- Split View
-
Views
-
CiteCitation
Tibor Kalmár, Csanád Z. Bachrati, Antónia Marcsik, István Raskó; A simple and efficient method for PCR amplifiable DNA extraction from ancient bones, Nucleic Acids Research, Volume 28, Issue 12, 15 June 2000, Pages e67, https://doi.org/10.1093/nar/28.12.e67
Download citation file:
© 2018 Oxford University Press
Close -
Share
Abstract
A simple and effective modified ethanol precipitation-based protocol is described for the preparation of DNA from ancient human bones. This method is fast and requires neither hazardous chemicals nor special devices. After the powdering and incubating of the bone samples Dextran Blue was added as a carrier for removing the PCR inhibitors with selective ethanol precipitation. This method could eliminate the time-consuming separate decalcification step, dialysis, application of centrifugation-driven microconcentrators and the second consecutive PCR amplification. The efficiency of this procedure was demonstrated on ten 500–1200-year-old human bones from four different Hungarian burial sites. A mitochondrial specific primer pair was used to obtain sequence information from the purified ancient DNA. The PCR amplification, after our DNA extraction protocol, was successful from each of the 10 bone samples investigated. The results demonstrate that extraction of DNA from ancient bone samples with this new approach increases the success rate of PCR amplification.
Received March 7, 2000; Revised and Accepted April 27, 2000.
INTRODUCTION
Extraction and successful PCR amplification of DNA from human remains in historical and forensic cases has great importance, but is particularly difficult because the methods employed at present are not always satisfactory. Previous studies have shown that DNA can persist in ancient remains and the best subjects for such investigations are bone and tooth samples since they are much more abundant than soft tissue remains and generally better preserved (1,2).
The factors that commonly prevent PCR amplification of DNA from ancient remains may vary between burial sites. They may originate either from the environment of the remains in the form of humic acid, fulvic acid, hidroxi-apatite, tannin and contaminating DNA, or from degradation in the biological sample (3–9). Ancient DNA is heavily modified and these modifications, which are mainly attributed to oxidative processes, are responsible for the low recovery rate of undamaged DNA from archaeological specimens (4,10). In the case of bone, collagen type I (11) and Maillard products (2,4,12) are the main inhibitory factors of successful PCR amplifications.
The first steps of DNA extraction in the majority of the previously published methods were the powdering of bone material and incubation in various extraction buffers (2,4,13–16). Classically, in the next step the DNA was extracted with phenol-chloroform (2,4,7,15,17–20) or the extract was dialysed against EDTA and Tris–HCl buffered solution (2,7). After extraction, the aqueous phase was concentrated by means of ethanol or isopropanol precipitation (2,16,17,21), or microconcentrators (4,7,20,22). Alternatively, after the incubation step, DNA could be separated with glass-milk or silica suspension and could be eluted from silica pellet (17,21,23–25). The Chelex-based method involved boiling the bone powder in Chelex suspension, followed by PCR amplification of the supernatant (18,26).
Experiments that compared the phenol-chloroform and Chelex techniques concluded that although the Chelex method was simple and fast, inhibitory substances had not been eliminated in most of the cases (27). Another study showed that sodium-acetate-isopropanol extraction was possibly better than the phenol-chloroform method and resulted in about three times the quantity of extracted DNA than the glass-milk method (21). According to the available data the isopropanol-based method seems to be the most efficient technique for extracting DNA from ancient remains.
A simple and useful carrier-mediated ethanol precipitation-based method is described here for the extraction of PCR amplifiable DNA from ancient bones. According to our judgement this protocol is superior to the previous techniques; it has the advantages of the isopropanol-based method and, in addition, the success rate of extraction is higher and results in DNA free from inhibitory impurities. It does not involve hazardous organic solvents, special devices or numerous enzymes, which increase the possibility of contamination and DNA degradation (4,22,28,29). The efficiency of this protocol is demonstrated on 10 human bone samples originating from the 7th to 15th centuries.
MATERIALS AND METHODS
Samples
The bones were provided by the Department of Anthropology (University of Szeged, Hungary) and derived from four different well-documented Hungarian excavations from 7th–15th century cemeteries (30–33). The gender of the remains was determined by anthropometric evaluations. The other characteristics of the bone samples are listed in Table 1.
