- Split View
-
Views
-
CiteCitation
J. A. Stuart, S. Mayard, K. Hashiguchi, N. C. Souza-Pinto, V. A. Bohr; Localization of mitochondrial DNA base excision repair to an inner membrane-associated particulate fraction, Nucleic Acids Research, Volume 33, Issue 12, 1 January 2005, Pages 3722–3732, https://doi.org/10.1093/nar/gki683
Download citation file:
© 2018 Oxford University Press
Close -
Share
Abstract
Mitochondrial DNA (mtDNA) contains high levels of oxidative damage relative to nuclear DNA. A full, functional DNA base excision repair (BER) pathway is present in mitochondria, to repair oxidative DNA lesions. However, little is known about the organization of this pathway within mitochondria. Here, we provide evidence that the mitochondrial BER proteins are not freely soluble, but strongly associated with an inner membrane-containing particulate fraction. Uracil DNA glycosylase, oxoguanine DNA glycosylase and DNA polymerase γ activities all co-sedimented with this particulate fraction and were not dissociated from it by detergent (0.1% or 1.0% NP40) treatment. The particulate associations of these activities were not due to their binding mtDNA, which is itself associated with the inner membrane, as they also localized to the particulate fraction of mitochondria from 143B (TK − ) ρ 0 cells, which lack mtDNA. However, all of the BER activities were at least partially solubilized from the particulate fraction by treatment with 150–300 mM NaCl, suggesting that electrostatic interactions are involved in the association. The biological implications of the apparent immobilization of BER proteins are discussed.
INTRODUCTION
Mitochondria are enclosed by a double membranous structure ( 1 ). The inner membrane forms cristae and contains the respiratory complexes that catalyze oxidative phosphorylation. Mitochondrial DNA (mtDNA) is also partially associated with the inner membrane ( 2 , 3 ). Perhaps as a result of this proximity to respiration, mtDNA is subjected to continuous oxidation by reactive oxygen species, resulting in steady-state levels of oxidative lesions several-fold higher than those found in nuclear DNA ( 4 ). Many of these lesions, like the most extensively investigated 8-oxo-deoxyguanine (8-oxodG) ( 5 ), are mutagenic and therefore compromise mitochondrial genomic stability. Mitochondria contain enzymes whose function is to remove these lesions, thus reversing the effects of oxidation and preventing mutation ( 6 ). Oxidative DNA damage, such as 8-oxodG, is primarily repaired by the base excision repair (BER) pathway in the nucleus. In mitochondria, BER is the only complete biochemical pathway for oxidative mtDNA damage repair known to be present. BER is also involved in removal of other small base modifications such as uracil and alkylation damage in mtDNA. The pathway includes four distinct steps: lesion removal by a glycosylase, abasic site processing by an apurinic/apyrimidinic (AP) endonuclease, insertion of a new nucleotide by polymerase γ and ligation of the broken strand by DNA ligase. Although BER activities can be readily measured in vitro , the exact identities of all of the proteins involved in mitochondrial BER are not yet established. Similarly, details of the mechanisms by which mtDNA is repaired are presently lacking.
There is evidence that several of the mtDNA glycosylases are not freely soluble in the matrix, but rather associated with the inner membrane. Immunohistochemistry ( 7 ) and overexpression of hemagglutinin-tagged proteins ( 8 ) both suggest that OGG1 and mutY homologue (MYH) maintain an association with the inner membrane. The nature of the association remains unknown, but it has important implications for mtDNA repair. If mtDNA repair proteins are membrane-bound, or immobilized as part of a membrane-bound repair complex, their movements may be limited, which will have implications for the modes of mtDNA repair that will be possible. On the other hand, the observed localization of DNA repair proteins to the inner membrane may result simply from their binding to mtDNA, which is in turn attached to the membrane ( 3 ).
Mammalian cells in culture can be purged of their mtDNA, and though they lose their ability to respire, survive in oxygenated medium via anaerobic glycolysis ( 9 ). The mtDNA-less (ρ 0 ) mitochondria maintain a reduced but significant membrane potential by an electrogenic exchange of ADP/ATP combined with the ATPase activity of the nuclear-encoded F 1 -ATPase ( 10 ). Though these ρ 0 cells lack mtDNA, many nuclear-encoded proteins involved in mtDNA replication ( 11 ) and repair continue to be synthesized and imported, and all BER activities are present, though typically at reduced levels ( 12 ). The ρ 0 cells thus provide a useful model with which to investigate the question of whether the inner membrane association of mtDNA repair proteins results from their binding to replicating mtDNA, or is a direct interaction with the membrane, or another membrane-associated component.
Here, we have investigated the sub-mitochondrial organization of BER, and describe the nature of the interactions involved in maintaining BER proteins in particulate fractions. We have used ρ 0 cells to ask whether the membrane association of BER is due to their association with mtDNA, which in turn is anchored to the inner membrane. We also provide evidence showing that mitochondrial BER may be a component of the mitochondrial nucleoid.
MATERIALS AND METHODS
Chemicals
Leupeptin, E-64 and chymostatin were from Roche (Indianapolis, IN). Isotopes were from NEN Life Sciences (Boston, MA), Sephadex G-25 spin columns were from Amersham (Piscataway, NJ). T4 polynucleotide kinase was from Stratagene (San Diego, CA). Cell culture media and western blot materials were from Invitrogen (Carlsbad, CA). Antibodies were from Santa Cruz Biotechnology (Santa Cruz, CA), Novus Biologicals (Littleton, CO) and Novocastra Laboratories (Newcastle upon Tyne, UK). All other reagents were of ACS grade and from Sigma (St Louis, MO).
