- Split View
-
Views
-
CiteCitation
Kazuaki Ohara, Tomomi Ujihara, Tsuyoshi Endo, Fumihiko Sato, Kazufumi Yazaki; Limonene production in tobacco with Perilla limonene synthase cDNA, Journal of Experimental Botany, Volume 54, Issue 393, 1 December 2003, Pages 2635–2642, https://doi.org/10.1093/jxb/erg300
Download citation file:
© 2018 Oxford University Press
Close -
Share
Abstract
Limonene synthase (LS) catalyses the stereo‐specific cyclization of geranyl diphosphate (GPP) to form a monocyclic monoterpene, limonene. In an attempt to engineer monoterpene biosynthesis, three expression constructs of LS cDNA of Perilla frutescens, which were designed to be localized in either the plastid, the cytosol or the endoplasmic reticulum (ER), were introduced into tobacco in order to examine differences in enzyme activity and the productivity of limonene. High and moderate enzyme activity, respectively, was observed for plastid‐ and cytosol‐localized LS, whereas no enzyme activity was seen for ER‐localized LS, suggesting that the plastid is the preferred compartment for LS, while LS may also have an active form in the cytosol. The formation of limonene in vivo was confirmed by gas chromatography–mass spectrometry (GC–MS) in leaf extracts of both plastid‐ and cytosol‐localized LS transgenic plants. The amount of limonene in plastid‐localized LS transgenic plants was 143 ng g–1 fresh wt, whereas that in the cytosol‐type was 40 ng g–1 fresh wt, and these limonene contents increased by 2.7‐fold and 3.0‐fold, respectively, with the addition of methyl jasmonate. The headspace analyses showed that the plastid‐ and the cytosol‐localized LS transgenic plants (12 cm high) emitted 390 ng and 515 ng limonene per month, respectively. The possibility of genetically engineering monoterpene production is discussed.
Received 21 May 2003; Accepted 6 August 2003
Introduction
Monoterpenes are volatile lipophilic C10 compounds that are common constituents of plant resins and essential oils. They have been used to add flavour and fragrance to foods and cosmetics. The characteristic flavours of monoterpenes in ornamental plants are important factors in determining their commercial value. Recent studies on monoterpene biosynthesis have demonstrated that GPP, the common precursor of monoterpenes, is derived from a non‐mevalonate pathway (Eisenreich et al., 2001; Rohmer, 1999), and most enzymes involved in this pathway seem to be localized in the plastids of plant cells. Most monoterpene synthases responsible for the formation of these volatile compounds also possess a transit peptide for a plastidial location (Bohlmann et al., 1997; Colby et al., 1993; Yuba et al., 1996). These results suggest that monoterpene synthesis only occurs in plastids.
Studies on the accumulation sites of monoterpenes in plants have shown that this essential oil is often stored in specially developed tissues, for example, in epidermal leaf hairs designated as glandular trichomes in mint (Lange and Croteau, 1999), which consist of a single basal cell, a stalk cell, and a radial cluster of cells from which the products are secreted into a large subcuticular cavity. Glandular trichomes are thought to be responsible for the synthesis and accumulation of monoterpenes and to sequestrate them from other cells, thus protecting the plant itself from their cytotoxicity.
Thus far, only one gene, that for linalool synthase, has been used for the metabolic engineering of monoterpene. Linalool synthase was expressed in tomato (Lewinsohn et al., 2001), petunia (Lücker et al., 2001) and carnation (Lavy et al., 2002), but the production of free linalool has only been observed in tomato. These results suggest that more fundamental knowledge is needed for the metabolic engineering of monoterpenes.
