TCCTCCAACTACCGCGCTTA | CTTCATCCACCTTGTCCACA | 55 | 262 |
| GATA6 | CCTCACTCCACTCGTGTCTGC | GTCCTGGCTTCTGGAAGTGG | 55 | 225 |
| HBZ | GACGCGGTGAAGAGCATCGA | GCTCAGCGGTACTTCTCGGT | 55 | 227 |
| Sox1 | TGTAATCACTTTAACGAATGAGTGG | AGTTTAATGAGAACCGAATTCAGC | 60 | 133 |
| MAP2 | GCATGAGCTCTTGGCAGG | CCAATTGAACCCATGTAAAGCC | 55 | 192 |
| GFAP | AGGGCTGACACGTCCAC | GCCTTAGAGGGGAGAGGAG | 60 | 132 |
| Gene | Sense (5′-3′) | Antisense (5′-3′) | Annealing temperature (°C) | Product size (bp) |
|---|---|---|---|---|
| Nanog | AGTCCCAAAGGCAAACAACCCACTTC | TGCTGGAGGCTGAGGTATTTCTGTCTC | 55 | 164 |
| Oct-3/4 | CTTGCTGCAGAAGTGGGTGGAGGAA | CTGCAGTGTGGGTTTCGGGCA | 55 | 171 |
| TERT | AGCTATGCCCGGACCTCCAT | GCCTGCAGCAGGAGGATCTT | 55 | 185 |
| Dppa5 | ATGGGAACTCTCCCGGCACG | TCACTTCATCCAAGGGCCTA | 60 | 353 |
| Rex-1(a) | GCGTACGCAAATTAAAGTCCAGA | CAGCATCCTAAACAGCTCGCAGAAT | 55 | 306 |
| FoxD3 | CACCAGCAGCCCCTGACATT | GTGATGAGCGCGATGTACGA | 55 | 230 |
| SOX2 | CCCCCGGCGGCAATAGCA | TCGGCGCCGGGGAGATACAT | 55 | 448 |
| β-Actin | CACCTTCTACAATGAGCTGCG | TGCTTGCTGATCCACATCTGC | 55 | 838 |
| VASA | TCCAGCAGCCTTCTTACTCG | TCTTCACAAGCTCCCAATCC | 60 | 164 |
| STELLA | GTTACTGGGCGGAGTTCGTA | TGAAGTGGCTTGGTGTCTTG | 55 | 174 |
| GDF9 | TAGTCAGCTGAAGTGGGACA | ACGACAGGTGCACTTTGTAG | 55 | 278 |
| AFP | AAATACATCCAGGAGAGCCA | CTGAGCTTGGCACAGATCCT | 55 | 415 |
| GATA4 | CTACAGGGGCACTTAACCCA | AGAGCTGAATCGCTCAGAGC | 60 | 157 |
| Insulin | AGCCTTTGTGAACCAACACC | GCTGGTAGAGGGAGCAGATG | 60 | 245 |
| HNF-4A | CCCAGCCCCCTAAGAGAGCAC | GGATGAAGGTGAAGGTGAAGG | 55 | 245 |
| Hand1 | TGCCTGAGAAAGAGAACCAG | ATGGCAGGATGAACAAACAC | 55 | 273 |
| CTnI | TCCTCCAACTACCGCGCTTA | CTTCATCCACCTTGTCCACA | 55 | 262 |
| GATA6 | CCTCACTCCACTCGTGTCTGC | GTCCTGGCTTCTGGAAGTGG | 55 | 225 |
| HBZ | GACGCGGTGAAGAGCATCGA | GCTCAGCGGTACTTCTCGGT | 55 | 227 |
| Sox1 | TGTAATCACTTTAACGAATGAGTGG | AGTTTAATGAGAACCGAATTCAGC | 60 | 133 |
| MAP2 | GCATGAGCTCTTGGCAGG | CCAATTGAACCCATGTAAAGCC | 55 | 192 |
| GFAP | AGGGCTGACACGTCCAC | GCCTTAGAGGGGAGAGGAG | 60 | 132 |
Statistical analysis
Statistical analysis was performed using the SPSS statistical package (SYSTAT Software Inc.). Differences were evaluated by Student’s t-test, paired t-test and Pearson chi-square test. A P value <0.05 was considered statistically significant.
