- Split View
-
Views
-
CiteCitation
Sophie Redon, Patrick Reichenbach, Joachim Lingner; The non-coding RNA TERRA is a natural ligand and direct inhibitor of human telomerase, Nucleic Acids Research, Volume 38, Issue 17, 1 September 2010, Pages 5797–5806, https://doi.org/10.1093/nar/gkq296
Download citation file:
© 2018 Oxford University Press
Close -
Share
Abstract
Telomeres, the physical ends of eukaryotes chromosomes are transcribed into telomeric repeat containing RNA (TERRA), a large non-coding RNA of unknown function, which forms an integral part of telomeric heterochromatin. TERRA molecules resemble in sequence the telomeric DNA substrate as they contain 5′-UUAGGG-3′ repeats near their 3′-end which are complementary to the template sequence of telomerase RNA. Here we demonstrate that endogenous TERRA is bound to human telomerase in cell extracts. Using in vitro reconstituted telomerase and synthetic TERRA molecules we demonstrate that the 5′-UUAGGG-3′ repeats of TERRA base pair with the RNA template of the telomerase RNA moiety (TR). In addition TERRA contacts the telomerase reverse transcriptase (TERT) protein subunit independently of hTR. In vitro studies further demonstrate that TERRA is not used as a telomerase substrate. Instead, TERRA acts as a potent competitive inhibitor for telomeric DNA in addition to exerting an uncompetitive mode of inhibition. Our data identify TERRA as a telomerase ligand and natural direct inhibitor of human telomerase. Telomerase regulation by the telomere substrate may be mediated via its transcription.
INTRODUCTION
Telomeres protect chromosome ends from DNA repair activities that reseal chromosome internal DNA breaks that occur during DNA damage (1). Telomeric DNA shortens with every round of semiconservative DNA replication due to the end replication problem and nucleolytic processing. Short telomeres induce cellular senescence. The telomerase enzyme can solve the end replication problem re-extending telomere 3′-ends by reverse transcribing the template region of its tightly associated RNA moiety into telomeric repeats (2,3). The regulation of telomerase at chromosome ends is not very well understood and subject of intensive investigations in several laboratories.
Telomeres establish a heterochromatic state at chromosome ends which is characterized by the presence of trimethylated lysines at positions 9 in histone H3 and 20 in histone H4, histone hypoacetylation, the accumulation of several isoforms of heterochromatin protein 1 and hypermethylation of cytosines in CpG-dinucleotides present in subtelomeric regions (4,5). Recent analysis has identified telomeric repeat containing RNA (TERRA), a large non-coding (nc) RNA in animals and fungi, which forms an integral component of telomeric heterochromatin (6–9).
Several findings suggest that TERRA may regulate telomerase at chromosome ends. First, in human cells TERRA is displaced or degraded at telomeres by NMD factors which physically interact with the telomeric chromatin (6). Among these factors, EST1A/SMG6 was also identified through its sequence similarity with the Saccharomyces cerevisiae telomerase associated protein Est1 (10,11). Moreover, like yeast Est1, human EST1A/SMG6 physically interacts with telomerase (10–12). The association of EST1A/SMG6 with telomerase is compatible with a role in telomerase regulation but its effects on TERRA displacement at telomeres suggest that EST1A/SMG6 may regulate telomerase via TERRA. Second, the TERRA mimicking RNA oligonucleotide (UUAGGG)3 inhibits telomerase activity in vitro as determined in the TRAP assay (7) and it has been proposed that telomerase may be regulated by TERRA in a telomere length dependent manner (7). Third, genetic experiments in S. cerevisiae provide evidence that TERRA regulates telomerase in vivo. In the rat1-1 mutant background in which the function of the 5′–3′ exonuclease Rat1p is reduced, TERRA is up-regulated and telomeres are shorter than in wild-type cells due to impairment with telomerase-mediated telomere elongation (8). Overexpression of RNaseH reduced TERRA levels and could overcome the short telomere phenotype indicating that a DNA/TERRA hybrid was responsible for the effect. Further support for the role of TERRA in inhibiting telomerase in vivo stems from an observation that forced telomere transcription (through the use of the strong Gal-promoter) leads to telomere shortening of the transcribed telomere in cis (13).
Here, we provide evidence that telomerase physically interacts with TERRA in vivo. We identify the molecular interaction sites of TERRA and telomerase, and determine the mode of telomerase inhibition in direct telomerase assays. Our results substantiate the notion that TERRA acts as a natural ligand and inhibitor of telomerase in vivo.