In this report, limonene synthase (LS) of Perilla frutescens (Yuba et al., 1996) was examined, because it has already been intensively studied as a model of monoterpene synthase (Fig. 1) (Schwab et al., 2001), and the reaction product is not glycosylated further as observed in linalool (Lücker et al., 2001). Tobacco was used as the host plant because it is an appropriate host for genetic engineering and its endogenous terpenoid metabolism has been well studied. The subcellular localization of LS was engineered in order to clarify the significance of the plastidial location for monoterpene biosynthetic enzymes, such as the stability of enzymes and the supply of substrates. While GPP is supplied by a non‐mevalonate pathway in plastids, it may be produced by a mevalonate pathway in the cytosol. Thus, it was expected that genetic modification of the subcellular localization of LS in the cytosol or endoplasmic reticulum (ER), as well as in plastids, would provide the valuable information needed for the successful genetic engineering of monoterpene biosynthesis. Based on these results, the role of glandular trichomes in monoterpene production was also discussed.
Materials and methods
Plant materials and transformation method
Wild‐type tobacco (Nicotiana tabacum cv. Samsun NN) plant and its transformants were cultured according to the method previously reported (Takeda et al., 1990). The mature leaves were used for a standard Agrobacterium‐mediated transformation (Horsh et al., 1985), and transformants were selected by hygromycin (25 µg ml–1). The analysis for volatile compounds in mature leaves was performed with tobacco plants (T0) grown in a growth chamber. Perilla plants were grown under identical culture condition as the transgenic tobacco lines.
Construction of the plant expression cassette
The full‐length LS cDNA that contains the plastidial transit peptide (pBS‐FullLC1) was used for plastidial targeting (Yuba et al., 1996). The DNA sequence encoding most transit peptides was removed by SpeI digestion at the internal site (position 106 from the start codon), where a new translational start codon was introduced by BamHI–NcoI linker ligation to yield pBS‐DeltaLC1. To localize LS at the ER, an ER sorting signal of lectin from Phaseolus vulgaris (Boehm et al., 2000) was added to the 5′‐end of the truncated LS, and an ER retention signal, KDEL, was also introduced into the 3′‐end using PCR (pBS‐ERLC1). These cDNAs were subcloned, via SacI/XbaI digestion, into a binary vector (pBiHyg‐HSE), a pBin19 derivative (Gatz et al., 1992), downstream of the El2 promoter to yield pBin‐FullLC1, pBin‐DeltaLC1 and pBin‐ERLC1.
RNA gel blot analysis
Total RNA was extracted from cultured tobacco leaves by use of RNeasy Plant Mini Kit (Qiagen, Valencia, CA) according to the manufacturer’s instructions. Ten micrograms of total RNA was separated in a formamide‐containing 1% (w/v) agarose gel and capillary blotted onto a nylon membrane Hybond N+ (Amersham, Buckinghamshire, UK). The membrane was hybridized according to the standard procedure. The probe used for hybridization was the full‐length cDNA of Perilla LS. The 18S rRNA was hybridized with the heterologous probe from broad bean, which was used as load control in the RNA gel blot analyses (Yakura and Tanifuji, 1983).
Immunoblot analysis
The anti‐LS antibody was prepared from a synthetic oligopeptide (H‐ASDQRRSGNYSPSFWC‐NH2) that was coupled with the carrier protein keyhole limpet haemocyanin, which was used to obtain polyclonal antibodies from a rabbit. Extraction of total soluble protein from tobacco leaves and immunoblotting using the above antibody was carried out according to standard protocols (Nakano et al., 1997). Isolation of intact chloroplasts from cultured tobacco and extraction of chloroplast proteins were carried out as described in the literature (Fitzpatrick and Keegstra, 2001). The intactness of chloroplasts was estimated from the difference in the quantum yield of photosynthetic complex II in the presence and absence of ferricyanide, measured using a PAM2000 Chlorophyll Fluorometer (Walz, Germany). The protein concentration was determined according to the method of Bradford with bovine serum albumin as a standard (Bradford, 1976).
Enzyme assay
Preparation of cell‐free extracts and the enzyme assay were performed as described previously (Yuba et al., 1996) with slight modifications. GLC (GC‐14B, Shimadzu) was equipped with a glass column (3.2 mm × 3.1 m packed with Thermon‐3000 Chromosorb W 5% 80∼100 mesh, Shimadzu), and the reaction product was detected by a flame ionization detector (injector, 250 °C; detector, 250 °C, programmed from 60 °C to 230 °C at 8 °C min–1).