Results
Derivation of hESC lines
Twenty-five frozen human embryos were donated, thawed and cultured in sequential medium. Of the 11 blastocysts regarded as suitable for immunosurgery, 10 ICMs were obtained and plated on PMEF feeders (Table II) (Figure 1A–C). After serial culture, three hESC lines were established (NTU1, NTU2 and NTU3) (Table II), and two of them have been well characterized (NTU1 and NTU2). These latter two lines have grown through 60 passages with stable growth speed (a doubling time of ∼36–39 h as described below) and essentially similar morphology compared with the earlier passages (Figure 1D–E). The NTU3 line has grown through 41 passages. These three cell lines could be transferred successfully using mechanical (Figure 1D–E) or enzymatic methods (Figure 1F). All three hESC lines were frozen and thawed at passages 3, 6, 9, 12 and as needed in many other passages. Grossly, the growth patterns were not significantly different from those before freezing (data not shown). The morphology of the hESC colonies was scored as ‘good’ (representative photo in Figure 1E), ‘fair’ (Figure 1G) and ‘poor’ (Figure 1H) according to the criteria described in Materials and methods.
The data about embryo stages and immunosurgery
| No. | Embryo stage at thawinga | Blastocyst score before immunosurgeryb | Origin of anti-serumc (dilution) | Days between ICM plating and first passage | Days between first and second passages | Formation of cell line |
|---|---|---|---|---|---|---|
| 1 | 2-PN | 2BA | Homemade (1:20) | 10 | Nil | |
| 2 | 2-PN | 3AA | Homemade (1:10) | 8 | Nil | |
| 3 | 6-cell | 4AA | Homemade (1:8) | 9 | Nil | |
| 4 | 6-cell | 4BA | Homemade (1:5) | 7 | Nil | |
| 5 | 2-PN | 3AA | Homemade (1:5) | 10 | 14 | NTU1 |
| 6 | 2-PN | 3CA | Sigma (1:5) | 9 | Nil | |
| 7 | 2-PN | 4AA | Sigma (1:3) | 10 | 9 | NTU2 |
| 8 | 8-cell | 4CA | Sigma (1:3) | d | Nil | |
| 9 | 2-PN | 3AB | Sigma (1:3) | 12 | Nil | |
| 10 | 2-PN | 4BA | Sigma (1:3) | 8 | Nil | |
| 11 | 2-PN | 4AB | Sigma (1:3) | 12 | 6 | NTU3 |
| No. | Embryo stage at thawinga | Blastocyst score before immunosurgeryb | Origin of anti-serumc (dilution) | Days between ICM plating and first passage | Days between first and second passages | Formation of cell line |
|---|---|---|---|---|---|---|
| 1 | 2-PN | 2BA | Homemade (1:20) | 10 | Nil | |
| 2 | 2-PN | 3AA | Homemade (1:10) | 8 | Nil | |
| 3 | 6-cell | 4AA | Homemade (1:8) | 9 | Nil | |
| 4 | 6-cell | 4BA | Homemade (1:5) | 7 | Nil | |
| 5 | 2-PN | 3AA | Homemade (1:5) | 10 | 14 | NTU1 |
| 6 | 2-PN | 3CA | Sigma (1:5) | 9 | Nil | |
| 7 | 2-PN | 4AA | Sigma (1:3) | 10 | 9 | NTU2 |
| 8 | 8-cell | 4CA | Sigma (1:3) | d | Nil | |
| 9 | 2-PN | 3AB | Sigma (1:3) | 12 | Nil | |
| 10 | 2-PN | 4BA | Sigma (1:3) | 8 | Nil | |
| 11 | 2-PN | 4AB | Sigma (1:3) | 12 | 6 | NTU3 |
ICM, inner cell mass.
Guinea pig complement (Sigma) was used in immunosurgery for all blastocysts
The developmental stage when the donated embryo was frozen and thawed. 2-PN, 2-pronuclear-stage embryo; 6-cell, 6-cell-stage embryo; 8-cell, 8-cell-stage embryo.
Blastocysts were graded and selected using the grading system by Gardner et al. (2000).
Homemade anti-serum was obtained from rabbits immunized with BeWo cells as described in Materials and methods. Commercial anti-serum was purchased from Sigma.
No microscopically healthy ICM was obtained and therefore no plating into feeders.