Contamination precaution
In order to prevent possible contamination all stages of the work were carried out under sterile conditions, using latex gloves, mouth masks and Plexiglas facemasks. All appliances, containers and the work areas (laminar airflow surface, PCR box) were cleaned and irradiated with 1.0 J/cm2 UV-C light for at least 60 min. The extraction buffer (without proteinase K), Dextran Blue solution, NH4-acetate and deionised, distilled water were irradiated for 30 min. All steps (bone cutting, surface removing, powdering, extraction and amplification) were carried out in separate places. Throughout all manipulations Aer ultra micro sterile tips (ELKay, Costelloe, Ireland) were used for pipetting.
DNA extraction
Surface material was removed from the bones by washing with diluted bleach and distilled water. A 2 × 5 cm portion was cut from each bone diaphysis, and the surfaces of these portions were removed (at least 2–3 mm deep) with a sand disk in order to get rid of modern DNA contamination. The cleaned bone fragments were treated with UV light at 1.0 J/cm2 for 30 min, and mechanically ground into a fine meal in a sterile agate mortar. Physically powdered bone (750 mg) was suspended in 1.6 ml extraction buffer (0.1 M EDTA, 0.5% N-laurylsarcosine-Na salt, 100 mg/ml proteinase K), vortexed and incubated overnight at 37°C with continuous vertical rotation. After phase separation by centrifugation at room temperature at 12 000 r.p.m. for 10 min, 250 µl supernatant was transferred to a 1.5 ml Eppendorf tube and 3.5 µl 1 µg/µl Dextran Blue (Sigma, Budapest, Hungary), 250 µl 4 M NH4-acetate and 500 µl 96% EtOH were added and mixed by vortexing. Dextran Blue has large size (greater than 2 million molecular mass), effectively coprecipitates low concentrations of DNA and colours the pellet. PCR is inhibited in a dose-dependent manner at concentrations of Dextran Blue only >125 µg/ml. It remains in the well during the gel run and thus does not interfere with sequence recordings (34).
The DNA was precipitated at –70°C for 7 min and centrifuged at 14 000 r.p.m. at 4°C for 15 min. The pellet was redissolved in 20–30 µl deionised, distilled water. The remaining extract was stored at –20°C.
Amplification
A typical amplification reaction contained 2–7 µl of bone extract, 1 U Taq DNA polymerase (Zenon Biotechnology Ltd, Szeged, Hungary), 160 µg/ml BSA (Boehringer Mannheim, Mannheim, Germany), 200 µM each of dNTP (Boehringer Mannheim), 20 pmol each of mtDNA-specific primers (Table 2), 1× PCR Buffer (Perkin Elmer Cetus, Budapest, Hungary) in 25 µl total volume. Denaturation was at 93°C for 5 min, followed by 35 cycles of denaturation at 93°C for 1 min, annealing at 58°C for 1 min and extension at 72°C for 1 min. The last cycle was followed by an extra extension step at 72°C for 5 min. Amplification reactions were prepared in a PCR box using dedicated pipettes that had never been in contact with amplified DNA.
The efficiency and reliability of PCR reactions was monitored by two parallel control reactions: an extraction control to check the purity of the mock DNA extraction with no bone added and an amplification control to check the purity of the PCR reagents with no DNA added.
In order to check the fragment size and quality of amplification one-fifth of the PCR product was run on a 5% native polyacrylamide gel.
Sequencing
After successful and contamination-free amplification, three-fifths of the volume of the PCR products were run on a 1.5% agarose gel. The specific bands were cut out from the gel, recovered and 90–120 ng redissolved PCR products were directly sequenced with ABI Prism 310 sequencer (Perkin Elmer). The primers for sequencing were the same as those used for amplification.
RESULTS AND DISCUSSION
Hänni et al. published an isopropanol-based precipitation method (2) that could eliminate the time-consuming dialysis of the bone DNA extract and the concentration step by centrifugation-driven microconcentrator. It was found that isopropanol precipitation after the phenol-chloroform extraction step strongly reduced the blurring blue fluorescence present on agarose gels. It was also demonstrated that the intensity of blue fluorescence (which was derived from Maillard products of reducing sugars) showed strong correlation with PCR inhibitory activity. The authors however noted that they could find various levels of remaining blue fluorescence and PCR inhibitory activity in samples extracted by their method.