Cell culture
GM1310 human lymphoblast cells (Coriell cell repositories, USA) were grown in a humidified 5% CO 2 atmosphere in RPMI medium supplemented with 10% fetal bovine serum, 1% penicillin/streptomycin and 2 mM glutamine. Approximately 100 large flasks were grown to ∼70% confluence and harvested as described below.
mtDNA-less (ρ 0 ) 143B TK − human osteosarcoma cells (ATCC CRL 8303) were a generous gift from Guiseppe Attardi (California Institute of Technology). Wild-type (wt) 143B TK − cells were acquired from the American Type Cell Collection (ATCC). WT and ρ 0 cells were cultured under identical conditions, in a humidified 5% CO 2 atmosphere in DMEM medium, supplemented with 1% penicillin/streptomycin, 10% fetal bovine serum, 100 μg/ml pyruvate, 100 μg/ml bromodeoxyuridine and 50 μg/ml uridine. Approximately 60 large (150 mm) plates of wt and ρ 0 143B TK − cells were grown to 80% confluence and harvested as described below.
Isolation of mitochondria from GM1310 and 143B cells
Harvested cells were washed twice in phosphate-buffered saline (PBS) and then resuspended in 7 ml of MSHE homogenization buffer (210 mM mannitol, 70 mM sucrose, 10 mM HEPES (pH 7.4), 1 mM EGTA, 2 mM EDTA, 0.15 mM spermine, 0.75 mM spermidine and 1 mM DTT), with the following protease inhibitors added immediately prior to use: 1 μg/ml chymostatin, 2 μg/ml leupeptin, 2 μM benzamide, 1 μM E-64 and 1 mM phenylmethlysulfonyl fluoride. Cells were homogenized with a Potter–Elvejhem glass/glass homogenizer. The homogenate was centrifuged at 500 g for 12 min. The supernatant was transferred to a new tube and centrifuged at 10 000 g for 10 min. The pellet was homogenized and centrifuged a second time. The 10 000 g pellets (crude mitochondrial fraction) were combined. The combined 10 000 g pellets were layered onto a 1:1 Percoll: 2× MSHE gradient and centrifuge at 50 000 g for 1 h 10 min. The mitochondrial layer, in the middle of the gradient, was collected and washed twice in homogenization buffer, then resuspended in 300 μl MSHE. Protein concentration was determined by BioRad assay using BSA as standard, and mitochondrial fractions were stored at −80°C. The contamination of mitochondrial fractions with nuclear proteins was assessed using western blot to probe for Lamin B, an abundant structural protein with nucleus-specific localization.
Mitochondrial subfractionation
The general scheme of mitochondrial fractionation is presented in Figure 1 . Mitochondria were initially disrupted by one of two methods. The first method was rapid freeze–thaw in hypotonic potassium phosphate buffer. A thawed aliquot of mitochondria (WM; ∼25 mg protein/ml) was diluted 1:4 in 25 mM potassium phosphate, pH 7.2, and subjected to three rounds of freeze–thaw, then centrifuged at 130 000 g for 1 h. A volume of potassium phosphate buffer equal to the initial volume was added to the pellet (P1) and briefly sonicated (on ice). The supernatant (S1) was also briefly sonicated. The second method of mitochondrial disruption was sonication. All subsequent procedures were carried out on ice. Mitochondria suspended in MSHE were subjected to four 5 s bursts at 5 W, with 1–2 min between each burst. Homogenates were centrifuged at 130 000 g for 1 h. A volume of MSHE equal to the starting volume was added to the resultant pellet (P1) and sonicated briefly. The supernatant was also sonicated briefly. Both methods of fractionation gave similar results, and only P1 fractions prepared by sonication were used for further fractionation.
The particulate (P1) fractions prepared by sonication were further fractionated by incubation with non-ionic detergent (0.1% or 1.0% NP40) or with 0.1% NP40 plus 150 or 300 mM NaCl for 30 min on ice, followed by centrifugation for 1 h at 20 000 g . The resultant pellets (P2) were re-solubilized by addition of an equal volume of starting buffer plus NP40 or NP40 plus NaCl, and repeated pipetting and vortexing to homogeneity.
Citrate synthase distribution in mitochondrial subfractions
Citrate synthase (CS) was used as a marker of soluble mitochondrial matrix proteins. CS activity was measured at 30°C in a Perkin Elmer UV-Vis spectrophotometer at 412 nm. Assay conditions were 20 μg WM protein, or an equal volume of P1 or S1 fractions in 50 mM Tris (pH 8.0), 0.5 mM DTNB, 0.1 mM acetyl-CoA, 0.5 mM oxaloacetate and 0.05% Triton X-100. Oxaloacetate was omitted to establish a background rate of DTNB-CoA formation.
Western blotting
Whole mitochondria, and subfractions thereof, were diluted 1:1 in SDS protein loading buffer supplemented with 50 mM 2-mercaptoethanol, sonicated, heated at 90°C for 10 min and cleared by centrifugation at 13 000 g for 5 min. For Lamin B detection, ∼50 μg of sample protein was loaded onto 12% Tris–glycine gels and electrophoresed at 130 V for 1.5 h. For most other western blots, 50 μg of WM or P1 protein, and an equal volume of other subfractions, were loaded. For NP40 solubilization of βOGG1 and COXIV, 5 μg of WM protein, and an equal volume of subfractions were loaded. Gels were transferred to PVDF membranes (0.2 μm pore size; Invitrogen) at 250 mA for 2 h in transfer buffer containing 20% methanol. Membranes were blocked either 1 h at room temperature (RT) or overnight at 4°C in PBST (0.1% Tween-20) + 5% milk protein. Incubation with primary antibodies was in PBST + 5% milk protein, either 1 h at RT or overnight at 4°C, with the following antibodies and conditions: Lamin B (1:500; Novocastra); COX IV (1:1000; Santa Cruz); βOgg1 (1:1000; Novus); α-OGG1 (1:100; Assay Designs); Endonuclease G (1:1000; Calbiochem) mtTFA (1:1000; Santa Cruz) and DNA ligase III (1:100; Pharmigen). Secondary anti-mouse, anti-rabbit or anti-goat antibodies were applied at 1:1000–1:5000 and membranes incubated at RT for 1 h. Membranes were then washed repeatedly with PBST and visualized using ECLPlus (Amersham).