The data about embryo stages and immunosurgery
| No. | Embryo stage at thawinga | Blastocyst score before immunosurgeryb | Origin of anti-serumc (dilution) | Days between ICM plating and first passage | Days between first and second passages | Formation of cell line |
|---|---|---|---|---|---|---|
| 1 | 2-PN | 2BA | Homemade (1:20) | 10 | Nil | |
| 2 | 2-PN | 3AA | Homemade (1:10) | 8 | Nil | |
| 3 | 6-cell | 4AA | Homemade (1:8) | 9 | Nil | |
| 4 | 6-cell | 4BA | Homemade (1:5) | 7 | Nil | |
| 5 | 2-PN | 3AA | Homemade (1:5) | 10 | 14 | NTU1 |
| 6 | 2-PN | 3CA | Sigma (1:5) | 9 | Nil | |
| 7 | 2-PN | 4AA | Sigma (1:3) | 10 | 9 | NTU2 |
| 8 | 8-cell | 4CA | Sigma (1:3) | d | Nil | |
| 9 | 2-PN | 3AB | Sigma (1:3) | 12 | Nil | |
| 10 | 2-PN | 4BA | Sigma (1:3) | 8 | Nil | |
| 11 | 2-PN | 4AB | Sigma (1:3) | 12 | 6 | NTU3 |
| No. | Embryo stage at thawinga | Blastocyst score before immunosurgeryb | Origin of anti-serumc (dilution) | Days between ICM plating and first passage | Days between first and second passages | Formation of cell line |
|---|---|---|---|---|---|---|
| 1 | 2-PN | 2BA | Homemade (1:20) | 10 | Nil | |
| 2 | 2-PN | 3AA | Homemade (1:10) | 8 | Nil | |
| 3 | 6-cell | 4AA | Homemade (1:8) | 9 | Nil | |
| 4 | 6-cell | 4BA | Homemade (1:5) | 7 | Nil | |
| 5 | 2-PN | 3AA | Homemade (1:5) | 10 | 14 | NTU1 |
| 6 | 2-PN | 3CA | Sigma (1:5) | 9 | Nil | |
| 7 | 2-PN | 4AA | Sigma (1:3) | 10 | 9 | NTU2 |
| 8 | 8-cell | 4CA | Sigma (1:3) | d | Nil | |
| 9 | 2-PN | 3AB | Sigma (1:3) | 12 | Nil | |
| 10 | 2-PN | 4BA | Sigma (1:3) | 8 | Nil | |
| 11 | 2-PN | 4AB | Sigma (1:3) | 12 | 6 | NTU3 |
ICM, inner cell mass.
Guinea pig complement (Sigma) was used in immunosurgery for all blastocysts
The developmental stage when the donated embryo was frozen and thawed. 2-PN, 2-pronuclear-stage embryo; 6-cell, 6-cell-stage embryo; 8-cell, 8-cell-stage embryo.
Blastocysts were graded and selected using the grading system by Gardner et al. (2000).
Homemade anti-serum was obtained from rabbits immunized with BeWo cells as described in Materials and methods. Commercial anti-serum was purchased from Sigma.
No microscopically healthy ICM was obtained and therefore no plating into feeders.
Derivation and characterization of human embryonic stem cell (hESC) lines. Frozen-thawed human embryos were cultured to blastocyst stage, and hESCs were derived as described in Materials and methods. (A) A blastocyst after treatment with proteinase to remove the zona pellucida. (B) The trophoblast cells appeared destroyed after immunosurgery. (C) Seven days after plating the inner cell mass (ICM) on the feeder cells. (D) NTU1 hESC line at passage 4. (E) NTU2 line at passage 7 transferred by mechanical method. This is a morphologically good colony. (F) NTU1 line at passage 11 transferred by collagenase type IV. (G) A morphologically fair colony. (H) A morphologically poor colony. (I–N) These are representative marker expressions for NTU1 line. (I) Alkaline phosphatase. (J) Oct-4. (K) SSEA-3. (L) SSEA-4. (M) TRA-1-60. (N) TRA-1-81. (O) Karyotype of NTU1 line (46, XX). (P) Karyotype of NTU2 line (46, XX). Scale bars, 200 µm.
Derivation and characterization of human embryonic stem cell (hESC) lines. Frozen-thawed human embryos were cultured to blastocyst stage, and hESCs were derived as described in Materials and methods. (A) A blastocyst after treatment with proteinase to remove the zona pellucida. (B) The trophoblast cells appeared destroyed after immunosurgery. (C) Seven days after plating the inner cell mass (ICM) on the feeder cells. (D) NTU1 hESC line at passage 4. (E) NTU2 line at passage 7 transferred by mechanical method. This is a morphologically good colony. (F) NTU1 line at passage 11 transferred by collagenase type IV. (G) A morphologically fair colony. (H) A morphologically poor colony. (I–N) These are representative marker expressions for NTU1 line. (I) Alkaline phosphatase. (J) Oct-4. (K) SSEA-3. (L) SSEA-4. (M) TRA-1-60. (N) TRA-1-81. (O) Karyotype of NTU1 line (46, XX). (P) Karyotype of NTU2 line (46, XX). Scale bars, 200 µm.