Analysis of volatile compounds in leaves
Mature tobacco leaves (1.0 g) were homogenized with a mortar and pestle in 3 ml each of pentane and H2O at 4 °C. After centrifugation at 440 g for 10 min at 4 °C, the pentane phase was concentrated to c. 1 ml under a N2 stream and subjected to GC–MS analysis. GC–MS was performed using an HP‐5989B mass spectrometer (Hewlett‐Packard) coupled with an HP‐5890 series II plus gas chromatograph in a split‐less mode. The ion source was operated at 70 eV. The gas chromatograph was equipped with an HP‐5MS capillary column (0.25 µm film thickness, Hewlett‐Packard). The oven temperature was programmed from 60 °C (2 min hold) to 290 °C at a rate of 10 °C min–1, using helium as the carrier gas at 1.2 ml min–1. Limonene in the extract was identified by comparing the retention time and mass spectrum with those of an authentic specimen of limonene. CaCl2 extraction to detect aglycons was performed as described by Lücker et al. (2001).
Methyl jasmonate treatment
Mature tobacco leaves (1.0 g) were cut into discs (1×1 cm), and were incubated in H2O containing 100 µM methyl jasmonate for 20 h at 25 °C. The leaves were transferred onto a filter paper to remove the water droplets, and homogenized with 3 ml each of pentane and H2O to extract volatile compounds. The pentane extract was subjected to GC–MS analysis as mentioned above.
Headspace analysis
The air in the headspace of a tobacco culture grown in a half‐concentration of Linsmaier and Skoog medium containing 1.5% sucrose and 0.8% agar at 25 °C under continuous light (80 µE m–2 s–1) with fluorescent lamps in a flask (300 ml) was passed through a charcoal cartridge (ORBO‐32 Small, Sigma‐Aldrich) at a rate of 70 ml h–1 for 68 d. Trapped volatile compounds were extracted from the charcoal with CS2 (1 ml) by infusion for 12 h at 4 °C. The CS2 extract was subjected to GC–MS or GLC analysis.
Results
Introduction of LS cDNA with three different sorting signals into tobacco plants
The full‐length LS of P. frutescens has a putative plastid localization signal, like peppermint LS (Turner et al., 1999). The cDNA was modified to localize in either the cytosol or the ER, as shown in Fig. 2. Full‐length and modified LS cDNAs were subcloned in a binary vector under the El2 promoter, which is a strong constitutive promoter (Yazaki et al., 2001), to yield pBin‐FullLC1, pBin‐DeltaLC1 and pBin‐ERLC1 for plastidial, cytosolic and ER localization, respectively (Fig. 2). These plasmids were introduced via Agrobacteriumtumefaciens (strain 4404) into tobacco by the standard protocol. More than 10 transgenic tobacco plants for each construct (i.e. 15 plastid localization, 17 cytosol localization, 11 ER localization) were established. All transformants showed the same phenotype as a non‐transformed tobacco plant.
Expression of LS in transgenic tobacco plants
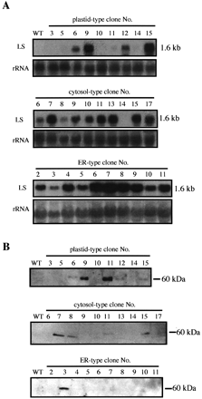
To analyse the mRNA accumulation of introduced LS, RNA gel blot analysis was carried out. Total RNA was extracted from mature leaves of transgenic and wild‐type tobacco plants. RNA gel blot analysis showed that each mRNA for the plastid‐type, cytosol‐type, and ER‐type LS cDNA was highly accumulated in the transgenic tobacco plants (Fig. 3A), while the mRNA levels varied among independent transformants. Accumulation of LS polypeptide in transgenic tobacco was examined by immunoblot analysis (Fig. 3B). Whereas wild‐type tobacco showed no detectable signal for LS, several transgenic tobaccos showed evident signals. The accumulation level of LS protein in cytosol‐type clones are apparently lower than in plastid‐type transformants, because a 4‐fold higher amount of protein was needed to detect the cytosol‐type LS polypeptide compared with the plastid‐type clones (Fig. 3B). In plastid‐ and cytosol‐type transformants, there is a weak correlation between mRNA and protein accumulation, with the exceptions of Nos 11 and 15 for the plastid‐type and Nos 8 and 13 for the cytosol‐type clones. Among the ER‐type clones, only one line, No. 3, gave a clear band in the immunoblot analysis.