Uracil DNA glycosylase
Uracil DNA glycosylase (UDG) activities were determined by incubation of 1 μg WM, or an equal volume of mitochondrial subfractions, with 90 fmol of 32 P-end labeled uracil-containing oligonucleotide (U; Table 1 ) for 30 min at 37°C, in 10 μl reaction buffer containing 70 mM HEPES–KOH (pH 7.5), 1 mM EDTA, 1 mM DTT, 75 mM NaCl, 0.05% BSA and 2 ng of Escherichia coli endonuclease IV. Endonuclease IV (kindly provided by David Wilson, NIA) was included to ensure incision of the abasic site following uracil removal even in fractions deficient in AP endonuclease activity (ρ 0 mitochondria). Reactions were terminated by addition of 10 μl formamide loading buffer (80% formamide, 10 mM EDTA, 1 mg/ml xylene cyanol FF and 1 mg/ml bromophenol blue) and heating at 90°C for 10 min. Reaction substrates and products were visualized and quantitated as described below.
OGG1 activity
OGG1 activity was measured as incision of an 8-oxodG-containing 28mer oligonucleotide (OG; Table 1 ): 10 μl reactions contained 40 mM HEPES (pH 7.6), 5 mM EDTA, 1 mM DTT, 75 mM KCl, 10% glycerol, 88.8 fmol of oligonucleotide and 5 μg of WM or an equal volume of subfractions. Reactions were incubated for 4 h at 37°C then terminated by adding 5 μg of proteinase K (PNK) and 1 μl of 10% SDS and incubating at 55°C for 30 min. DNA was precipitated by addition of 1 μg glycogen, 4 μl of 11 M ammonium acetate, 60 μl of ethanol and overnight incubation at −20°C. Samples were centrifuged, dried, suspended in 10 μl of formamide loading dye.
AP endonuclease activity
AP endonuclease activities of mitochondria and mitochondrial subfractions were determined by incubation of 500 ng WM or P1 or P2 protein (or an equal volume of S1 or S2 fraction) with 1 pmol of a 32 P-end labeled tetrahydrofuran (THF)-containing double-strand 26mer oligonucleotide ( Table 1 ) for 10 min at 37°C, in 10 μl of reaction buffer containing 50 mM HEPES–KOH (pH 7.5), 50 mM KCl, 100 μg/ml BSA, 10 mM MgCl 2 , 10% glycerol and 0.05% Triton X-100. Reactions were terminated by the addition of 10 μl formamide loading buffer and heating at 90°C for 10 min.
Reaction substrates and products were resolved by electrophoresis on 20% acrylamide gels at 15 W for 1 h 10 min, visualized by PhosphoImager and quantified using ImageQuant™ (Molecular Dynamics).
Uracil-initiated BER synthesis
Repair synthesis of a uracil-containing double-strand oligonucleotide was measured essentially as described previously ( 11 ). Reactions contained 50 μg of P1 or S1 protein, or 50 μg of each, in 50 μl of reaction buffer containing 40 mM HEPES, 0.1 mM EDTA, 5 mM MgCl 2 , 0.2 mg/ml BSA, 50 mM KCl, 1 mM DTT, 40 mM phosphocreatine, 100 μg/ml phosphocreatine kinase, 2 mM ATP, 40 μM dNTPs, 4 μCi [ 32 P]dCTP, 3% glycerol and 120 ng of control (Con) or UU oligonucleotide substrate. Reactions were incubated for 1 h at 37°C and terminated by addition of 2.5 μg PNK and 10 μl of 10% SDS followed by incubation at 55°C for 30 min. DNA was precipitated by addition of 0.5 μg glycogen, 2 μl of 11 M ammonium acetate, 130 μl of ethanol and overnight incubation at −20°C. Samples were centrifuged for 1 h at 13 000 g , washed in 70% ethanol and dried by vacuum centrifugation: 10 μl formamide loading dye was added and the samples heated at 90°C for 10 min and electrophoresed and visualized as above. Quantification of repair synthesis activity was done by comparing ρ 0 repair product signal intensity with that of wt (100%).
Polymerase γ gap-filling assays
The polymerase γ gap-filling assay was done using essentially the same conditions as above, but 500 ng of WM protein or an equal volume of subfractions, and 0.8 pmol GAP oligonucleotides ( Table 1 ) in a final volume of 10 μl. Reactions were incubated for 2 h at 37°C and terminated by addition of 5 μg PNK and 1 μl of 10% SDS followed by incubation at 55°C for 30 min. DNA was processed as described above.
RESULTS
mtDNA BER proteins are not freely soluble
Mitochondria were isolated from GM1310 human lymphoblast cells by a combination of differential centrifugation and Percoll gradient separation, and were essentially devoid of nuclear contamination, as assessed by western blotting for the abundant nuclear structural protein Lamin B (not shown).
To assess whether mtDNA repair proteins were freely soluble in the matrix, WM were disrupted either by sonication or by three cycles of freeze–thaw and separated by high-speed centrifugation into soluble (S1) and insoluble (P1) fractions ( Figure 1 ). Similar results were obtained for both methods of disruption. Here, we show results obtained using sonication. The P1 fraction was further fractionated by incubation with the non-ionic detergent NP40, or with NP40 and NaCl, followed by a second centrifugation step, creating P2 and S2 fractions.
The mitochondrial matrix enzyme CS was used as a marker of soluble matrix proteins. Over 60% of the total mitochondrial CS activity was recovered in the S1 fraction ( Figure 2a ). The inner membrane protein cytochrome oxidase subunit IV (COXIV) was used as a marker of the inner membrane. Immunoblotting for COXIV showed the protein was localized exclusively in the P1 fraction and undetectable in S1 ( Figure 2b ).