Characterization of hESC lines
All the three hESC lines showed expression of AP, Oct-4, SSEA-3, SSEA-4, TRA-1-60 and TRA-1-81 markers (representative expressions for NTU1 are shown in Figure 1I–N). SSEA-1 was negative (data not shown). Two cell lines (NTU1 and NTU2) showed normal karyotypes (both were 46XX) at passage 10 (Figure 1O–P). RT–PCR studies provided further evidences of the stem cell characteristics of NTU1 and NTU2 hESC lines by identifying the expression of many genes, including Nanog, Oct-4, TERT, Dppa5, UTF1, Sox2, Rex1 and FoxD3, which are markers of undifferentiated stem cells (Figure 2A). Housekeeping gene β-actin transcript was detectable, and a published hESC line H9 from Thomson’s group (NIH code, WA09) (Thomson et al., 1998) was used as a positive control for the RT–PCR examinations. A negative control for the PCR was also used.
RT–PCR studies of the NTU1 and NTU2 human embryonic stem cell (hESC) lines. The methodology of RT–PCR was described in Materials and methods. (A) Expression of stem cell markers in undifferentiated hESC lines. (B) Expression of markers after in vitro differentiation of hESC lines. N1, NTU1 hESC line. N2, NTU2 hESC line. H9, a published hESC line from Thomson’s group (Thomson et al., 1998).
RT–PCR studies of the NTU1 and NTU2 human embryonic stem cell (hESC) lines. The methodology of RT–PCR was described in Materials and methods. (A) Expression of stem cell markers in undifferentiated hESC lines. (B) Expression of markers after in vitro differentiation of hESC lines. N1, NTU1 hESC line. N2, NTU2 hESC line. H9, a published hESC line from Thomson’s group (Thomson et al., 1998).
Growth characteristics of the hESC lines in serum-containing and serum-free media
Two media (ES-M and VitroHES) were used for the maintenance of hESC lines during early passages. The growth rate and morphology of these lines were evaluated and compared in both culture conditions. In total, 547 hESC colonies in ES-M medium and 519 colonies in VitroHES medium were evaluated on a daily basis from day 2 to day 7 after each passage during passages 5 through 11. The combined data from NTU1 and NTU2 lines revealed that the mean increase of colony size was 62.3 ± 2.5% (mean ± SE) each day for ES-M medium and 64.7 ± 2.7% for VitroHES medium, which was not statistically different (P = 0.51) (Figure 3A). When different cell lines (NTU1 and NTU2) were analysed separately, the growth rates were also similar using different media (NTU1 line: ES-M versus VitroHES, 60.7 ± 3.0 versus 66.5 ± 3.4%, P = 0.20 and NTU2 line: ES-M versus VitroHES, 62.5 ± 4.5 verus 63.4 ± 4.8%, P = 0.90) (Figure 3A). The mean population doubling times were 38.7 and 36.9 h, respectively, for ES-M and VitroHES media. In addition, during the early passages of NTU1 line, the growth rate increased significantly from passages 5 through 7 (colony size increases, 37.8 ± 5.0% versus 64.7 ± 3.7% for passage 5 versus passage 7, respectively, P = 0.0006), and then the rate remained stable at least to passage 11 (Figure 3B). There was a trend towards increased growth rate in passage 9 comparing with passage 7 in NTU2 line, but the difference was not significant (P = 0.10) (Figure 3B). For all passages examined, the thickness of most colonies was scored as thick (data not shown), and therefore, the thickness of hESC colonies grown in either ES-M or VitroHES media was not different, using the present scoring system. Generally, the morphology was better using the ES-M medium in the present culture conditions (Figure 3C). When the percentages of hESC colonies categorized as either ‘fair’ or ‘good’ were combined and compared, there was no difference between the two media (ES-M versus VitroHES, 88.3 ± 6.1% versus 71.2 ± 5.5%, P = 0.877) (Figure 3D). However, when only the percentage of colonies with good morphology was compared, the rate was higher in cells cultured in ES-M medium (ES-M versus VitroHES, 36.1 ± 7.6 versus 12.7 ± 4.4%, P = 0.001) (Figure 3D).