The activity of LS in these transgenic tobacco plants was then measured (Fig. 4). Cell‐free extracts from tobacco leaves with plastid‐ or cytosol‐type LS showed high LS activities that were higher than those of whole seedlings of Perilla (0.045 nmol h–1 mg–1 total protein) or spearmint seedlings (0.11 nmol h–1 mg–1 total protein) (Gershenzon et al., 1992). Comparing these two types of LS transformants, plastid‐type clones revealed higher enzyme activity than cytosol‐type clones. The difference in LS activity between the plastid‐type and the cytosol‐type seemed to coincide with the accumulation level of the LS polypeptide, whereas no LS activity was seen in cell‐free extracts of transformants with an ER‐type LS (Fig. 4). Further analyses were performed with transformants with LS activity only.
Detection and identification of limonene in transgenic tobaccos
Since both plastid‐ and cytosol‐type LS proteins were active in transgenic tobacco plants, monoterpenes were analysed in the leaf extracts of representative transgenic tobacco clones with the highest LS activity, i.e. plastid‐type No. 6 and cytosol‐type No. 6. GC–MS analysis clearly indicated that both transgenic tobacco plants produced limonene, while wild‐type tobacco did not (Fig. 5A). Limonene production level of the plastid‐type No. 6 was 143 ng g–1 fresh weight, and of the cytosol‐type No. 6 was 40 ng g–1 fresh weight, respectively, which was estimated by the peak height normalized with that of an internal standard.
In tobacco plants, it was reported that methyl jasmonate treatment induced the transcriptional activation of a sesquiterpene synthase, epi‐aristolochene synthase, which resulted in the accumulation of capsidiol, a sesquiterpene phytoalexin (Mandujano‐Chavez et al., 2000). It is expected that the treatment of methyl jasmonate also increases the basal metabolic flux toward prenyl diphosphate, which may increase the supply of GPP that is trapped by LS. Indeed, limonene production was increased 20 h after methyl jasmonate (100 µM) addition to both transformants (plastid‐type No. 6, 385 ng g–1 fresh weight; cytosol‐type No. 6, 119 ng g–1 fresh weight).
Analysis of limonene in headspace
Since limonene is volatile, volatile compounds in the headspace were also analysed by absorbing them with an activated carbon cartridge. GC–MS and GLC analyses showed that both plastid‐type No. 6 and cytosol‐type No. 6 transformants actually emitted limonene into the headspace and the production level of the limonene emitted from these clones was calculated to be about 13 ng d–1 and 17 ng d–1, respectively, per c. 12 cm of each tobacco plant grown in a 300 ml flask. Limonene was not detected in wild‐type tobacco (Fig. 5B). The ratio of emitted limonene to limonene in tissue was compared between plastid‐type and cytosol‐type transformants (Table 1). The cytosol‐type LS transformant showed a higher ratio than the plastid‐type transformant, suggesting that the cytosol‐type LS emitted limonene more preferentially to the headspace than plastid‐type clones, whereas that of Perilla was very low compared with tobacco transformants, indicating that limonene is effectively sealed in the glandular trichomes of Perilla plants.