Activities of the DNA glycosylases and AP endonuclease were determined in WM, P1 and S1 fractions using incision assays with oligonucleotides containing the lesion of interest at a defined position ( Table 1 ). UDG and OGG1 activities were both recovered primarily in the P1 fraction, with relatively low activities detected in the soluble (S1) fraction ( Figure 3a–c ). Immunoblotting using antibodies specific for either α- or β-isoform of OGG1 showed that both localized predominantly to the P1 fraction ( Figure 3d ). On the other hand, the majority of AP endonuclease activity was recovered in S1 ( Figure 3e ), though degradation of the THF oligonucleotide prevented an accurate measurement of AP endonuclease activity in the P1 fraction. This was possible with mitochondria from 143B cells (see below), where the activity was also primarily soluble (S1).
Polymerase γ catalyzes the third step in the mitochondrial BER pathway, the incorporation of the correct nucleotide into the gap created by AP endonuclease activity. Polymerase γ gap-filling activity was measured as incorporation of [ 32 P]dCTP into an oligonucleotide containing a single nucleotide gap ( Table 1 ). Again, we found that the majority of gap-filling activity was present in the P1 fraction ( Figure 3f ). Finally, we measured the activity of the intact BER pathway by measuring the incorporation of a 32 P-radiolabeled dCTP into an oligonucleotide containing a U/G base pair, demonstrating that the entire pathway is localized primarily in the P1 fraction ( Figure 3g ).
To ensure complete disruption of the P1 fraction, we incubated this fraction with either 0.1% or 1.0% (v/v) NP40 to solubilize membrane phospholipids. Following detergent incubation, the P1 fraction was recentrifuged and separated into P2a and S2a fractions ( Figure 1 ). Both concentrations of NP40 were effective in releasing virtually all CS activity from the particulate fraction, with only ∼10% of the total activity originally present in WM remaining in the P2a fraction ( Figure 4a ). This solubilized CS was detected in the S2a fraction. We then measured UDG and OGG1 activities in the P2a and S2a fractions and found that both activities continued to localize to the particulate fractions ( Figure 4b and c ).
Importance of electrostatic interactions in the association of mtDNA BER proteins with the particulate fraction
To investigate whether electrostatic interactions were important in maintaining UDG and OGG1 in the P1 and P2 particulate fractions, we treated the P1 fraction with 0.1% NP40 in presence of either 150 or 300 mM NaCl, followed by centrifugation and separation into P2b and S2b fractions as above ( Figure 1 ). This treatment was effective in solubilizing most of the UDG activity from the P1 fraction ( Figure 5a ). Similarly, western blot analysis showed that incubation with NaCl solubilized a significant portion of βOGG1 protein, while COXIV remained in the P2b fractions following this treatment ( Figure 5b ).
mtDNA maintains an association with the inner membrane ( 3 ). The ability of low concentrations of NaCl to solubilize UDG and OGG1 would be consistent with their association with the P1 and P2 fractions due to weak electrostatic interactions with mtDNA. To test whether DNA repair proteins were ‘pulled down’ in the P1 and P2 fractions due to their attachment to mtDNA, which is in turn attached to the inner membrane, we repeated the above experiments using human 143B (TK − ) human osteosarcoma cells devoid of mtDNA (ρ 0 ). Previously, we demonstrated that BER proteins are present in mitochondria from these cells, even in the absence of mtDNA ( 11 ), and so these mtDNA-less mitochondria can be used to test for a particulate association independent of mtDNA. 143B wt and ρ 0 mitochondria were fractionated using the same protocol as for GM1310 cells ( Figure 1 ).
In both wt and ρ 0 mitochondria, UDG and OGG1 activities were recovered primarily in the P1 fraction, though a higher proportion of overall UDG activity was soluble in 143B mitochondria ( Figure 6a and b ) compared to GM1310. Recovery of UDG activity in the particulate fraction was unaltered by NP40 treatment, but was decreased by treatment with NP40 and NaCl, which solubilized a substantial portion of the particulate activity. This was observed in both wt and ρ 0 mitochondria, i.e. in the presence and absence of mtDNA. Although AP endonuclease activity is significantly lower in ρ 0 mitochondria ( 11 ), its distribution was similar in 143B mitochondria, compared to GM1310. The majority of AP endonuclease activity was in the S1 fraction of 143B wt mitochondria, and the P1 activity was readily solubilized by NP40, indicating again that this activity does not strongly associate with the particulate fraction as do other mitochondrial BER proteins ( Figure 6c ).
We investigated the sub-mitochondrial localization of polymerase γ in 143B cells, employing the gap-filling assay. Polymerase γ gap-filling activity was confined mainly to the P1 fraction of both wt and ρ 0 mitochondria, and was not solubilized by NP40 ( Figure 6d ). However, as observed with UDG and OGG1, a significant proportion of polymerase γ activity could be solubilized by treatment with NaCl. Again, this was observed in both the presence and absence of mtDNA. Thus, the associations of all mtDNA BER proteins with the particulate fraction P2 is not via a direct interaction with mtDNA.
Identification of other mtDNA maintenance proteins in the particulate fraction
Recently, human mtDNA and its associated replication and maintenance proteins have been shown to organize into nucleoid structures ( 13 ), as had been demonstrated previously in yeast mitochondria ( 14 ). While the nucleoid structure has not been completely characterized, it contains various mtDNA maintenance proteins, including polymerase γ. We probed our P1 fractions from GM1310 mitochondria for other proteins involved in mtDNA maintenance. DNA ligase III ligates the DNA ends during BER in the nucleus, and it has been implicated in BER in mitochondria as well. Mitochondrial transcription factor A (mtTFA) is essential for the stability of mammalian mtDNA, and endonuclease G is involved in mtDNA degradation. All three proteins, LigIII, mtTFA and mtDNA endonuclease G were detected in the P1, but not the S1 fraction ( Figure 7 ).