Comparison of the growth rate and morphology of NTU1 and NTU2 hESC lines in two culture media (ES-M, a serum-containing medium and VitroHES, a serum-free medium) according to the Materials and methods. (A) Comparison of the growth rates for NTU1 and NTU2 hESC lines, respectively, or both lines combined (the bar ‘combined’) in different media. The longitudinal axis indicates the mean daily percentage of increase of each hESC colony size. (B) Comparison of the growth rate for each hESC line during early passages (passages 7–11). P5, passage 5. (C) Comparison of hESC colony morphology between different media. The morphology of the colonies was scored as either ‘good’, ‘fair’ or ‘poor’. P = 0.004, comparing ES-M and VitroHES media. (D) Comparison of hESC colony morphology in selected subsets (‘good’ and ‘good or fair’) of colonies between ES-M medium and VitroHES medium. *, P = 0.001; **, P = 0.0006 and ***, P = 0.877. The bars represent the mean ± SE.
Comparison of the growth rate and morphology of NTU1 and NTU2 hESC lines in two culture media (ES-M, a serum-containing medium and VitroHES, a serum-free medium) according to the Materials and methods. (A) Comparison of the growth rates for NTU1 and NTU2 hESC lines, respectively, or both lines combined (the bar ‘combined’) in different media. The longitudinal axis indicates the mean daily percentage of increase of each hESC colony size. (B) Comparison of the growth rate for each hESC line during early passages (passages 7–11). P5, passage 5. (C) Comparison of hESC colony morphology between different media. The morphology of the colonies was scored as either ‘good’, ‘fair’ or ‘poor’. P = 0.004, comparing ES-M and VitroHES media. (D) Comparison of hESC colony morphology in selected subsets (‘good’ and ‘good or fair’) of colonies between ES-M medium and VitroHES medium. *, P = 0.001; **, P = 0.0006 and ***, P = 0.877. The bars represent the mean ± SE.
In addition, the hESC proliferation rates in the two media were also analysed directly and compared. The hESC number increases by the daily cell count were not statistically different between the two media from day 3 through day 7 after each passage (Figure 4). The percentages of hESC undergoing apoptosis were 14.0 ± 4.6 and 12.2 ± 9.0% (mean ± SE), respectively, in ES-M and VitroHES media (P = 0.81). And finally, the percentages of Oct-4 expression in hESC were 70.6 ± 5.6 and 50.0 ± 6.7%, respectively, in ES-M and VitroHES media (P = 0.079) when examined at day 7 after passage.
Comparison of growth rates of NTU1 human embryonic stem cell (hESC) line in two culture media by measuring the cell number in the colonies according to the Materials and methods. The mean cell number per colony was not statistically different between the two media in each time point (days 3 through 7 after passage).
Comparison of growth rates of NTU1 human embryonic stem cell (hESC) line in two culture media by measuring the cell number in the colonies according to the Materials and methods. The mean cell number per colony was not statistically different between the two media in each time point (days 3 through 7 after passage).
In vitro pluripotency of hESC lines
The putative hESC lines could differentiate spontaneously in vitro into many cells representing all three embryonic germ layers directly in adherent culture or first through the formation of EB. After 7–21 days, simple EB-like and/or cystic structures could easily be found in the adherent culture without prior EB formation, which was quite similar to cystic EB formation in suspension culture (Figure 5A–B). Clusters of neuronal cells were very common in the differentiated cell populations (Figure 5C). Most of these cells expressed ectodermal cell markers such as nestin (Figure 5D). Patches of beating cells mimicking cardiomyocytes were also found after prolonged culture (Figure 5E), which occurred more commonly in EB-derived differentiation than by adherent culture. These cells expressed mesodermal markers such as desmin (Figure 5F). Endodermal markers such as AFP were also noted in some localized area of cells (Figure 5G), but were not as common as ectodermal and mesodermal markers. These marker expressions and morphological changes during differentiation were present in all three hESC lines and persisted up to at least 20 passages. RT–PCR studies were performed to provide evidence of gene expressions representing the three embryonic germ layers, including MAP2, SOX1 and GFAP (ectoderm), HAND1, cTnI, GATA6 and HBZ (mesoderm) and HNF-4A, AFP, GATA4 and insulin (endoderm), in NTU1 and NTU2 hESC lines (Figure 2B).
Representative photos of in vitro differentiation of human embryonic stem cell (hESC) directly in adherent culture or first through the formation of embryoid body (EB), examined by immunocytochemistry, as described in Materials and methods. (A) EB in suspension culture. (B) Multiple cystic structures in direct adherent culture. (C) Neuronal cells (phase contrast, ectoderm). (D) Nestin-positive neuronal precursor cells (green fluorescence, ectoderm). (E) Patches of cells which beat spontaneously, mimicking cardiomyocytes (phase contrast, mesoderm). (F) Desmin-positive cells (red fluorescence, mesoderm). (G), α–Fetal protein (AFP)-positive cells (red fluorescence, endoderm). (H) Representative negative control (without primary antibody). (I) Localized c-Kit-positive cell clump (green fluorescence, germ cell lineage) in differentiated NTU1 hESC. (J) Representative negative control (without primary antibody) for c-Kit stain in a structure similar to that in Panel I in differentiated NTU1 hESC. (K) Scattered c-Kit-positive cells (green fluorescence) in differentiated NTU2 hESC. (L) VASA-positive cells (green fluorescence, germ cell lineage) in differentiated NTU1 hESC. (M) VASA-positive cells (brown stain) in differentiated NTU2 hESC. (N) Representative negative control for immunocytochemistry (without primary antibody). (O) Structures mimicking ovarian follicles (black arrows) in differentiated NTU2 cells. (P) A magnified view of a structure mimicking ovarian follicle. Scale bar, 50 µm.
