- Split View
-
Views
-
CiteCitation
Judith White; Breast Density and Cancer Risk: What Is the Relationship?, JNCI: Journal of the National Cancer Institute, Volume 92, Issue 6, 15 March 2000, Pages 443, https://doi.org/10.1093/jnci/92.6.443
Download citation file:
© 2018 Oxford University Press
Close -
Share
Women with dense breasts have been shown to have a four- to six-fold increased risk of developing breast cancer; only age and BRCA1 and BRCA2 mutations increase risk more.
Breast density is a radiologic phenomenon different from the common notion of density as weight per unit of volume. Breast density is not discernable by palpation but rather relates to the fact that x-rays permeate different types of breast tissue differently.
Each type of breast tissue reacts differently to x-rays. Fatty breast tissue is relatively translucent, allowing x-rays to pass through yielding dark areas on a mammogram. Epithelial and stromal tissues, on the other hand, block x-rays and appear as white areas. Breast lesions are not easily discernible in these areas since dense tissue and tumors both look white on film.
Understanding how dense breasts affect cancer risk remains a problem of standardization, said Celia Byrne, Ph.D., Harvard Medical School, Cambridge, Mass. No one method of measuring breast density has been agreed upon.
An early method of categorizing breast patterns divided breasts into four types depending on their predominant tissue composition. Radiologists adopted these categories, but classification of an individual breast depended on the opinion of the radiologist reading the mammogram. Later, the BI-RADS system of the American Society of Radiologists continued the four-group categorization, with breasts classed as almost entirely fat, having scattered fibroglandular tissue, being heterogeneously dense, or as extremely dense.
More recently, scientists have developed methods to quantify dense breast tissue by measuring the area occupied by the entire breast on a mammogram, then measuring the area appearing as dense and calculating the percentage that is dense. Researchers have attempted to make the measurement process more objective by having computers classify and measure the dense vs. nondense areas of a mammogram.
Researchers also do not agree as to what causes some women’s breasts to be more dense than others. Jeffrey Weitzel, M.D., director of clinical cancer genetics at City of Hope Cancer Center, Duarte, Calif., characterizes breast density as a surrogate marker for proliferation of breast tissue, although it remains unclear whether it results from proliferation of stromal or epithelial cells.
Hormones are known to affect breast density. In Weitzel’s current study, small numbers of premenopausal patients with BRCA1 mutations are using contraceptive nasal spray containing a gonadotropin-releasing hormone agonist. So far, two patients have shown a reduction in breast density. And Byrne’s current research, using blood plasma measures of endogenous hormones to look at what breast density may indicate biologically, promises “some very exciting findings on hormone analysis.”
Controversy exists over why breast density is an independent cancer risk. Experts agree that dense areas on mammograms make cancer detection more difficult. Some, like Byrne, also believe that breast density may serve as a marker for other factors, such as the history of a woman’s hormone exposures. Disagreement also exists over whether current or past breast density serves as the better risk predictor.
Whether reducing breast density also reduces cancer risk is also a subject of debate. A 1999 British study administered tamoxifen to a small number of women who had previously been treated for unilateral breast cancer. Results showed that women taking the drug reduced their breast density as well as their risk of recurring cancer, but whether the density reduction is concomitant or causative remains to be seen.
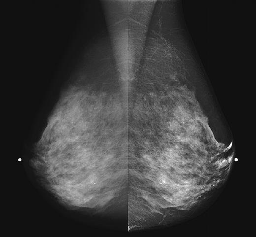
Shown above are two versions of the same left medial oblique mammogram obtained with a scanned-slot digital mammography system. On the left, the digital image has been displayed to approximate the normal contrast level of a modern film mammogram. On the right, the digital image has been processed to equalize the image for changes in breast thickness at the periphery. This provides good contrast throughout the image.
Image courtesy of Martin Yaffe, Ph.D.
Shown above are two versions of the same left medial oblique mammogram obtained with a scanned-slot digital mammography system. On the left, the digital image has been displayed to approximate the normal contrast level of a modern film mammogram. On the right, the digital image has been processed to equalize the image for changes in breast thickness at the periphery. This provides good contrast throughout the image.
Image courtesy of Martin Yaffe, Ph.D.