Intracellular localization of LS in transformants
To confirm the subcellular localization of Perilla LS protein in tobacco, intact chloroplasts were isolated from leaves of representative tobacco plants with plastid‐ and cytosol‐type LS. Whereas a high accumulation of LS was observed in the chloroplast fraction of tobacco with plastid‐type LS, that of the cytosol‐type LS tobacco did not show LS accumulation (Fig. 6A). The putative cleavage site of the transit peptide is between R52 and C53, which is predicted by the ChloroP program on CBS servers (http://www.cbs.dtu.dk/). The cytosol‐type LS gave two bands in the immunoblot, and the upper band coincided with the calculated molecular mass, but there is not an appropriate explanation for the lower band. The upper band in the cytosol‐type clone was slightly larger than the mature polypeptide observed in the plastid‐type clones, because the cytosol‐type LS contained part of a transit peptide (16 amino acids), which could not be processed in the cytosol. Immunoblot analysis of phosphoenolpyruvate carboxylase (PEPC) as a marker of cytosolic proteins (Koizumi et al., 1996), indicated that there was negligible contamination of the cytosol in the chloroplast protein fraction (Fig. 6B). These data strongly indicate that both native and designed LS proteins were localized in the desired subcellular compartments.
Discussion
The results clearly indicate that metabolic engineering of monoterpene biosynthesis using LS is feasible in tobacco, which does not produce limonene. While a small amount of monoterpenes is reported to be inducible in tobacco by insect attack (De Moraes et al., 2001), the constituent limonene production by axenic transgenic tobaccos demonstrated in this study offers a possibility that metabolic engineering of monoterpene is not limited to monoterpene‐producing plants. The results also indicated that the expression of LS is the primary determinant for monoterpene biosynthesis, and either plastid‐ or cytosol localization was acceptable for monoterpene biosynthesis. The production of limonene via plastid‐localized LS indicates that GPP derived from a non‐mevalonate pathway, which is the precursor of carotenoids and phytols, could be trapped to give limonene via this foreign monoterpene synthase. Similarly, GPP, as being the biosynthetic intermediate of farnesyl diphosphate (FPP) in cytosol, could also be trapped by the introduced LS, resulting in the in vivo formation of limonene (Fig. 1), although the possibility cannot be excluded that GPP in plastids is transported to the cytosol and is recognized by LS.
In some plant species, the endoplasmic reticulum (ER) is a suitable site for the biosynthesis of lipophilic secondary products that are secreted out of cells (Tsukada and Tabata, 1984). If LS is targeted into ER and the biosynthesized limonene is safely secreted out of the cells, it may be advantageous for the host plant to avoid the cytotoxicity of the monoterpene (Izumi et al., 1999). An attempt was then made to localize LS at the ER in tobacco cells. However, only one clone accumulated LS polypeptide and it did not show LS enzymatic activity. These results suggested that the ER was not a suitable organelle for the localization of LS probably because of the incorrect folding or instability of the protein. A preference was shown for LS localization in plastids, in terms of protein accumulation and enzyme activity. This preference might be due to some properties of native LS as a plastid protein, as shown by the plastid localization of a full‐length LS construct (Fig. 6).
While limonene production was observed in transgenic tobacco, the level was low. There are several possible reasons for this result, for example, the supply of substrate might be limited for monoterpene biosynthesis, since the subcellular GPP level would be tightly controlled in both the plastid and the cytosol by the synthesis of important metabolites such as carotenoids and phytols. Another possibility is that monoterpenes are cytotoxic not only to cancer cells (Boon et al., 2000) and viruses (Armaka et al., 1999), but also to plant cells (Izumi et al., 1999). Glandular trichomes play an important role in avoiding the cytotoxic effect of monoterpenes, and also protects monoterpenes from catabolism or further metabolism. The CaCl2‐treated extract, which cleaved glycoside linkages (Lücker et al., 2001), was also analysed, but it did not show the production of monoterpene glycosides.
There is speculation that the storage capacity for monoterpenes in tobacco might be limited. The representative tobacco with plastid‐type LS No. 6 produced c. 143 ng limonene g–1 fresh leaves, corresponding to c. 2.1 µg plant–1 grown in a flask (12 cm high, c. 15 g), while a relatively large amount of limonene (0.88 µg) was emitted from this plant. Improvements in substrate supply and storage capacity might be future targets for engineering a heterologous host for the effective production of monoterpenes. Further basic studies on cellular differentiation in monoterpene‐producing plants and surveys for a suitable promoter to express the LS gene are also needed.