Representative photos of in vitro differentiation of human embryonic stem cell (hESC) directly in adherent culture or first through the formation of embryoid body (EB), examined by immunocytochemistry, as described in Materials and methods. (A) EB in suspension culture. (B) Multiple cystic structures in direct adherent culture. (C) Neuronal cells (phase contrast, ectoderm). (D) Nestin-positive neuronal precursor cells (green fluorescence, ectoderm). (E) Patches of cells which beat spontaneously, mimicking cardiomyocytes (phase contrast, mesoderm). (F) Desmin-positive cells (red fluorescence, mesoderm). (G), α–Fetal protein (AFP)-positive cells (red fluorescence, endoderm). (H) Representative negative control (without primary antibody). (I) Localized c-Kit-positive cell clump (green fluorescence, germ cell lineage) in differentiated NTU1 hESC. (J) Representative negative control (without primary antibody) for c-Kit stain in a structure similar to that in Panel I in differentiated NTU1 hESC. (K) Scattered c-Kit-positive cells (green fluorescence) in differentiated NTU2 hESC. (L) VASA-positive cells (green fluorescence, germ cell lineage) in differentiated NTU1 hESC. (M) VASA-positive cells (brown stain) in differentiated NTU2 hESC. (N) Representative negative control for immunocytochemistry (without primary antibody). (O) Structures mimicking ovarian follicles (black arrows) in differentiated NTU2 cells. (P) A magnified view of a structure mimicking ovarian follicle. Scale bar, 50 µm.
Expression of germ cell markers
Expression of c-Kit was detectable in some localized cell clumps in NTU1 line and in scattered cells in NTU2 line after 7–14 days of spontaneous in vitro differentiation in directly adherent culture (Figure 5I–K). Expression of VASA protein was also detectable in scattered cells after 14 days of culture in both NTU1 hESC line by immunofluorescence (Figure 5L) and NTU2 line by immunocytochemical study (Figure 5M–N). In just two of the culture dishes for spontaneous differentiation of NTU2 line, we observed several structures mimicking ovarian follicles (Figure 5O–P), which occurred after 21 days culture. However, these structures degenerated after ∼10 days of further culture. RT–PCR strengthened the findings by identifying the expression of germ cell-related genes including STELLA, VASA and growth differentiation factor 9 (GDF9) in differentiated hESC after 21 days of adherent culture (Figure 2B).
In vivo pluripotency of hESC lines
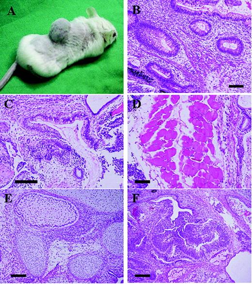
In vivo, teratoma formation was noted since 4 weeks after injection of hESC into SCID mice (Figure 6A). The mouse with tumour formation was sacrificed, and the tumour was removed at 8–12 weeks when it reached a diameter about 2 cm. Examination of tumours from both cell lines (NTU1 and NTU2) revealed mature cystic teratomas, consisting of many cells from all three embryonic germ layers. These include neural tubules, tooth-like structure, optic disc (ectoderm), cartilage, skeletal muscle, smooth muscle (mesoderm), respiratory epithelium and gut epithelium (endoderm) (Figure 6B-F). No ovarian follicle-like structure was observed in these tumours. The in vivo differentiation potential of NTU3 needs to be verified in further experiments.
In vivo differentiation of human embryonic stem cell (hESC). Cells were injected s.c. into the back of severe combined immunodeficient (SCID) mice, and teratoma was removed at 8–12 weeks. Pathological examination of identified cells representing all three embryonic germ layers. (A) A tumour in the back of the SCID mouse. (B) Intestinal tract tissue with mucous-containing cells (endoderm) and optic disc-like structure with pigmented epithelium (ectoderm). (C) Respiratory tract tissue (endoderm). (D) Skeletal muscle (mesoderm). (E) Cartilage (mesoderm) and tooth (ectoderm). (F) Neural tubule (ectoderm). Scale bars, 100 µm.