MATERIALS AND METHODS
Immunoprecipitation from cell extracts and RNA detection
293T cells were transfected with 4 µg of plasmid DNA per well of a 6-well plate using Lipofectamine 2000 as recommended by the supplier (Invitrogen). After 24 h post-transfection, the cells of two wells were transferred in a 150 cm2 dish. Post-transfection nuclear extracts (48 h) were prepared as follows: cells were collected and resuspended in 750 µl buffer A [10 mM HEPES pH 7.5, 10 mM KCl, 0.1 mM EGTA, 0.1 mM EDTA, 1 mM DTT, 0.5 mM PMSF and protease inhibitor cocktail (Roche)] and incubated on ice for 15 min. Cold NP40 was added to a final concentration of 0.6%, samples were vortexed 10 s and centrifuged for 1 min at 16 100g. The supernatant was removed and the nuclear pellet resuspended in 500 µl buffer B (20 mM HEPES pH 7.5, 400 mM NaCl, 1 mM EGTA, 1 mM EDTA, 1 mM DTT, 0.5 mM PMSF and protease inhibitor cocktail (from Roche), and gently shaken for 15 min at 4°C. After centrifugation at 16 100g for 10 min, the supernatant was diluted twice with buffer C (1.2% NP40, 20% glycerol). Total protein concentration was determined with the Bradford assay and the same amount of total nuclear extract was used per immunoprecipitation. Extract was pre-cleared for 1 h at 4°C with sepharose protein G beads (GE Healthcare). Pre-cleared extract (300 µl) (corresponding ∼6 × 106 cells) was incubated with either 2 µg of α-tubulin [(TU-02) sc-8035 from Santa Cruz], α-hnRNPA1 [(4B10) sc-32301 from Santa Cruz] or α-Myc (9B11 from NEB) antibodies for 1 h at 4°C. Fifteen microliter of a 50% slurry of protein G beads was added and incubated over-night at 4°C. Beads were recovered by spinning 1 min at 1500g) and washed five times with buffer B containing NP40 0.6%. The beads were re-suspended in 100 µl buffer B containing 0.6% NP40 and 10% glycerol. Protein fractions were loaded on 4–20% gradient Tris–HCl PAGE gold gels (Lonza). After transfer and western blotting, the signals were measured using the ChemiGlow substrate (Wytec) on a FluorChemTM 8900 machine (Alpha Innotech). RNA was extracted with the RNeasy mini kit (Qiagen) for analysis by reverse transcription (RT)-PCR. For detection of TERRA association with endogenous telomerase the protocol was scaled up 5-fold (30 × 106 cells per IP). Anti-hTERT antibodies raised in rabbits (r819) and pre-immune serum (negative control) were pre-incubated with protein A beads (1: 1 volume) and washed extensively. Twenty microliter of 50 % slurry was used per IP.
Anti-hTERT serum
Serum r819 was obtained from immunization of a rabbit with a His6-tagged C-terminal fragment of hTERT (99 last amino acids). The His6-hTERT C-terminal fragment was overexpressed in Escherichia coli and purified on Ni–agarose beads under denaturing conditions.
Telomerase reconstitution in rabbit reticulocyte lysates and immunoprecipitation
Experiments were done similarly as described (12). Briefly, Flag-hTERT and Myc-hTERT were translated in the presence of [35S]-methionine in the rabbit reticulocyte lysate (RRL) TnT quick-coupled transcription/translation system following the instructions of the supplier (Promega). hTR was transcribed with the Ribomax large-scale RNA production system-T7 kit (Promega). After in vitro transcription, DNA templates were removed by DNase I digestion and the RNA samples were extracted with phenol:chloroform (1 : 1) and precipitated with ethanol. Analysis of the RNA samples by gel electrophoresis confirmed their correct length and intactness. For telomerase reconstitution, 80 ng of hTR per microliter of RRL was incubated for 90 min at 30°C (14). Immunoprecipitation was done as described (12).
For oligonucleotide-binding experiments, 1 µl of [32P]-labeled oligonucleotide (0.1 pmol/µl) and 1 µg E. coli tRNA were added to 85 µl of IPIII buffer [20 mM HEPES pH 7.5, 150 mM NaCl, 10% glycerol, 0.2% Tween 20, 0.02 U/µl SUPERase-in (Ambion) and protease cocktail inhibitor (EDTA-free, Roche)] and 12.5 µl of the RRL-mix and incubated 1 h at 25°C. After immunoprecipitation with α-Myc antibodies (9B11 from NEB), beads were washed five times in 500 µl IPIII buffer. Samples were loaded on 4–20% gradient Tris–HCl PAGE gold gels (Lonza). Gels were dried. [35S]-labeled proteins and [32P]-labeled oligonucleotides were detected and quantified on a PhosphoImager. [32P]-labeled oligonucleotides could be distinguished from [35S]-labeled proteins by shielding the lower energy [35S]-derived β-rays with a sheet of plastic.
RT-PCR
RT was performed with Superscript III (Invitrogen) using specific primers for hTR (5′-GTCCCACAGCTCAGGGAACT-3′) and TERRA [5′-(CCCTAA)5-3′]. PCR was performed with Phusion enzyme (Finnzymes) and hTR primers fw790 and R3c (15) or the TERRA XpYp subtelomeric primers (6). PCR was performed on serial dilutions of the cDNA to ensure that the obtained signal was in correlation with the amount of cDNA. The cDNA was first denatured for 30 s at 98°C followed by 40 PCR cycles involving 5 s at 98°C, 10 s at 55°C and 20 s at 72°C. Cycling was followed by a 5 min incubation at 72°C.
For detection of TERRA association with endogenous telomerase, RT and PCR primers were as above for hTR and TERRA. For U2 the RT primer was 5′- GCACCGTTCCTGGAGGTACTG-3′, the forward PCR primer 5′-GGCTAAGATCAAGTGTAGTATCTGTTC-3′ and the reverse PCR primer 5′-GCTCCTATTCCATCTCCCTGCTC-3′. One-third of the cDNA was used for the XpYp qPCR, and 1/20 for hTR and U2 qPCRs. The qPCR was carried out in the 7900HT fast real time PCR system (Applied Biosystem) and the power sybr green kit (Applied Biosystem) was used for detection of products. The cDNA was first denatured for 10 min at 95°C followed by 45 PCR cycles involving 15 s at 95°C and 1 min at 60°C.
hTR mutants
hTR template mutants were generated and transcribed by T7 RNA polymerase as described earlier (15). The hTR wild-type template sequence is: 3′-CAAUCCCAAUC-5′; hTR comp template sequence: 3′-CUUAGGGUUAG-5′; hTR C2 template sequence: 3′-CAACAAAAACA-5′.
Direct telomerase activity assay and Telospot
Telomerase assays were performed as described (16) for 45 min at 30°C. For the Telospot assays, the reactions were done in 20 µl at 30°C for 45 min or for 30 min in Figure 3. After the reaction, samples were treated with 200 ng RNaseA for 30 min at 37°C. Reaction mixture (0.5 µl) was spotted in triplicate on a Hybond N+ membrane. The membrane was incubated with a randomly labeled TTAGGG specific probe and quantified as described (16). Signals were quantified by Image Quant. For IC50 calculations, the GraphPad Prism software was used.