Acknowledgements
We are grateful to Dr Yasumasa Kuwahara and Dr Naoki Mori of the Graduate School of Agriculture of Kyoto University for GC–MS analyses. This work was supported in part by a Grant‐in‐Aid for Scientific Research (No. 10680565 to KY), and by a grant from the Research for the Future Program, ‘Molecular mechanisms on regulation of morphogenesis and metabolism leading to increased plant productivity’ (No. 00L01605 to KY) from the Ministry of Education, Culture, Sports, Science and Technology of Japan.
Fig. 1. Experimental design for metabolic engineering of monoterpene biosynthesis with LS in tobacco. DXP, 1‐deoxy‐d‐xylulose 5‐phosphate; MEP, 2‐C‐methyl‐d‐erythritol 4‐phosphate; MVA, mevalonate.
Fig. 1. Experimental design for metabolic engineering of monoterpene biosynthesis with LS in tobacco. DXP, 1‐deoxy‐d‐xylulose 5‐phosphate; MEP, 2‐C‐methyl‐d‐erythritol 4‐phosphate; MVA, mevalonate.
Fig. 2. Expression cassettes of LS were designed to target plastid (pBin‐FullLC1), cytosol (pBin‐DeltaLC1) or ER (pBin‐ERLC1), which were subcloned in a binary vector. Each modified LS cDNA was driven by an El2 promoter that had two enhancer sequences in tandem upstream from the CaMV 35S promoter. TP, putative transit peptide of Perilla LS; ERSP, signal peptide for ER‐targeting from Phaseolus vulgaris lectin; KDEL, ER‐retention signal; hpt, hygromycin phosphotransferase; RB, right border; LB, left border; Pnos, nopaline synthase promoter; Tag7, agropine terminator 7.
Fig. 2. Expression cassettes of LS were designed to target plastid (pBin‐FullLC1), cytosol (pBin‐DeltaLC1) or ER (pBin‐ERLC1), which were subcloned in a binary vector. Each modified LS cDNA was driven by an El2 promoter that had two enhancer sequences in tandem upstream from the CaMV 35S promoter. TP, putative transit peptide of Perilla LS; ERSP, signal peptide for ER‐targeting from Phaseolus vulgaris lectin; KDEL, ER‐retention signal; hpt, hygromycin phosphotransferase; RB, right border; LB, left border; Pnos, nopaline synthase promoter; Tag7, agropine terminator 7.
Fig. 3. Expression of limonene synthase at mRNA and polypeptide level in the transgenic tobacco plants. (A) RNA gel blot analyses of limonene synthase mRNA level in independent transformants. rRNA is used as the load control. Ten micrograms of total RNA (per lane) is loaded. The hybridization probe is full‐length cDNA of Perilla LS. (B) Immunoblot analyses of cell‐free extracts of transgenic tobacco clones using anti‐LS antibody. Ten micrograms of protein (per lane) was loaded for plastid‐type, forty micrograms of protein (per lane) was loaded for cytosol‐type and ER‐type. WT, wild‐type tobacco; LS, Perilla LS.
Fig. 3. Expression of limonene synthase at mRNA and polypeptide level in the transgenic tobacco plants. (A) RNA gel blot analyses of limonene synthase mRNA level in independent transformants. rRNA is used as the load control. Ten micrograms of total RNA (per lane) is loaded. The hybridization probe is full‐length cDNA of Perilla LS. (B) Immunoblot analyses of cell‐free extracts of transgenic tobacco clones using anti‐LS antibody. Ten micrograms of protein (per lane) was loaded for plastid‐type, forty micrograms of protein (per lane) was loaded for cytosol‐type and ER‐type. WT, wild‐type tobacco; LS, Perilla LS.
Fig. 4. Enzyme activity of LS in transgenic tobacco plants. WT, wild‐type tobacco plants. The results are the mean ±standard deviation of three replicates. The assay conditions for the enzyme activity are described in the Experimental section.
Fig. 4. Enzyme activity of LS in transgenic tobacco plants. WT, wild‐type tobacco plants. The results are the mean ±standard deviation of three replicates. The assay conditions for the enzyme activity are described in the Experimental section.