In vivo differentiation of human embryonic stem cell (hESC). Cells were injected s.c. into the back of severe combined immunodeficient (SCID) mice, and teratoma was removed at 8–12 weeks. Pathological examination of identified cells representing all three embryonic germ layers. (A) A tumour in the back of the SCID mouse. (B) Intestinal tract tissue with mucous-containing cells (endoderm) and optic disc-like structure with pigmented epithelium (ectoderm). (C) Respiratory tract tissue (endoderm). (D) Skeletal muscle (mesoderm). (E) Cartilage (mesoderm) and tooth (ectoderm). (F) Neural tubule (ectoderm). Scale bars, 100 µm.
At present, the characterization of NTU3 line is not yet complete (the completed parts include the growth, morphology, immunocytochemical study and in vitro differentiation to three embryonic germ layers), and further studies on the karyotype, in vivo differentiation, RT–PCR and germ cell differentiation potential are still going on in this laboratory.
Discussion
In this study, we report the establishment and maintenance of three hESC lines in a favourable efficiency (three hESC lines from 11 blastocysts, 27%) using a homemade FBS-containing medium and a commercially available serum-free medium. The growth rates of these hESC lines were similar in these two media, but some morphological differences were noted. Two of the three lines were well characterized, and they fulfil the basic and standard criteria required for categorizing hESC as was reported previously (Thomson et al., 1998; Reubinoff et al., 2000). In addition to differentiation into cell lineages of all three embryonic germ layers in vitro and in vivo, these cell lines can spontaneously differentiate into cells expressing markers reflecting early germ cell development in adherent culture without the prior formation of EB. This observation identifies the justification and usefulness of further study for deriving germ cell using hESC as a starting cell type. In addition, this study was meaningful as these hESC lines were obtained from Taiwanese, by which future studies on ethically specific diseases will be more straightforward.
A recent trend for the maintenance of hESC lines is the use of human feeder and feeder-free and/or serum-free media (Rao and Zandstra, 2005). Derivation and characterization of hESC lines has also been reported in a serum-free medium containing KSR (Lysdahl et al., 2006). Serum-free medium has the potential advantages of avoiding the contaminants from FBS and the ethical conflict of the use of xeno-derived substances. Because KSR that is used in many serum-free media including VitroHES medium contains bovine serum albumin, it is in a strict sense not xeno-free. However, it would be helpful to use KSR-containing medium as a transition to a completely xeno-free culture medium. Among the reports about direct comparison between serum-containing medium and serum-free medium, a recent study by Skottman et al. (2006) reported the differential gene expression signature by hESC cultured in serum-containing medium compared with those cultured in serum-free conditions (using SR), with the latter correlating with enhanced and prolonged growth in an undifferentiated stage. In this study, we looked into other aspects of this issue by comparing serum-containing medium (ES-M medium) with serum-free medium (VitroHES medium). The data revealed that both ES-M and VitroHES media could support a favourable and stable proliferation rate of these new hESC lines in vitro. In a detail recording, we also observed that in VitroHES medium, the growth rate was lower than in ES-M medium during the first 3–4 days after passage but accelerated in the following 2–3 days and caught up the final size before next passage (data not shown). The calculated population doubling time of 36.9–38.7 h for the present hESC lines was not different from those reported previously (generally 24–96 h). In this study, no significant difference of colony thickness was found between ES-M and VitroHES media although the evaluation method was basically subjective and inevitably subjected to some extent of variation. Furthermore, the comparison of mean daily cell counts per hESC colony and the percentages of hESC undergoing apoptosis further supported the comparable daily growth rates when cultured in both media. Taken together, the present data suggested that hESCs grow at similar speeds in the serum-containing or serum-free media formulated in this study.