RESULTS
TERRA is bound to human telomerase in nuclear extracts
TERRA has been proposed to directly regulate telomerase, suggesting a physical interaction between these macromolecules. In order to test this hypothesis we transiently transfected 293T cells with plasmids that specified the expression of Myc-tagged human telomerase reverse transcriptase (hTERT) under control of the CMV promoter and hTR under control of the U1-promoter. Nuclear extracts were prepared 48 h post-transfection and telomerase was immunoprecipitated via the Myc-tag (Figure 1A). HnRNPA1 and tubulin were also immunoprecipitated for control purposes. Presence of TERRA and hTR in the fractions was assessed by RT-PCR (Figure 1B). This analysis revealed that TERRA and hTR were co-immunoprecipitated with tagged hTERT. No RT-PCR signals were obtained in the IP-fractions from mock extracts or with antibodies against tubulin. Immunoprecipitation of hnRNPA1 also revealed association of TERRA and hTR with this protein. HnRNPA1 is a known ligand of telomerase (17–19) and a large fraction of TERRA is also associated with hnRNPA1 (Figure 1; S.R. and J.L., unpublished). We could also detect an interaction between endogenous telomerase and TERRA. For this, endogenous hTERT was immunoprecipitated from non-transfected 293T nuclear extracts using rabbit anti-hTERT antibody (r819). Pre-immune serum was used as a negative control. Presence of hTR, TERRA and U2 snRNA (negative control) were measured by RT-qPCR. Control experiments with Myc-hTERT extracts indicated that r819 antibody pulled down hTERT 6× less efficiently than the anti-Myc antibody. Nevertheless, the hTERT serum pulled down approximately two times more TERRA than the pre-immune serum (Ct value r819: 30.68 ± 0.22; Ct value pre-immune: 31.47 ± 0.11; three independent experiments; t-test P = 0.046) and a similar difference was obtained for hTR (Ct value r819: 16.30 ± 0.58; Ct value pre-immune: 17.89 ± 0.30; P = 0.012). On the other hand, U2 snRNA was not enriched via the hTERT antibody (Ct value r819: 12.40 ± 0.42; Ct value pre-immune: 12.29 ± 0.30; P = 0.81).
Endogenous TERRA is bound to telomerase. (A) Immunoprecipitation and analysis by western blotting. Immunoprecipitation was done with antibodies against tubulin (Tub), hnRNPA1 (A1) and the Myc-epitope. Western blots were probed with α-hTERT antibody (upper) and α-hnRNPA1 antibody (lower). I, input; IP, protein extracted from the beads after the immunoprecipitation; B, beads only control. One-fifteenth of the input and 1/10 of the immunoprecipitates was loaded. (B) RT-PCR for XpYp TERRA and hTR. RNA extracted from input (I) or from the beads after immunoprecipitation was analyzed. Immunoprecipitations were done with nuclear extracts from 293T cells transfected either with pBS-U1-hTR and pCDNA6MychTERT or with empty vectors. −RT: negative control in which no RT was added to the reaction.
Endogenous TERRA is bound to telomerase. (A) Immunoprecipitation and analysis by western blotting. Immunoprecipitation was done with antibodies against tubulin (Tub), hnRNPA1 (A1) and the Myc-epitope. Western blots were probed with α-hTERT antibody (upper) and α-hnRNPA1 antibody (lower). I, input; IP, protein extracted from the beads after the immunoprecipitation; B, beads only control. One-fifteenth of the input and 1/10 of the immunoprecipitates was loaded. (B) RT-PCR for XpYp TERRA and hTR. RNA extracted from input (I) or from the beads after immunoprecipitation was analyzed. Immunoprecipitations were done with nuclear extracts from 293T cells transfected either with pBS-U1-hTR and pCDNA6MychTERT or with empty vectors. −RT: negative control in which no RT was added to the reaction.
TERRA binds the template sequence of hTR and the TERT polypeptide
In order to characterize the molecular interaction between TERRA and telomerase, we expressed and reconstituted wild-type and mutant telomerases in vitro. HTR was transcribed in vitro from plasmids by run-off transcription with T7 RNA polymerase and combined with TERT that was expressed in RRL in presence of [35S]-methionine. 5′-32P-labeled TERRA-sequence containing RNA and DNA oligonucleotides were added to telomerase in presence of excess of tRNA competitor. After 1 h at 25°C, telomerase was immunopurified via the Myc-tag. Fractions were separated by SDS–PAGE and exposed to a PhosphorImager in order to visualize 35S-labeled Myc-hTERT and 32P-labeled RNA and DNA (Figure 2). This analysis revealed that (5′-UUAGGG-3′)3 associated readily with hTERT in presence of wild-type hTR (Figure 2A and C). When telomerase was reconstituted with mutant hTR containing mutant template sequences (hTR comp and hTR C2; ‘Materials and Methods’ section) and immunopurified, association with telomerase was reduced but not abolished, to levels that were observed with hTERT alone. These results indicate that (5′-UUAGGG-3′)3 binds to the telomerase RNA template sequence through base pair interaction. In addition since binding was only reduced but not abolished in the absence of hTR or with the template mutants, (5′-UUAGGG-3′)3 is also bound by the hTERT polypeptide. We also assessed whether the binding of RNA to the hTR comp mutant template could be rescued by introducing complementary mutations into the RNA oligonucleotide (Figure 2A, right panel). Indeed 5′-(AAUCCC)3-3′ being complementary to the mutated template sequence hTR comp was readily binding to hTERT/hTR comp but not to hTERT or hTERT/hTR wt. As opposed to 5′-(UUAGGG)3-3′, 5′-(AAUCCC)3-3′ did not bind significantly to hTERT which supports the specific recognition of TERRA by hTERT. The DNA 5′-(TTAGGG)3-3′ oligonucleotide behaved similarly in this assay as 5′-(UUAGGG)3-3′ making interactions with the RNA template and hTERT, though the binding affinity was lower. No binding was observed between telomerase and rA18 or dA18 as expected.