Enrichment of mitochondrial BER proteins
mtDNA repair proteins appear to be present in mitochondria in relatively low abundance, and one of the challenges in studying BER in this organelle is to obtain sufficient amounts of protein to characterize. The strong association of mitochondrial BER proteins with the particulate fraction provides an opportunity to create a fraction enriched in mtDNA repair. Mitochondrial P1 fractions treated with NP40 release soluble or weakly associated proteins, but the association of BER proteins appears to be undisturbed. Therefore, we assessed the enrichment of the particulate fraction for BER proteins by determining UDG activity per unit fraction protein in WM, P1 and P2a fractions. We found that the specific activity of UDG was increased ∼20-fold in the P2a fraction, relative to WM, indicating that this approach may be useful in producing enriched BER fractions for further protein identification and characterization.
DISCUSSION
The enzymes catalyzing mtDNA BER are, with the exception of the mitochondrial AP endonuclease, not freely soluble matrix proteins, but rather associate with some element(s) of the particulate fraction that is independent of mtDNA (for summary, see Tables 2 and 3 ). The associations of these proteins were not readily disrupted by concentrations of the non-ionic detergent NP40 that readily solubilize the inner membrane. Thus, there is no evidence that any of these proteins are directly membrane-bound. Only βOGG1 contains a putative membrane-spanning domain (SOSUI; http://sosui.proteome.bio.tuat.ac.jp/sosuimenu0.html ), but detergent treatments that solubilize the membrane-bound COXIV do not solubilize βOGG1 (data not shown), and the latter protein is therefore not membrane bound.
We identified both α- and β-isoforms of OGG1 in the P1 fraction by western blot. We recently reported that purified recombinant βOGG1 lacks 8-oxodG incision activity ( 15 ), which suggests that the mitochondrial incision activity is actually catalyzed by another isoform of OGG1 or perhaps that βOGG1 is functional only within an as yet uncharacterized complex. In support to this hypothesis, we showed that human mitochondria contain enough αOGG1 to support incision activity ( 15 ). Takao et al . ( 16 ) identified four OGG1 isoforms that localized, using epitope tagging, to mitochondria (though some were primarily nuclear). It remains unclear why multiple isoforms of OGG1 might localize to mitochondria and what contributions the individual isoforms make to the observed incision activity. However, it is interesting that both α- and β-isoforms are primarily in the particulate fraction, where they could assemble into a larger complex.
The association of BER proteins with the mitochondrial particulate fraction was not readily disrupted by sonication, freeze–thaw or detergent treatment. However, UDG, OGG1 and polymerase γ activities could all be dissociated from the particulate fraction by relatively low concentrations of NaCl. This indicates that these proteins associate with this fraction due to electrostatic interactions. However, the interaction is not with mtDNA, as the particulate localization persists in mitochondria from ρ 0 cells, which lack mtDNA entirely. Thus, it is likely that in normal human cells, BER proteins are associated with a protein or protein/RNA element proximal to the inner membrane, but not membrane-spanning: perhaps an mtDNA replication/repair complex, as has been suggested ( 17 , 18 ).
Similar observations have been made with mitochondrial ribosomes. A significant proportion of mitochondrial ribosomes sediment with an inner membrane-containing particulate fraction, following sonication and detergent treatment ( 19 ). Low concentrations of NaCl effectively solubilize most of these ribosomes from the particulate fraction, and the authors suggest an interaction of mitochondrial ribosomes with one or more large protein complexes in the membrane. Consistent with this idea, Suzuki et al . ( 20 ) identified a nuclear DNA encoded subunit of respiratory complex I as part of the mitochondrial 28S small ribosomal subunit proteome. Thus, mtDNA, mitochondrial ribosomes and mtDNA repair proteins may all associate with an inner membrane fraction, perhaps a nucleoid structure. Mitochondrial nucleoids have been described in human mitochondria, where they contain, in addition to several molecules of mtDNA, various proteins involved in its replication and maintenance ( 21 , 22 ), including polymerase γ and mtTFA that we also found in the particulate fraction ( Figure 7 ). Our data are consistent with the idea that the BER proteins are part of the mtDNA replication and repair apparatus in the nucleoid.
Our results both confirm and extend previous models of mtDNA BER based on electron microscopy results and the use of overexpressed epitope-tagged proteins ( 17 ). The DNA glycosylases OGG1, UDG and MYH ( 7 ) all associate with the particulate fraction of mitochondria, as does polymerase γ, DNA ligase III, and a minor portion of AP endonuclease activity. This suggests a model in which BER is organized around a fixed, insoluble structure (or structures) located near the inner membrane. Depending upon the specific arrangements of the proteins and the extent to which their particulate association is static, the data are consistent with a model in which mtDNA is the mobile element during mtDNA replication and repair. Thus, mtDNA may scroll through a membrane-associated complex as outlined by Naviaux ( 18 ) that replicates, proofreads and repairs it. Such a ‘factory model’ of DNA replication has been suggested for E.coli ( 23 ), and there is evidence that mammalian mtDNA replication may indeed occur via a similar mechanism ( 24 , 25 ). Yeast mitochondria contain an mtDNA replisome that spans both mitochondrial membranes and is linked to elements of the cytoskeleton ( 26 ). It is thus possible that the proposed mtDNA ‘replisome’ and mitochondrial nucleoids are in fact parts of the same structure, and that BER proteins are also components of this structure. Consistent with this possibility, polymerase γ, which we localized to our particulate fraction by its polymerase activity, has been demonstrated in nucleoids using western blot and immunocytochemistry ( 13 ). We also identified the nucleoid protein mtTFA in P1 fractions, again suggesting the presence of nucleoids in our BER-containing fractions. This finding is not consistent, however, with the recently published nucleoid proteome of the frog Xenopus laevis , in which no BER proteins were reported ( 27 ). However, the relatively small number of proteins identified in these nucleoids suggests a limited sensitivity of this analysis. Moreover, species differences in nucleoid composition are likely. A sensitive characterization of human mitochondrial nucleoids will be necessary to determine definitively whether human BER proteins are nucleoid-associated.