Similarly in our experiments, using the previously published method shown in Figure 1A, Maillard products were present in the DNA extract from ancient bone. Besides the presence of Maillard products, the extract produced inhibitory activity in PCR reactions of control DNA as seen in Figure 1B. The inhibition was decreased by increased dilution of the extract. These impurities could prevent the successful amplification of mitochondrial DNA fragments from ancient bone samples. As depicted in Figure 1C, where the electrophoretic profile of the DNA isolated by our method is shown, there is no detectable blue fluorescence on the agarose gel and the length of the majority of intact template molecules is <400 bp. The extract produced by this new method has no inhibitory activity in PCR reactions as seen in Figure 1D. The general lack of inhibition in our extracts could be due to the removal of the bone surfaces and the application of Dextran Blue which precipitates only the DNA.
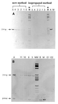
As depicted in Figure 2A a 239 bp mtDNA fragment from the hypervariable region I was successfully amplified from ancient bone DNA extracted by our new method but failed using the isopropanol extraction protocol. The amplification with 35 cycles of this fragment was successful from each of the 10 bone samples while the fragment was absent in both the extraction (E) and amplification (B) controls (Fig. 2B). In the isopropanol precipitation method due to the presence of remaining inhibitors two consecutive PCR amplifications with 40 cycles each were needed to obtain sufficient amounts of PCR product for sequencing, while in our technique only one round of PCR amplification was needed with 35 cycles. This considerably reduced the chance of contamination and provided the successful removal of the inhibitors.
The unsuccessful amplification of the partial overlapping 406 bp mtDNA fragment from the hypervariable region I (data not shown) also supports the statement that the 239 bp fragment genuinely came from the ancient DNA. The amplified 239 bp PCR products were successfully sequenced in both directions in all cases and showed mitochondrial identity (GenBank accession numbers AF228540–AF228549).
The simple and efficient carrier-mediated ethanol precipitation protocol presented here could be useful for PCR amplifiable DNA extraction from ancient remains of excavated burial sites where the previously published methods failed.
ACKNOWLEDGEMENTS
The authors would like to thank Mrs Mária Radó and Mrs Gabriella Lehöcz for skilled technical assistance; Dr S. J. Devlin for critical reading of the manuscript; for the support and encouragement of Lajos Keszthelyi during the entire project. This work was supported by grants OTKA T021318 from the Hungarian National Scientific Research Fund to I.R.
To whom correspondence should be addressed. Tel: +36 62 432 080; Fax: +36 62 433 503; Email: klampar@nucleus.szbk.u-szeged.hu
Figure 1. Comparison of the presence of Taq inhibitor(s) in the DNA extract purified by the previously published isopropanol-based and the new carrier-mediated methods and determination of the degree of degradation of extracted ancient bone DNA. (A) The inhibitors destroyed the structure of the 1% agarose gel. Lane MW, Lambda/HindIII molecular weight marker; lane B3, ancient bone (no. 3) extract. Under the UV-light the ‘bulb’ could be seen as a blue cloud formed by the Maillard-product. (B) Amplification-inhibitory effect of the DNA extract from ancient bone no. 3 produced by the isopropanol-based method. By increasing the amount of bone extract a reduction of the 406 bp fragment from a blood sample was observed (0–5 µl bone extract in 50 µl total reaction volume, in lanes 0–5, respectively). Lane MW, 100 bp molecular weight marker (MBI Fermentas, Vilnius, Lithuania). (C) Fragmented ancient bone DNA extracted by carrier-mediated ethanol-based precipitation method, compared to DNA from whole blood and hair extracted by phenol-chloroform extraction method after digestion with proteinase K. Lane MW, 100 bp molecular weight marker (MBI Fermentas); lanes B3 and B7, DNA extracted from bone no. 3 and 7, respectively. (D) Amplification-inhibitory effect of the DNA extract from ancient bone no. 3 by our new protocol. By increasing the amount of bone extract no effect of the amount of the 406 bp fragment from a blood sample was observed (0–5 µl bone extract in 50 µl total reaction volume, in lanes 0–5, respectively). Lane MW, 100 bp molecular weight marker (MBI Fermentas).