TERRA base pairs with the hTR template and interacts with the catalytic subunit of telomerase hTERT. (A) Interaction with telomeric RNA and DNA oligonucleotides. Top panel: [32P] 5′-end labeled 5′-(UUAGGG)3-3′, 5′-(AACUUU)3-3′ or rA18 was incubated with in RRL translated [35S] methionine-labeled Flag-hTERT or Myc-hTERT which were both previously incubated or not with full-length in vitro transcribed wild-type hTR (hTR wt) or hTR bearing a template sequence that was complementary to the wild-type sequence (hTR comp) or a mutated template region (hTR C2). After immunoprecipitation with α-Myc antibodies and five washes, samples were separated on 4–20% gradient protein gels. One percent of the radiolabeled oligonucleotides and 8% of the radiolabeled proteins were loaded in the input, whereas 100% were loaded for the IP fractions. [35S] and [32P] signals were revealed by analysis on a PhosphorImager. By placing a plastic film between the gel and the PhosphorImager screen, only the [32P] signal was detected (lower part). (A) Bottom panel: same experiment as in (A) top panel except that the experiment was done with DNA instead of RNA oligonucleotides: (TTAGGG)3 and dA18. (B) Interaction with oligoA containing telomeric RNA and DNA oligonucleotides. Top panel: [32P] 5′-end labeled 5′-(UUAGGG)3-3′ and 5′-(UUAGGG)3A6-3′. Bottom panel: 5′-(TTAGGG)3-3′ and 5′-(TTAGGG)3A6-3′. (C) Quantification of oligonucleotides co-precipitated with Myc-hTERT based on the gels in panels (A) and (B) and one additional experiment. The values were normalized by the immunoprecipitation efficiency of the individual polypeptides and background signals present in the lane Flag-hTERT were subtracted from the values.
TERRA base pairs with the hTR template and interacts with the catalytic subunit of telomerase hTERT. (A) Interaction with telomeric RNA and DNA oligonucleotides. Top panel: [32P] 5′-end labeled 5′-(UUAGGG)3-3′, 5′-(AACUUU)3-3′ or rA18 was incubated with in RRL translated [35S] methionine-labeled Flag-hTERT or Myc-hTERT which were both previously incubated or not with full-length in vitro transcribed wild-type hTR (hTR wt) or hTR bearing a template sequence that was complementary to the wild-type sequence (hTR comp) or a mutated template region (hTR C2). After immunoprecipitation with α-Myc antibodies and five washes, samples were separated on 4–20% gradient protein gels. One percent of the radiolabeled oligonucleotides and 8% of the radiolabeled proteins were loaded in the input, whereas 100% were loaded for the IP fractions. [35S] and [32P] signals were revealed by analysis on a PhosphorImager. By placing a plastic film between the gel and the PhosphorImager screen, only the [32P] signal was detected (lower part). (A) Bottom panel: same experiment as in (A) top panel except that the experiment was done with DNA instead of RNA oligonucleotides: (TTAGGG)3 and dA18. (B) Interaction with oligoA containing telomeric RNA and DNA oligonucleotides. Top panel: [32P] 5′-end labeled 5′-(UUAGGG)3-3′ and 5′-(UUAGGG)3A6-3′. Bottom panel: 5′-(TTAGGG)3-3′ and 5′-(TTAGGG)3A6-3′. (C) Quantification of oligonucleotides co-precipitated with Myc-hTERT based on the gels in panels (A) and (B) and one additional experiment. The values were normalized by the immunoprecipitation efficiency of the individual polypeptides and background signals present in the lane Flag-hTERT were subtracted from the values.
A fraction (∼8%) of TERRA is polyadenylated (7,20) whereas the majority of TERRA ends with 5′-UUAGGG-3′-repeats or a permutation thereof (A. Porro and J.L., unpublished). We therefore wanted to test if association depended on the presence of 5′-UUAGGG-3′ at the 3′-end (Figure 2B and C, Supplementary Figure S1). The telomerase binding assay was repeated with 5′-(UUAGGG)3A6-3′, 5′-(TTAGGG)3A6-3′ RNA and DNA oligonucleotides. Telomerase bound to telomeric RNA and DNA oligonucleotides independently of the presence of a terminal oligo A-tail and with a similar efficiency. In addition, the interactions with RNA and DNA oligonucleotides involved both, base pairing with the RNA template sequence and interactions with the hTERT polypeptide. This indicates that telomerase can also bind to internal telomeric RNA and DNA repeats.
TERRA is a potent telomerase inhibitor
The above analysis revealed a similar binding behavior of telomeric RNA and DNA to telomerase suggesting that TERRA might compete for the binding of telomeric DNA substrates. We therefore tested the effects of various telomeric and non-telomeric RNA oligonucleotides on telomerase activity in direct telomerase assays in vitro. Telomerase activity was obtained from HEK293T cells overexpressing hTERT and hTR [so-called supertelomerase extracts (21)], and extension of telomeric oligonucleotides was detected upon addition of telomeric repeats onto telomeric DNA substrates (Figures 3–5). Since direct telomerase assays do not involve PCR amplification as done in the TRAP assay (22), information on telomerase processivity can be obtained (see below). In Figure 3A, telomere oligonucleotide extension was measured by Telospot. In this assay the reaction products are spotted onto a nylon membrane and the elongated DNA substrates are detected upon hybridization with a radiolabeled DNA probe (16). Addition of increasing amounts of 5′-(UUAGGG)3-3′ led to complete inhibition of telomerase activity, with an IC50 of 68 ± 28 nM (nine independent experiments; Figure 3B).