In summary, we have demonstrated an mtDNA-independent association of mitochondrial BER proteins with an inner membrane-containing particulate fraction that appears to be mediated via electrostatic interactions. If this apparent immobilization of BER proteins in mitochondria occurs in vivo , it will impose important mechanistic constraints upon mtDNA repair processes. Our results are consistent with mitochondrial BER being localized to a membrane-associated nucleoid or replisome.
Mitochondrial fractionation scheme showing designations of various fractions. For details of procedures, see Materials and Methods.
Mitochondrial fractionation scheme showing designations of various fractions. For details of procedures, see Materials and Methods.
Oligonucleotides used in assays for DNA repair activities
|
|
Con = control oligonucleotide (no damage); U = single-stranded, containing a uracil; UU = double-stranded, containing a uracil; OG = double-stranded, containing an 8-oxodG; THF = double-stranded, containing a tetrahydrofuran abasic site analog; GAP = single nucleotide gap.
Oligonucleotides used in assays for DNA repair activities
|
|
Con = control oligonucleotide (no damage); U = single-stranded, containing a uracil; UU = double-stranded, containing a uracil; OG = double-stranded, containing an 8-oxodG; THF = double-stranded, containing a tetrahydrofuran abasic site analog; GAP = single nucleotide gap.
Distribution of matrix and inner membrane markers, citrate synthase and cytochrome oxidase subunit IV (COXIV), respectively. ( a ) Activity of citrate synthase in WM, P1 and S1 fractions. ( b ) Levels of the integral inner membrane COX IV in P1 and S1 fractions.
Distribution of matrix and inner membrane markers, citrate synthase and cytochrome oxidase subunit IV (COXIV), respectively. ( a ) Activity of citrate synthase in WM, P1 and S1 fractions. ( b ) Levels of the integral inner membrane COX IV in P1 and S1 fractions.
Recovery of mitochondrial BER activities in P1 and S1 fractions. ( a ) UDG activity. Representative gel showing U oligonucleotide substrate ( Table 1 ) and incised product following incubation with WM, P1 or S1 fraction. In the first lane, U oligonucleotide was incubated with recombinant UDG to provide a marker of the incised product. In the second lane, no mitochondrial protein was added to the assay. ( b ) Mean UDG activities in WM, P1 and S1 fractions. Values are mean ± SEM of three measurements. ( c ) Mean OGG1 activity in WM, P1 and S1 fractions. ( d ) Detection of α- and β-OGG1 isoforms in mitochondrial subfractions by western blot. ( e ) AP endonuclease activity. Representative gel showing THF oligonucleotide substrate and incised product for AP endonuclease assay. In lane 2, one unit of recombinant APE1 (kindly provided by David Wilson, NIA) was added to the assay in place of mitochondrial protein extract. ( f ) Quantification of polymerase γ gap-filling activity in mitochondrial subfractions. Values are mean ± SEM of three measurements ( g ) Uracil-initiated BER. Representative gel showing [ 32 P]dCTP incorporation into UU oligonucleotides by P1, S1 and P1 + S1 fractions. C = control oligonucleotide ( Table 1 ); U = uracil-containing oligonucleotide (UU).
Recovery of mitochondrial BER activities in P1 and S1 fractions. ( a ) UDG activity. Representative gel showing U oligonucleotide substrate ( Table 1 ) and incised product following incubation with WM, P1 or S1 fraction. In the first lane, U oligonucleotide was incubated with recombinant UDG to provide a marker of the incised product. In the second lane, no mitochondrial protein was added to the assay. ( b ) Mean UDG activities in WM, P1 and S1 fractions. Values are mean ± SEM of three measurements. ( c ) Mean OGG1 activity in WM, P1 and S1 fractions. ( d ) Detection of α- and β-OGG1 isoforms in mitochondrial subfractions by western blot. ( e ) AP endonuclease activity. Representative gel showing THF oligonucleotide substrate and incised product for AP endonuclease assay. In lane 2, one unit of recombinant APE1 (kindly provided by David Wilson, NIA) was added to the assay in place of mitochondrial protein extract. ( f ) Quantification of polymerase γ gap-filling activity in mitochondrial subfractions. Values are mean ± SEM of three measurements ( g ) Uracil-initiated BER. Representative gel showing [ 32 P]dCTP incorporation into UU oligonucleotides by P1, S1 and P1 + S1 fractions. C = control oligonucleotide ( Table 1 ); U = uracil-containing oligonucleotide (UU).
Effect of NP40 treatment of the P1 fraction on the solubilization of BER protein activities. Pelleted particulate (P) fractions were resuspended in the starting volume of MSHE buffer to permit calculation of the relative distribution of activities. ( a ) CS activity in mitochondrial subfractions. P1 fractions were incubated with either 0.1% or 1.0% (v/v) NP40, then further fractionated by centrifugation into P2a and S2a; ( b ) Distribution of UDG activity in mitochondrial subfractions; ( c ) Distribution of OGG1 activity in mitochondrial subfractions. In all graphs, bars represent mean ± SEM of three measurements.
Effect of NP40 treatment of the P1 fraction on the solubilization of BER protein activities. Pelleted particulate (P) fractions were resuspended in the starting volume of MSHE buffer to permit calculation of the relative distribution of activities. ( a ) CS activity in mitochondrial subfractions. P1 fractions were incubated with either 0.1% or 1.0% (v/v) NP40, then further fractionated by centrifugation into P2a and S2a; ( b ) Distribution of UDG activity in mitochondrial subfractions; ( c ) Distribution of OGG1 activity in mitochondrial subfractions. In all graphs, bars represent mean ± SEM of three measurements.
Effect of NP40 + NaCl treatment of the P1 fraction on BER protein solubilization. ( a ) Representative gel showing substrates and products of UDG assay in mitochondrial subfractions. P2 and S2 are derived from P1. ‘150’ and ‘300’ denote 150 and 300 mM NaCl, respectively. ( b ) Mean UDG activities in mitochondrial subfractions. Values are mean ± SEM of three measurements. ( c ) Western blot showing the effect of incubation with 150 or 300 mM NaCl on solubilization of βOGG1, but not COXIV, from the particulate fraction.