We also observed a significantly higher rate of hESC colonies with good morphology (morphologically undifferentiated) using ES-M medium compared with VitroHES medium under the present culture conditions. This observation was further supported by the trend (though not statistically significant, P = 0.079) towards higher percentages of Oct-4 expression in hESC cultured in ES-M medium, which suggested a higher portion of hESC remaining in an undifferentiated state in this medium. This difference led to the production of a larger number of undifferentiated hESC colonies using serum-containing medium in each passage, which in an experimental and likely clinical point of view will be most important. At present, the reason(s) leading to the difference are not known. Because the researchers were at most incidences blind to the medium type during scoring and the differences in the rates of good morphology between two media were fairly consistent throughout the study, the possibility of observer bias can be excluded. It is also possible that the present culture conditions and environments (the feeder cell numbers, feeder cell source, 5.5% CO2, passage methods, etc.) may somehow not be suitable for the use of serum-free medium. Furthermore, because these new hESC lines were originally derived using serum-containing medium, it is likely that some stepwise adaptations of these hESCs may be necessary before changing into a completely serum-free condition as VitroHES medium. Some preliminary studies are going on in this laboratory to confirm this issue, and the results seem to support this opinion (data not shown). In addition, VitroHES medium is an imported product that must be shipped periodically from abroad. It has long been found by many researchers that imported culture media are vulnerable and that the quality can be altered significantly from batch to batch because of reasons such as the quality of storage during long-range shipping and in customs. Finally, the possibility cannot be excluded that the present hESC lines are simply unable to survive in a serum-free condition. Therefore, further study is urgently needed to verify the observations in this study and to identify the other potential impacts such as the differentiation potential and gene expression profiles (Skottman et al., 2006) using serum-free media. These observations also provide important suggestions and cautions needed during the change of culture medium and conditions for delicate cells as hESC.
In vivo, mouse ESCs have been proved to be pluripotent and can contribute to germ line by introducing them into the blastocysts (Bradley, 1990). Subsequently, there have been three independent groups which generated germ cells in vitro from mouse ESCs (Hubner et al., 2003; Toyooka et al., 2003; Geijsen et al., 2004). The identification of oocytes and pathenogenetic blastocyst after extended culture of mouse ESC was even more interesting (Hubner et al., 2003). The above evidences justify the testing of hESC potential of differentiating into germ cells. Evidences from hESC differentiation into teratoma identified in this study and in others suggest that hESCs are pluripotent (Thomson et al., 1998; Reubinoff et al., 2000; Amit and Itskovitz-Eldor, 2002; Richards et al., 2002; Suss-Toby et al., 2004). However, there has been no report about the presence of ovarian follicle structure in these teratomas. Recently, Clark et al. (2004) provided preliminary evidences that some hESC may develop into germ cell lineage after in vitro differentiation into EB. In contrast, this study used a different approach. By using an adherent culture without the formation of EB, early germ cell markers including c‐Kit, VASA and GDF9 could be detected in these hESC lines after spontaneous differentiation for 7–21 days. The observations of several ovarian follicle-like structures were also impressive. However, further study will be necessary to reproduce this observation, and objective confirmations of these structures will be needed before definite conclusion can be drawn. Taken together with previous reports, the present data confirmed that these new hESC lines may have the ability of early germ cell differentiation, and it may suggest germ cell differentiation to be a general character of many if not most hESC lines. This is also the first report to show that spontaneous differentiation to cells expressing germ cell markers can be achieved without using EB formation. Accompanied with the observation of differentiation into a variety of other cells belonging to all three embryonic germ layers, this study identified that EB formation is not the only pathway for initiating hESC differentiation. However, for the purpose of future clinical applications, further studies will be necessary to identify the difference between these two pathways regarding their efficiency and speed of specific cell lineage development and gene expression, including c-Kit, VASA and GDF9. In addition, because the VASA-positive cells were only scattered throughout the differentiated hESC populations, a more efficient strategy including supplement of exogenous germ cell promoting factors such as bone morphogenic protein (BMP4) (Lawson et al., 1999; Toyooka et al., 2003) and/or conditioned medium collected from testicular cell culture (Lacham-Kaplan et al., 2006) would be needed for conceivable practical reasons.
In conclusion, we demonstrate that three hESC lines with Taiwanese ancestry have been established, and they retain the in vivo and in vitro differentiation potential with or without EB formation. Hopefully, the present results will provide a convenient avenue for the study of ethnically specific or sensitive diseases in this area. However, hESC lines derived by serum-containing medium may not grow as well in a serum-free medium. Therefore, some strategies including stepwise adaptation in serum-free medium may be needed to overcome this problem if researchers aim to culture hESC in a totally serum-free medium. The data also support the opinion that hESC are likely capable of developing into germ cells although further confirmation is needed. Whether the germ cell differentiation ability is universal or is limited only to some hESC lines also needs further investigation. Interestingly, this study also revealed that the differentiation potential of hESC could be obtained through a spontaneous in vitro differentiation in an adherent culture without EB formation.
Acknowledgements
We thank the laboratory personnel of the IVF Unit for the embryo culture. We also thank the grants support from the National Science Council of the Republic of China (NSC91-2314-B-002-374, NSC92-2314-B-002-302 and NSC93-2314-B-002-063) and National Taiwan University Hospital (91A10-6).