TERRA inhibits telomerase activity without perturbing repeat addition processivity. (A) Telospot assay with 5′-(TTAGGG)3-3′ as a substrate and serial titration of 5′-(UUAGGG)3-3′. Each reaction was done three times (rows) and spotted in triplicate. EDTA (25 mM) was used as a positive control for complete inhibition. (B) Determination of IC50. The graph shows the quantification of the data obtained in (A). The mean of the three spot intensities was used to calculate the IC50 by fitting the data to a sigmoidal dose response curve. The indicated IC50 value was calculated from nine independent experiments. (C) Direct telomerase activity assay in presence of 35 nM 5′-biotinylated 5′-(TTAGGG)3-3′ primer and dATP, dTTP and 32P-α-dGTP. Concentrations and identity of competitor oligonucleotides are indicated on the top. Reaction products were purified via the biotin-tag with streptavidin containing magnetic beads and resolved on an 8% polyacylamide sequencing gel. B-10mer (a 5′-radiolabeled and 3′-biotinylated 10-mer oligonucleotide) was used as recovery control and was added before DNA purification. The numbers on the left of the gel indicate the number of nucleotides added to the 3′ end of the primer. (D) Effects on repeat addition processivity. Signal intensities for each telomeric repeat seen in (C) were measured, corrected for the number of radiolabeled nucleotides incorporated and then plotted. Increased amounts of 5′-(UUAGGG)3-3′ resulted in lines with the same slopes indicating no change in repeat addition processivity. However, increased amounts of BIBR1532 resulted in lines with steeper slopes indicating a decrease in processivity.
TERRA inhibits telomerase activity without perturbing repeat addition processivity. (A) Telospot assay with 5′-(TTAGGG)3-3′ as a substrate and serial titration of 5′-(UUAGGG)3-3′. Each reaction was done three times (rows) and spotted in triplicate. EDTA (25 mM) was used as a positive control for complete inhibition. (B) Determination of IC50. The graph shows the quantification of the data obtained in (A). The mean of the three spot intensities was used to calculate the IC50 by fitting the data to a sigmoidal dose response curve. The indicated IC50 value was calculated from nine independent experiments. (C) Direct telomerase activity assay in presence of 35 nM 5′-biotinylated 5′-(TTAGGG)3-3′ primer and dATP, dTTP and 32P-α-dGTP. Concentrations and identity of competitor oligonucleotides are indicated on the top. Reaction products were purified via the biotin-tag with streptavidin containing magnetic beads and resolved on an 8% polyacylamide sequencing gel. B-10mer (a 5′-radiolabeled and 3′-biotinylated 10-mer oligonucleotide) was used as recovery control and was added before DNA purification. The numbers on the left of the gel indicate the number of nucleotides added to the 3′ end of the primer. (D) Effects on repeat addition processivity. Signal intensities for each telomeric repeat seen in (C) were measured, corrected for the number of radiolabeled nucleotides incorporated and then plotted. Increased amounts of 5′-(UUAGGG)3-3′ resulted in lines with the same slopes indicating no change in repeat addition processivity. However, increased amounts of BIBR1532 resulted in lines with steeper slopes indicating a decrease in processivity.
In Figure 3C, telomere DNA extension was measured upon incorporation of radiolabeled 32P-dGTP and the products were separated on a sequencing gel. Also in this assay, addition of increasing amounts of 5′-(UUAGGG)3-3′ led to complete inhibition of telomerase activity, whereas rA18 had no effect. As published, addition of the small molecule inhibitor BIBR1532 also inhibited telomerase (23,24). However, the effects of 5′-(UUAGGG)3-3′ and BIBR1532 were strikingly different. Whereas with 5′-(UUAGGG)3-3′, the abundance of long and short products disappeared simultaneously, BIBR1532 affected mostly accumulation of the longer extension products (Figure 3C). Quantification of the repeat addition processivity of telomerase in presence of these two inhibitors revealed that BIBR1532 reduced telomerase processivity as reported previously (24) whereas 5′-(UUAGGG)3-3′ reduced the overall activity with no effects on processivity (Figure 3D). The latter is typical for competitive inhibitors.
Mode of telomerase inhibition by TERRA
As the substrate concentration increases in the assay mixture, a purely competitive inhibitor would exhibit a diminished, and ultimately unattainable, inhibition. We tested the mode of inhibition by TERRA using the Telospot assay, by titration of two different DNA substrates [TS: 5′-AATCCGTCGAGCAGAGTT-3′ and 5′-ACTATC(TTAGGG)2-3′] in presence of four different concentrations of inhibitor (Figure 4). The total DNA oligonucleotide concentration was kept constant in the reactions (648 nM) through addition of dA18 which is not a substrate for telomerase (indicated on the top of Figure 4A). The plot of telomerase activity as a function of primer substrate concentration indicated that even at highest primer concentration, presence of the 5′-(UUAGGG)3-3′ inhibitor strongly reduced the maximal amount of reaction product, indicating reduced maximal velocity Vmax in presence of the TERRA-inhibitor (Figure 4B). With 80 nM TERRA, the Vmax for the TS-primer decreased ∼2.5-fold. The clear reduction of Vmax is not compatible with a purely competitive inhibition of telomerase by TERRA. The primer concentration at which half-maximal velocity was observed (Km) also increased with increasing concentration of inhibitor as expected for a competitive inhibitor. With 80 nM TERRA, the Km for the TS-primer increased 4.3-fold from 16 to 69 nM. A simple reaction scheme was assumed in which the inhibitor (I) would be able to bind either to the free telomerase enzyme (E) or the enzyme–substrate (ES) complex (Figure 4C, right). Reaction constants for inhibitor binding were calculated. The value of Ki was 4.7–6.7-fold smaller than K ′i, indicating a higher affinity of the inhibitor for the free enzyme than for the ES complex. However, the calculated K ′i value indicated considerable affinity of 5′-(UUAGGG)3-3′ also for the ES complex whereas a purely competitive inhibitor should not be able to bind the ES complex at all. Overall, the analysis indicates that the TERRA-oligonucleotides act as mixed-type competitive inhibitors for the binding of telomeric DNA.