Effect of NP40 + NaCl treatment of the P1 fraction on BER protein solubilization. ( a ) Representative gel showing substrates and products of UDG assay in mitochondrial subfractions. P2 and S2 are derived from P1. ‘150’ and ‘300’ denote 150 and 300 mM NaCl, respectively. ( b ) Mean UDG activities in mitochondrial subfractions. Values are mean ± SEM of three measurements. ( c ) Western blot showing the effect of incubation with 150 or 300 mM NaCl on solubilization of βOGG1, but not COXIV, from the particulate fraction.
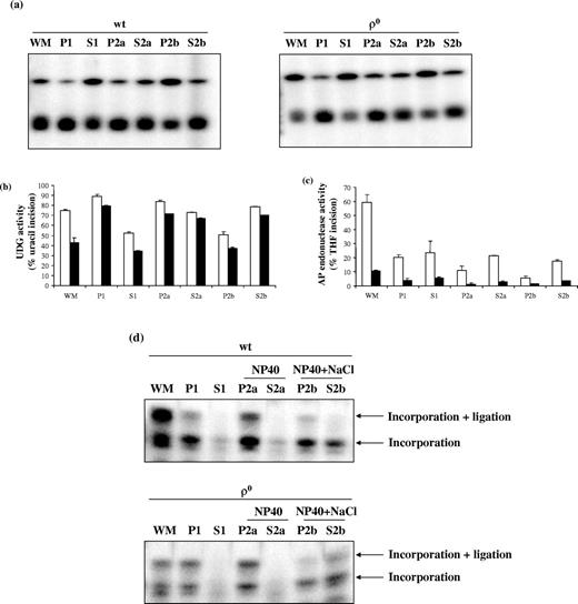
Distribution of BER activities in subfractions from wt and ρ 0 mitochondria. ( a ) Representative gels showing U oligonucleotide substrates and incision products following incubation with subfractions of wt and ρ 0 mitochondria. ‘2a’ is 0.1% NP40 condition; ‘2b’ is 0.1% NP40 and 150 mM NaCl condition. ( b ) Mean UDG activities in mitochondrial subfractions. Data are mean ± SEM of three measurements. ( c ) Mean AP endonuclease activities in mitochondrial subfractions; Open bars = wt, closed bars = ρ 0 . Values are mean ± SE of three measurements. ( d ) Polymerase γ gap-filling activity in mitochondrial subfractions. The bottom band (21 nt) represents incorporation without ligation, and the top band (39 nt) represents the ligated product following incorporation.
Distribution of BER activities in subfractions from wt and ρ 0 mitochondria. ( a ) Representative gels showing U oligonucleotide substrates and incision products following incubation with subfractions of wt and ρ 0 mitochondria. ‘2a’ is 0.1% NP40 condition; ‘2b’ is 0.1% NP40 and 150 mM NaCl condition. ( b ) Mean UDG activities in mitochondrial subfractions. Data are mean ± SEM of three measurements. ( c ) Mean AP endonuclease activities in mitochondrial subfractions; Open bars = wt, closed bars = ρ 0 . Values are mean ± SE of three measurements. ( d ) Polymerase γ gap-filling activity in mitochondrial subfractions. The bottom band (21 nt) represents incorporation without ligation, and the top band (39 nt) represents the ligated product following incorporation.
Summary of the sub-mitochondrial distribution of mtDNA BER activities
| Activity a | P1 | S1 |
|---|---|---|
| Citrate synthase | 40.2 | 54.1 |
| AP incision | + | +++ |
| U incision | 77.6 | 40.8 |
| OG:C incision | 43.1 | 21.6 |
| Gap-filling | 52.7 | 12.7 |
| BER synthesis incorporation | +++ | + |
| Activity a | P1 | S1 |
|---|---|---|
| Citrate synthase | 40.2 | 54.1 |
| AP incision | + | +++ |
| U incision | 77.6 | 40.8 |
| OG:C incision | 43.1 | 21.6 |
| Gap-filling | 52.7 | 12.7 |
| BER synthesis incorporation | +++ | + |
a Values presented are percent of WM activity.
Summary of the sub-mitochondrial distribution of mtDNA BER activities
| Activity a | P1 | S1 |
|---|---|---|
| Citrate synthase | 40.2 | 54.1 |
| AP incision | + | +++ |
| U incision | 77.6 | 40.8 |
| OG:C incision | 43.1 | 21.6 |
| Gap-filling | 52.7 | 12.7 |
| BER synthesis incorporation | +++ | + |
| Activity a | P1 | S1 |
|---|---|---|
| Citrate synthase | 40.2 | 54.1 |
| AP incision | + | +++ |
| U incision | 77.6 | 40.8 |
| OG:C incision | 43.1 | 21.6 |
| Gap-filling | 52.7 | 12.7 |
| BER synthesis incorporation | +++ | + |
a Values presented are percent of WM activity.
Summary of western blot detection of proteins involved in mtDNA repair/maintenance and respiration in sub-mitochondrial fractions
| Protein | P1 | S1 |
|---|---|---|
| COX IV | +++ | − |
| α-OGG1 | +++ | + |
| β-OGG1 | +++ | − |
| DNA lig III | +++ | − |
| Endo G | +++ | − |
| mtTFA | +++ | +/− |
| Protein | P1 | S1 |
|---|---|---|
| COX IV | +++ | − |
| α-OGG1 | +++ | + |
| β-OGG1 | +++ | − |
| DNA lig III | +++ | − |
| Endo G | +++ | − |
| mtTFA | +++ | +/− |
Summary of western blot detection of proteins involved in mtDNA repair/maintenance and respiration in sub-mitochondrial fractions
| Protein | P1 | S1 |
|---|---|---|
| COX IV | +++ | − |
| α-OGG1 | +++ | + |
| β-OGG1 | +++ | − |
| DNA lig III | +++ | − |
| Endo G | +++ | − |
| mtTFA | +++ | +/− |
| Protein | P1 | S1 |
|---|---|---|
| COX IV | +++ | − |
| α-OGG1 | +++ | + |
| β-OGG1 | +++ | − |
| DNA lig III | +++ | − |
| Endo G | +++ | − |
| mtTFA | +++ | +/− |
Western blot showing detection of DNA ligase III, mitochondrial transcription factor A (mtTFA) and endonuclease G in the P1 fraction of GM1310 mitochondria.