Fig. 5. GC–MS analysis of transgenic tobacco. (A) Total ion chromatograms of leaf extracts of transgenic tobacco (left), and mass spectra (right) at the retention time of limonene indicated by arrows. (B) Total ion chromatogram of the headspace extracts of a transgenic tobacco plant (plastid‐type clone No. 6). Arrowheads indicate the retention time of limonene. The mass fragmentation pattern of the peak with the same retention time as limonene is indicated in the chromatogram.
Fig. 5. GC–MS analysis of transgenic tobacco. (A) Total ion chromatograms of leaf extracts of transgenic tobacco (left), and mass spectra (right) at the retention time of limonene indicated by arrows. (B) Total ion chromatogram of the headspace extracts of a transgenic tobacco plant (plastid‐type clone No. 6). Arrowheads indicate the retention time of limonene. The mass fragmentation pattern of the peak with the same retention time as limonene is indicated in the chromatogram.
Fig. 6. Intracellular localization of LS polypeptide in transgenic tobacco plants. (A) Immunoblot analysis of representative clones expressing LS polypeptide with anti‐LS antibodies. Each protein sample contained 40 µg. Intactness of plastids was calculated to be c. 70%. (B) PEPC, a marker of cytosol‐localized protein, as detected by anti‐PEPC antibodies (Koizumi et al., 1996). Total soluble protein (T) and the protein extracted from isolated chloroplasts (C) are loaded on the SDS‐PAGE. WT, wild‐type tobacco plant.
Fig. 6. Intracellular localization of LS polypeptide in transgenic tobacco plants. (A) Immunoblot analysis of representative clones expressing LS polypeptide with anti‐LS antibodies. Each protein sample contained 40 µg. Intactness of plastids was calculated to be c. 70%. (B) PEPC, a marker of cytosol‐localized protein, as detected by anti‐PEPC antibodies (Koizumi et al., 1996). Total soluble protein (T) and the protein extracted from isolated chloroplasts (C) are loaded on the SDS‐PAGE. WT, wild‐type tobacco plant.
Production ratio of emitted limonene to limonene contained in leaves of tobacco transformant and Perilla frutescens
| Plant | Limonene production | Ratio | |
| (headspace:leaf) | |||
| Headspace | Leaf | ||
| (ng month‐1 g‐1 FWa) | (ng g‐1 FW) | ||
| Plastid‐type No. 6 | 26.1 | 143 | 0.18:1 |
| Cytosol‐type No. 6 | 42.9 | 40 | 1.07:1 |
| Perilla | 984.0 | 198 000 | 0.005:1 |
| Plant | Limonene production | Ratio | |
| (headspace:leaf) | |||
| Headspace | Leaf | ||
| (ng month‐1 g‐1 FWa) | (ng g‐1 FW) | ||
| Plastid‐type No. 6 | 26.1 | 143 | 0.18:1 |
| Cytosol‐type No. 6 | 42.9 | 40 | 1.07:1 |
| Perilla | 984.0 | 198 000 | 0.005:1 |
a FW, fresh weight.
Production ratio of emitted limonene to limonene contained in leaves of tobacco transformant and Perilla frutescens
| Plant | Limonene production | Ratio | |
| (headspace:leaf) | |||
| Headspace | Leaf | ||
| (ng month‐1 g‐1 FWa) | (ng g‐1 FW) | ||
| Plastid‐type No. 6 | 26.1 | 143 | 0.18:1 |
| Cytosol‐type No. 6 | 42.9 | 40 | 1.07:1 |
| Perilla | 984.0 | 198 000 | 0.005:1 |
| Plant | Limonene production | Ratio | |
| (headspace:leaf) | |||
| Headspace | Leaf | ||
| (ng month‐1 g‐1 FWa) | (ng g‐1 FW) | ||
| Plastid‐type No. 6 | 26.1 | 143 | 0.18:1 |
| Cytosol‐type No. 6 | 42.9 | 40 | 1.07:1 |
| Perilla | 984.0 | 198 000 | 0.005:1 |
a FW, fresh weight.








Comments