TERRA is a mixed-type inhibitor of telomerase activity. (A) Telospot assay with increasing amounts of inhibitor. Telomerase activity was measured in presence of different concentrations (0–648 nM) of the TS primer (5′-AATCCGTCGAGCAGAGTT-3′). The total DNA oligonucleotide concentration was kept constant in each reaction through addition of dA18 (from 648 to 0 nM). rA18, (UUAGGG)3 and BIBR1532 were added as indicated on the right side. Each reaction was spotted in triplicate. (B) Quantification of telomerase activity from (A) as a function of TS primer in presence of increasing amounts of (UUAGGG)3. (C) Table with kinetic constants for two different primers and reaction constants for inhibitor binding. A simple reaction scheme (right side) was assumed in which the inhibitor (I) would be able to bind either to the free telomerase enzyme (E) or the enzyme–substrate (ES) complex. The constants were calculated from the following equations: ν0 = Vmax × [S]/(αKM+α′[S]); ν0 is telomerase activity measured on the membrane; [S] is the primer concentration; α=1 + [I]/KI and α′ = 1 + [I]/K′I; [I] is the inhibitor concentration. Results were obtained from three independent experiments for the inhibition with 5′-(UUAGGG)3-3′ and from one experiment for the previously characterized telomerase inhibitor BIBR1532.
TERRA is a mixed-type inhibitor of telomerase activity. (A) Telospot assay with increasing amounts of inhibitor. Telomerase activity was measured in presence of different concentrations (0–648 nM) of the TS primer (5′-AATCCGTCGAGCAGAGTT-3′). The total DNA oligonucleotide concentration was kept constant in each reaction through addition of dA18 (from 648 to 0 nM). rA18, (UUAGGG)3 and BIBR1532 were added as indicated on the right side. Each reaction was spotted in triplicate. (B) Quantification of telomerase activity from (A) as a function of TS primer in presence of increasing amounts of (UUAGGG)3. (C) Table with kinetic constants for two different primers and reaction constants for inhibitor binding. A simple reaction scheme (right side) was assumed in which the inhibitor (I) would be able to bind either to the free telomerase enzyme (E) or the enzyme–substrate (ES) complex. The constants were calculated from the following equations: ν0 = Vmax × [S]/(αKM+α′[S]); ν0 is telomerase activity measured on the membrane; [S] is the primer concentration; α=1 + [I]/KI and α′ = 1 + [I]/K′I; [I] is the inhibitor concentration. Results were obtained from three independent experiments for the inhibition with 5′-(UUAGGG)3-3′ and from one experiment for the previously characterized telomerase inhibitor BIBR1532.
Telomerase inhibition does not depend on sequence identity at the TERRA 3′-end
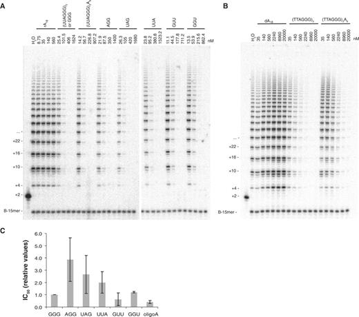
Although TERRA 3′-ends have a preferred register, they can end in all six circular permutations of the 5′-UUAGGG-3′ sequence, in addition to the poly(A) tail that is present at 8% of the TERRA 3′-ends (A. Porro and J.L., unpublished). We therefore tested if the sequence identity at TERRA 3′-ends influenced the ability to inhibit telomerase (Figure 5A and C). Titration of the permutated oligonucleotides showed potent inhibition with all TERRA-sequences and IC50 values between 16 and 82 nM [IC50 values were obtained from the quantification of three independent Telospot assays (data not shown)]. Presence of oligo A6 at the TERRA-oligonucleotide 3′-end did not diminish the inhibition (IC50 = 8 nM). The ability of TERRA oligonucleotides to inhibit telomerase was also compared to the ability of DNA oligonucleotides of the same sequence to compete for telomere oligonucleotide extension (Figure 5B). In these experiments, the substrate carried a biotin at the 5′-end and was separated from the competing DNA after the reaction. 5′-(TTAGGG)3-3′ (which is a substrate) was a better competitor than 5′-(TTAGGG)3A6-3′ (which is not a substrate). Strikingly, however, the DNA oligonucleotides had IC50 values that were 1–2 orders of magnitude higher than the IC50 for TERRA-oligonucleotides. These results underline the remarkable affinity of telomerase for TERRA-oligonucleotides, which even exceed the affinity for telomeric DNA.
Telomerase inhibition by TERRA is largely independent of its 3′ end register. (A) Direct telomerase activity assays were performed with 35 nM of 5′-biotinylated (TTAGGG)3-3′ primer in the presence of dATP, dTTP and 32P-α-dGTP, and increasing concentrations (indicated in nM) of rA18, 5′-(UUAGGG)3-3′ or permutations thereof as indicated, or 5′-(UUAGGG)3A6-3′. Reaction products were purified as in Figure 3B. B-15mer (a 5′-radiolabeled and 3′-biotinylated 15-mer oligonucleotide) was used as recovery control and was added before DNA purification. (B) Direct telomerase activity assay as in (A) but in presence of DNA oligonucleotide inhibitors as indicated. (C) Relative IC50 values for permutations of 5′-(UUAGGG)3-3′ or 5′-(UUAGGG)3A6- determined by the Telospot assay (three independent experiments; spotting data not shown).