Western blot showing detection of DNA ligase III, mitochondrial transcription factor A (mtTFA) and endonuclease G in the P1 fraction of GM1310 mitochondria.
We thank Giuseppe Attardi for kindly providing ρ 0 143B (TK − ) cells, and David Wilson, III for providing recombinant APE1. Funding to pay the Open Access publication charges for this article was provided by National Institutes of Health, USA.
Conflict of interest statement . None declared.



![Recovery of mitochondrial BER activities in P1 and S1 fractions. ( a ) UDG activity. Representative gel showing U oligonucleotide substrate ( Table 1 ) and incised product following incubation with WM, P1 or S1 fraction. In the first lane, U oligonucleotide was incubated with recombinant UDG to provide a marker of the incised product. In the second lane, no mitochondrial protein was added to the assay. ( b ) Mean UDG activities in WM, P1 and S1 fractions. Values are mean ± SEM of three measurements. ( c ) Mean OGG1 activity in WM, P1 and S1 fractions. ( d ) Detection of α- and β-OGG1 isoforms in mitochondrial subfractions by western blot. ( e ) AP endonuclease activity. Representative gel showing THF oligonucleotide substrate and incised product for AP endonuclease assay. In lane 2, one unit of recombinant APE1 (kindly provided by David Wilson, NIA) was added to the assay in place of mitochondrial protein extract. ( f ) Quantification of polymerase γ gap-filling activity in mitochondrial subfractions. Values are mean ± SEM of three measurements ( g ) Uracil-initiated BER. Representative gel showing [ 32 P]dCTP incorporation into UU oligonucleotides by P1, S1 and P1 + S1 fractions. C = control oligonucleotide ( Table 1 ); U = uracil-containing oligonucleotide (UU).](https://oup.silverchair-cdn.com/oup/backfile/Content_public/Journal/nar/33/12/10.1093_nar_gki683/2/m_gki683f3a.jpeg?Expires=2147483647&Signature=uAXyRJuLSIlNj3L6VWVYf~wg1T2Vqp9hBmHKTdREEGnINBlswxsBt8sGuCy946t8~8lc~Z2gKtTgfRitipXk5wW-UNGKVU3pvb-cCmPE4X4Xxk6vexa8uw3xp1Yejstg9reY64tkO0MVc0~2b~5A2IXMic6SGSHcSXI5GkpxPv9cK6AQsIJtVZHuIWoFXZnM8Q03SH2LDyRMbimmsTu6tBhSWxKmI8AsJh0ZBywd1xK4xt1FhKg4d8aVeYEfXBxzgfqFGKLinJa31UN2c7YUZEHypPekt47J1WJbYQzYhpa7I~RTkbMBJti1XXswH3Nm8JiNqcfwk8STd0vukJ5fqw__&Key-Pair-Id=APKAIE5G5CRDK6RD3PGA)
![Recovery of mitochondrial BER activities in P1 and S1 fractions. ( a ) UDG activity. Representative gel showing U oligonucleotide substrate ( Table 1 ) and incised product following incubation with WM, P1 or S1 fraction. In the first lane, U oligonucleotide was incubated with recombinant UDG to provide a marker of the incised product. In the second lane, no mitochondrial protein was added to the assay. ( b ) Mean UDG activities in WM, P1 and S1 fractions. Values are mean ± SEM of three measurements. ( c ) Mean OGG1 activity in WM, P1 and S1 fractions. ( d ) Detection of α- and β-OGG1 isoforms in mitochondrial subfractions by western blot. ( e ) AP endonuclease activity. Representative gel showing THF oligonucleotide substrate and incised product for AP endonuclease assay. In lane 2, one unit of recombinant APE1 (kindly provided by David Wilson, NIA) was added to the assay in place of mitochondrial protein extract. ( f ) Quantification of polymerase γ gap-filling activity in mitochondrial subfractions. Values are mean ± SEM of three measurements ( g ) Uracil-initiated BER. Representative gel showing [ 32 P]dCTP incorporation into UU oligonucleotides by P1, S1 and P1 + S1 fractions. C = control oligonucleotide ( Table 1 ); U = uracil-containing oligonucleotide (UU).](https://oup.silverchair-cdn.com/oup/backfile/Content_public/Journal/nar/33/12/10.1093_nar_gki683/2/m_gki683f3b.jpeg?Expires=2147483647&Signature=fejPdpJlQKO5D8x7yEtAK5WM77nRRF9EqUYhIY4KWMhpHmSRYYoEFO8xR2Yjpq1wi0shwMzVnstlJ8fWPqYUKvdLvoWODlI5JlTdPwa2f~b60KWQbxggU1SSBmIGFq0wGB4joMQuz~JIxKSDwSe-snbeRTQNHFpPHql54RoxJKvPlilc8TfT5wCT6rqhJyCaJW0NSQ1f9bfVH0jZOPK2~Fwmxulotzq3nRS8BIr2zDMOSN1nbppx87B50fT~z5Hsg38WnNq5yzUSpMzGqyn0KP4TI-FPhh2U6ORW~AfiPl098uZGCOxWnvieA5fFsSmpIM-2VknyTAeU3kxJ94Oc4w__&Key-Pair-Id=APKAIE5G5CRDK6RD3PGA)




Comments