Figure 1. Comparison of the presence of Taq inhibitor(s) in the DNA extract purified by the previously published isopropanol-based and the new carrier-mediated methods and determination of the degree of degradation of extracted ancient bone DNA. (A) The inhibitors destroyed the structure of the 1% agarose gel. Lane MW, Lambda/HindIII molecular weight marker; lane B3, ancient bone (no. 3) extract. Under the UV-light the ‘bulb’ could be seen as a blue cloud formed by the Maillard-product. (B) Amplification-inhibitory effect of the DNA extract from ancient bone no. 3 produced by the isopropanol-based method. By increasing the amount of bone extract a reduction of the 406 bp fragment from a blood sample was observed (0–5 µl bone extract in 50 µl total reaction volume, in lanes 0–5, respectively). Lane MW, 100 bp molecular weight marker (MBI Fermentas, Vilnius, Lithuania). (C) Fragmented ancient bone DNA extracted by carrier-mediated ethanol-based precipitation method, compared to DNA from whole blood and hair extracted by phenol-chloroform extraction method after digestion with proteinase K. Lane MW, 100 bp molecular weight marker (MBI Fermentas); lanes B3 and B7, DNA extracted from bone no. 3 and 7, respectively. (D) Amplification-inhibitory effect of the DNA extract from ancient bone no. 3 by our new protocol. By increasing the amount of bone extract no effect of the amount of the 406 bp fragment from a blood sample was observed (0–5 µl bone extract in 50 µl total reaction volume, in lanes 0–5, respectively). Lane MW, 100 bp molecular weight marker (MBI Fermentas).
Figure 2. PCR amplification of the human mitochondrial hypervariable region I (positions 16182–16420) from ancient bone samples with 35 cycles. (A) Amplification of a 239 bp fragment from ancient bone no. 3 after the isopropanol-based or the Dextran Blue mediated extraction methods. Lane A, PCR positive control from a blood sample; lanes 0–5, 0–5 µl bone as template; lane MW, molecular weight marker (pBR322/HaeIII); lane M, PCR amplification mix control. (B) Test for the amplification authenticity of the ancient DNA extracts. Lane A, PCR positive control from a blood sample; lanes 11–3, ancient bone samples no. 11–no. 3; lane MW, molecular weight marker (pBR322/HaeIII); lane B, amplification control; lane M, PCR amplification mix control; lanes E1 and E2, the extraction controls.
Figure 2. PCR amplification of the human mitochondrial hypervariable region I (positions 16182–16420) from ancient bone samples with 35 cycles. (A) Amplification of a 239 bp fragment from ancient bone no. 3 after the isopropanol-based or the Dextran Blue mediated extraction methods. Lane A, PCR positive control from a blood sample; lanes 0–5, 0–5 µl bone as template; lane MW, molecular weight marker (pBR322/HaeIII); lane M, PCR amplification mix control. (B) Test for the amplification authenticity of the ancient DNA extracts. Lane A, PCR positive control from a blood sample; lanes 11–3, ancient bone samples no. 11–no. 3; lane MW, molecular weight marker (pBR322/HaeIII); lane B, amplification control; lane M, PCR amplification mix control; lanes E1 and E2, the extraction controls.
Table 1. The origin, age, sex and type of the investigated 10 bone samples
– denotes where a feature is unknown.
Table 1. The origin, age, sex and type of the investigated 10 bone samples
– denotes where a feature is unknown.
Table 2. Primers used in this study
The letters H and L refer to the heavy and light strands of the mtDNA and the numbers refer to the position of the 5′ base of the primer in the complete human mitochondrial DNA sequence (35). 239 and 406 bp fragments from the hypervariable region I were amplified with primer pairs H16420–L16182 and H16401–L15996, respectively.
Table 2. Primers used in this study
The letters H and L refer to the heavy and light strands of the mtDNA and the numbers refer to the position of the 5′ base of the primer in the complete human mitochondrial DNA sequence (35). 239 and 406 bp fragments from the hypervariable region I were amplified with primer pairs H16420–L16182 and H16401–L15996, respectively.





Comments