Telomerase inhibition by TERRA is largely independent of its 3′ end register. (A) Direct telomerase activity assays were performed with 35 nM of 5′-biotinylated (TTAGGG)3-3′ primer in the presence of dATP, dTTP and 32P-α-dGTP, and increasing concentrations (indicated in nM) of rA18, 5′-(UUAGGG)3-3′ or permutations thereof as indicated, or 5′-(UUAGGG)3A6-3′. Reaction products were purified as in Figure 3B. B-15mer (a 5′-radiolabeled and 3′-biotinylated 15-mer oligonucleotide) was used as recovery control and was added before DNA purification. (B) Direct telomerase activity assay as in (A) but in presence of DNA oligonucleotide inhibitors as indicated. (C) Relative IC50 values for permutations of 5′-(UUAGGG)3-3′ or 5′-(UUAGGG)3A6- determined by the Telospot assay (three independent experiments; spotting data not shown).
DISCUSSION
In this article, we provide evidence that TERRA acts as a negative regulator of telomerase. First, we demonstrate that a fraction of endogenous TERRA is associated with telomerase which was immunopurified from cellular extracts. This result suggests that telomerase is associated with telomerase in vivo. The colocalization of TERRA with telomeric chromatin supports the notion that TERRA and telomerase do associate in vivo. Second, we demonstrate that telomerase binds in vitro to TERRA-sequence containing RNA oligonucleotides. The interactions between telomerase and TERRA-oligonucleotides involve base pairing with the RNA template and binding of TERRA by TERT. Interestingly, telomerase binding can occur also to internal 5′-UUAGGG-3′ repeats suggesting that a single TERRA molecule may be able to bind and sequester multiple telomerases.
Third, we demonstrate in direct telomerase assays that TERRA is a very potent inhibitor of human telomerase in vitro. Indeed, TERRA-sequence containing RNA oligonucleotides inhibit telomerase even more effectively than DNA oligonucleotides. This observation is in concordance with a remarkable affinity of telomerase for TERRA, which exceeds that of telomeric DNA. The analysis of repeat addition processivity supports competitive inhibition of primer binding by TERRA. However, titration experiments indicate a mixed-type inhibition suggestive of more complex effects of TERRA on telomerase than mere competition with telomeric DNA substrates. It is conceivable here that the identified telomerase RNA independent TERT-TERRA interaction elicits allosteric inhibition of telomerase activity. Notable in this respect is that TERT contains a so-called anchor site which is thought to bind the telomeric DNA substrate during substrate translocation, to prevent its dissociation (25–29). The anchor site may allow addition of multiple telomeric repeats in a processive manner. It is possible that TERRA binds to this still ill-defined anchor site in TERT but a separate interaction site is also possible and might be more compatible with the observed mixed-type inhibition. Yet another possibility is that the mixed-type inhibition can be explained by the presumed dimeric state of human telomerase, which has been supported in several studies (15,30–32). For example, it seems conceivable that the binding of TERRA to one telomerase subunit alters the conformation of the other, leading to complete inhibition of catalytic activity but perhaps not DNA primer binding. Whatever the exact mechanism, our data strongly support the notion that TERRA also acts as a natural ligand and inhibitor of telomerase in vivo. We are not aware of other published examples in which natural RNA ligands act as direct regulators of enzymatic activity without being a substrate.
Under which physiological conditions does TERRA control telomerase? TERRA transcription may be induced or repressed in a telomere autonomous fashion upon telomere length changes or upon changes in telomeric chromatin composition, in order to locally repress and/or sequester telomerase. Several modes of telomerase-sequestration by TERRA can be envisioned (Figure 6). Upon transcription, TERRA may be released from the telomere, and bind and inhibit telomere-proximal telomerase molecules and prevent their access to the chromosomal end [Figure 6; scenario (1)]. Alternatively or in addition, it is conceivable that telomeric heterochromatin bound TERRA binds and sequesters telomerase [Figure 6; scenario (2)]. In this scenario, TERRA would retain telomerase near the telomeric 3′-end while inhibiting its action. Finally, it is conceivable that TERRA binds to telomeric chromatin bound telomerase and prevents it from accessing the telomeric 3′-end [Figure 6; scenario (3)]. It will be important to develop methods to regulate TERRA expression and measure telomerase association with the telomere in order to decipher the mode of TERRA action. It will also be interesting to find out if inhibition of telomerase by TERRA is regulated and can be induced or reversed by telomere length regulators.
Proposed modes for telomerase sequestration by TERRA. TERRA (red line) base pairs with the telomerase RNA template (U-shaped blue line) and it interacts with the TERT polypeptide (dark-blue rounded rectangle). Three scenarios are modeled. (1) TERRA may be released from the telomere and bind and inhibit telomere-proximal telomerase molecules. (2) Telomere-bound TERRA may bind and sequester telomerase and prevent its access to the telomeric 3′ end. It is unknown how TERRA is bound to telomeric chromatin; telomeric chromatin binding of TERRA is modeled with the gray oval. (3) TERRA may bind to telomeric chromatin bound telomerase and prevents it from accessing the telomeric 3′ end. It is unknown how telomerase is bound to telomeric chromatin; telomeric chromatin binding of telomerase is modeled with the green oval. Human telomerase may be a dimer (see text), but for simplicity it is modeled here as a monomer.
Proposed modes for telomerase sequestration by TERRA. TERRA (red line) base pairs with the telomerase RNA template (U-shaped blue line) and it interacts with the TERT polypeptide (dark-blue rounded rectangle). Three scenarios are modeled. (1) TERRA may be released from the telomere and bind and inhibit telomere-proximal telomerase molecules. (2) Telomere-bound TERRA may bind and sequester telomerase and prevent its access to the telomeric 3′ end. It is unknown how TERRA is bound to telomeric chromatin; telomeric chromatin binding of TERRA is modeled with the gray oval. (3) TERRA may bind to telomeric chromatin bound telomerase and prevents it from accessing the telomeric 3′ end. It is unknown how telomerase is bound to telomeric chromatin; telomeric chromatin binding of telomerase is modeled with the green oval. Human telomerase may be a dimer (see text), but for simplicity it is modeled here as a monomer.
FUNDING
Swiss National Science Foundation, the European Community’s Seventh Framework Programme FP7/2007-2011 (grant agreement number 200950) and a European Research Council advanced investigator grant (grant agreement number 232812). Funding for open access charge: Home Institution (EPFL).
Conflict of interest statement. None declared.
ACKNOWLEDGEMENTS
We thank Katarzyna Sikora for discussion and Tom Meier and Susan Smith for reading the manuscript.


![TERRA base pairs with the hTR template and interacts with the catalytic subunit of telomerase hTERT. (A) Interaction with telomeric RNA and DNA oligonucleotides. Top panel: [32P] 5′-end labeled 5′-(UUAGGG)3-3′, 5′-(AACUUU)3-3′ or rA18 was incubated with in RRL translated [35S] methionine-labeled Flag-hTERT or Myc-hTERT which were both previously incubated or not with full-length in vitro transcribed wild-type hTR (hTR wt) or hTR bearing a template sequence that was complementary to the wild-type sequence (hTR comp) or a mutated template region (hTR C2). After immunoprecipitation with α-Myc antibodies and five washes, samples were separated on 4–20% gradient protein gels. One percent of the radiolabeled oligonucleotides and 8% of the radiolabeled proteins were loaded in the input, whereas 100% were loaded for the IP fractions. [35S] and [32P] signals were revealed by analysis on a PhosphorImager. By placing a plastic film between the gel and the PhosphorImager screen, only the [32P] signal was detected (lower part). (A) Bottom panel: same experiment as in (A) top panel except that the experiment was done with DNA instead of RNA oligonucleotides: (TTAGGG)3 and dA18. (B) Interaction with oligoA containing telomeric RNA and DNA oligonucleotides. Top panel: [32P] 5′-end labeled 5′-(UUAGGG)3-3′ and 5′-(UUAGGG)3A6-3′. Bottom panel: 5′-(TTAGGG)3-3′ and 5′-(TTAGGG)3A6-3′. (C) Quantification of oligonucleotides co-precipitated with Myc-hTERT based on the gels in panels (A) and (B) and one additional experiment. The values were normalized by the immunoprecipitation efficiency of the individual polypeptides and background signals present in the lane Flag-hTERT were subtracted from the values.](https://oup.silverchair-cdn.com/oup/backfile/Content_public/Journal/nar/38/17/10.1093_nar_gkq296/2/m_gkq296f2.jpeg?Expires=2147483647&Signature=GuQj5eIJe6DUzXfUcVWXUvwUivNHA9r9b9NBi3L9OodGzC9I3S7kMIQ05pIXJQ-lADzIt5mEVTXlVRJa-m8l7bMSzMDcNrrEMyh0EtxXDhjjuEWAUYo2~ZQyj6pAJgH9c2eqmwm3JDxHjSQQMKSfdGwhRadgKAx0D5eop0mID~koNO1jto5Q-Xw2naz99QidiOjZItDpZemqBbMf0eHASEHjFmKyqbbDusy1Ovu82syxdPkTlzNG70mDx4gNXvAgWHiU9jXNblF~NOhhwmch7-7FBBmUDDUKBes0GjC4~nCFrmskKD6qYN-NjoboHiG0wRQEU4xMgv5cqRTCyBIdhg__&Key-Pair-Id=APKAIE5G5CRDK6RD3PGA)

![TERRA is a mixed-type inhibitor of telomerase activity. (A) Telospot assay with increasing amounts of inhibitor. Telomerase activity was measured in presence of different concentrations (0–648 nM) of the TS primer (5′-AATCCGTCGAGCAGAGTT-3′). The total DNA oligonucleotide concentration was kept constant in each reaction through addition of dA18 (from 648 to 0 nM). rA18, (UUAGGG)3 and BIBR1532 were added as indicated on the right side. Each reaction was spotted in triplicate. (B) Quantification of telomerase activity from (A) as a function of TS primer in presence of increasing amounts of (UUAGGG)3. (C) Table with kinetic constants for two different primers and reaction constants for inhibitor binding. A simple reaction scheme (right side) was assumed in which the inhibitor (I) would be able to bind either to the free telomerase enzyme (E) or the enzyme–substrate (ES) complex. The constants were calculated from the following equations: ν0 = Vmax × [S]/(αKM+α′[S]); ν0 is telomerase activity measured on the membrane; [S] is the primer concentration; α=1 + [I]/KI and α′ = 1 + [I]/K′I; [I] is the inhibitor concentration. Results were obtained from three independent experiments for the inhibition with 5′-(UUAGGG)3-3′ and from one experiment for the previously characterized telomerase inhibitor BIBR1532.](https://oup.silverchair-cdn.com/oup/backfile/Content_public/Journal/nar/38/17/10.1093_nar_gkq296/2/m_gkq296f4.jpeg?Expires=2147483647&Signature=nfpe1rUi0PTDHX4ayrQQYI0N~mQYppm-eIxS2YynRBJe075f3s5cidoi3RyvqFlzcHAN-dzG3PSaqGYCD~h0NNO6LH0QL8XEDkwxMVeM8dw3hTUrYjbtFWWpMeb3nf2RyYwOAqG2aGjI8pqGJsIl2Phtkk~o0CuQHv~~tiQLj6JVy6rCZ6vUJ5lCfGd1UtV8jx--A-SzYKPSEWhXPh3T56pWhx9GOdu~CGf85-JMUBsEGNyikeE8z8LmQcHUiMl4PCeixfVabiErXpsL0U5Pa2mQR7brUt0krbEay~DNIO3qOznK7-FfN2dbWfLePs38IMaze21DyffgRZUthVk0Qw__&Key-Pair-Id=APKAIE5G5CRDK6RD3PGA)


Comments